About   Help   FAQ
Gene Expression Data
Assay Details
Assay
Reference: J:93300 Blackshaw S, et al., Genomic analysis of mouse retinal development. PLoS Biol. 2004 Oct;2(9):E247
Assay type: RNA in situ
MGI Accession ID: MGI:3586014
Gene symbol: A030001O10Rik
Gene name: RIKEN cDNA A030001O10 gene
Probe: UI-M-CG0p-bew-e-05-0-UI.s1
Probe preparation: Antisense labelled with digoxigenin RNA
Visualized with: Alkaline phosphatase
Assay notes: This data is from Supplemental Table 5, Gene column, row: 40059 ESTs . After cryosectioning, tissue was fixed for 10' in 4% paraformaldehyde prior to processing.
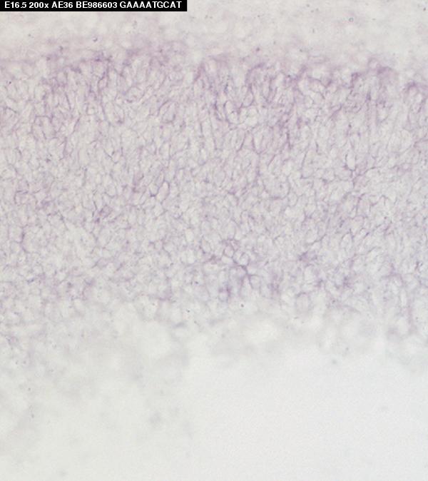
Results
Specimen E16: embryonic day 16.0 (more )
Structure Level Pattern Image Note
TS24: retina nuclear layer Weak Regionally restricted Submitted Image - ae36E16.5 Expression was detected in the outer neuroblastic layer.

Specimen P0/1: postnatal day 0-1 (more )
Structure Level Pattern Image Note
TS27: retina outer nuclear layer Present Submitted Image - ae36P1.5 Expression was detected in the outer neuroblastic layer.

Specimen P2/3: postnatal day 2-3 (more )
Structure Level Pattern Image Note
TS27: retina outer nuclear layer Present Expression was detected in the outer neuroblastic layer.

Specimen P6/7: postnatal day 6-7 (more )
Structure Level Pattern Image Note
TS28: retina outer nuclear layer Present Submitted Image - ae36P6.5
TS28: retina inner nuclear layer Present Submitted Image - ae36P6.5

Specimen P8/10: postnatal day 8-10 (more )
Structure Level Pattern Image Note
TS28: retina outer nuclear layer Present Submitted Image - ae36P8.5
TS28: retina inner nuclear layer Present Submitted Image - ae36P8.5

Specimen Adult: postnatal adult (more )
Structure Level Pattern Image Note
TS28: retina inner nuclear layer Present Submitted Image - ae36Adult
TS28: retina layer Present Regionally restricted Submitted Image - ae36Adult Expression was detected in a subset of amacrine cells.

Specimen CNS: postnatal day 6 (more )
Structure Level Pattern Image Note
TS28: central nervous system Absent

Specimen Embryo: embryonic day 16.0 (more )
Structure Level Pattern Image Note
TS24: embryo Weak Expression was widespread.


Contributing Projects:
Mouse Genome Database (MGD), Gene Expression Database (GXD), Mouse Models of Human Cancer database (MMHCdb) (formerly Mouse Tumor Biology (MTB)), Gene Ontology (GO)
Citing These Resources
Funding Information
Warranty Disclaimer, Privacy Notice, Licensing, & Copyright
Send questions and comments to User Support.
last database update
03/31/2026
MGI 6.24
The Jackson Laboratory