About   Help   FAQ
Gene Expression Data
Assay Details
Assay
Reference: J:93300 Blackshaw S, et al., Genomic analysis of mouse retinal development. PLoS Biol. 2004 Oct;2(9):E247
Assay type: RNA in situ
MGI Accession ID: MGI:3586003
Gene symbol: Thy1
Gene name: thymus cell antigen 1, theta
Probe: UI-M-AN1-afc-h-11-0-UI.s1
Probe preparation: Antisense labelled with digoxigenin RNA
Visualized with: Alkaline phosphatase
Assay notes: This data is from Supplemental Table 5, Gene column, row: 3951 thymus cell antigen 1, theta . After cryosectioning, tissue was fixed for 10' in 4% paraformaldehyde prior to processing.
Results
Specimen E12: embryonic day 12.0 (more )
Structure Level Pattern Image Note
TS20: retina Absent

Specimen E14: embryonic day 14.0 (more )
Structure Level Pattern Image Note
TS22: retina Absent

Specimen E16: embryonic day 16.0 (more )
Structure Level Pattern Image Note
TS24: retina nuclear layer Weak Regionally restricted Submitted Image - L6e16.5 Expression was detected in the inner neuroblastic layer of the central retina.

Specimen E18: embryonic day 18.0 (more )
Structure Level Pattern Image Note
TS26: retina inner nuclear layer Present Submitted Image - L6e18.5 Expression was detected in the inner neuroblastic layer.

Specimen P0/1: postnatal day 0-1 (more )
Structure Level Pattern Image Note
TS27: retina inner nuclear layer Present Regionally restricted Submitted Image - L6p1.5 Expression was detected in the vitreal inner neuroblastic layer.

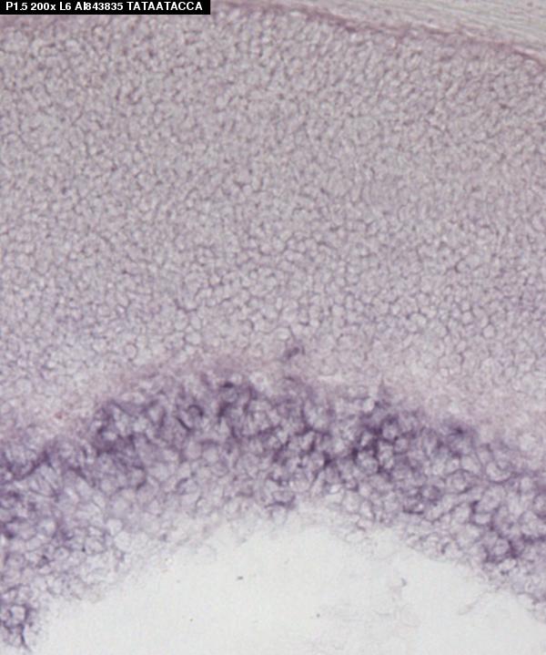
Specimen P2/3: postnatal day 2-3 (more )
Structure Level Pattern Image Note
TS27: retina inner nuclear layer Present Regionally restricted Submitted Image - L6p3.5 Expression was detected in the vitreal inner neuroblastic layer, higher in the central retina.

Specimen P6/7: postnatal day 6-7 (more )
Structure Level Pattern Image Note
TS28: retina ganglion cell layer Present Regionally restricted Submitted Image - L6p6.5 Expression was detected in ganglion cells and was higher in the central retina.

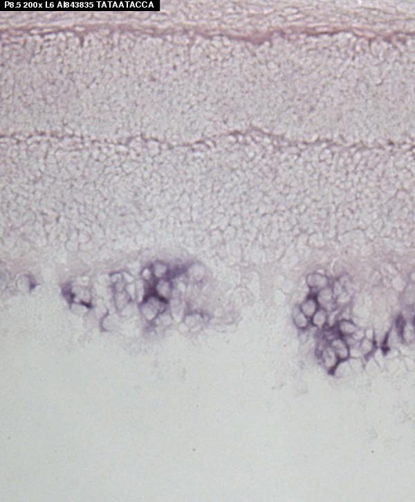
Specimen P8/10: postnatal day 8-10 (more )
Structure Level Pattern Image Note
TS28: retina ganglion cell layer Present Submitted Image - L6p8.5

Specimen Adult: postnatal adult (more )
Structure Level Pattern Image Note
TS28: retina ganglion cell layer Present Submitted Image - L6adult

Specimen CNS: postnatal day 6 (more )
Structure Level Pattern Image Note
TS28: forebrain Present Regionally restricted Expression was detected in forebrain subsets.

Specimen Embryo: embryonic day 16.0 (more )
Structure Level Pattern Image Note
TS24: thymus Present
TS24: dorsal root ganglion Present Regionally restricted Expression was detected in a subset of dorsal root ganglia.
TS24: spinal cord Present Regionally restricted Expression was detected in ventral spinal cord.
TS24: renal medulla Present


Contributing Projects:
Mouse Genome Database (MGD), Gene Expression Database (GXD), Mouse Models of Human Cancer database (MMHCdb) (formerly Mouse Tumor Biology (MTB)), Gene Ontology (GO)
Citing These Resources
Funding Information
Warranty Disclaimer, Privacy Notice, Licensing, & Copyright
Send questions and comments to User Support.
last database update
12/30/2025
MGI 6.24
The Jackson Laboratory