About   Help   FAQ
Gene Expression Data
Assay Details
Assay
Reference: J:93300 Blackshaw S, et al., Genomic analysis of mouse retinal development. PLoS Biol. 2004 Oct;2(9):E247
Assay type: RNA in situ
MGI Accession ID: MGI:3585989
Gene symbol: Igf2
Gene name: insulin-like growth factor 2
Probe: UI-M-AM0-adv-b-12-0-UI.s1
Probe preparation: Antisense labelled with digoxigenin RNA
Visualized with: Alkaline phosphatase
Assay notes: This data is from Supplemental Table 5, Gene column, row: 3862 insulin-like growth factor 2 . After cryosectioning, tissue was fixed for 10' in 4% paraformaldehyde prior to processing.
Results
Specimen E18: embryonic day 18.0 (more )
Structure Level Pattern Image Note
TS26: retina Present Regionally restricted Submitted Image - 7cE18.5 , Submitted Image - 7cE18.5B Expression was detected in astrocytes of the central retina.

Specimen P0/1: postnatal day 0-1 (more )
Structure Level Pattern Image Note
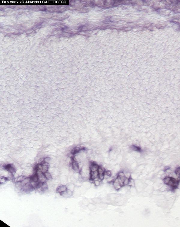
TS27: retina Present Regionally restricted Submitted Image - 7cP0.5 Expression was detected in astrocytes.

Specimen P2/3: postnatal day 2-3 (more )
Structure Level Pattern Image Note
TS27: retina Present Regionally restricted Expression was detected in astrocytes.
TS27: ciliary body Present Regionally restricted Expression was detected in the ciliary margin.

Specimen P4/5: postnatal day 4-5 (more )
Structure Level Pattern Image Note
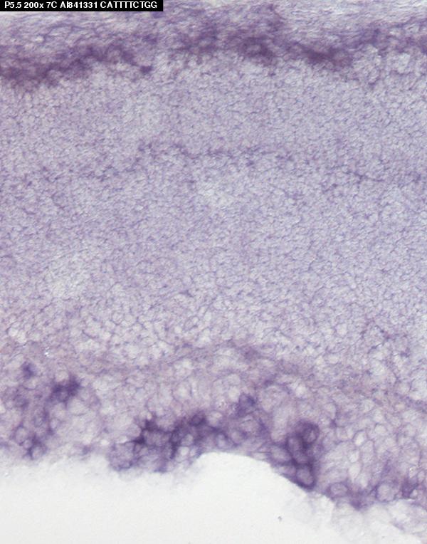
TS28: retina Present Regionally restricted Submitted Image - 7cP5.5 Expression was detected in astrocytes.

Specimen P6/7: postnatal day 6-7 (more )
Structure Level Pattern Image Note
TS28: retina Present Regionally restricted Submitted Image - 7cP7.5 Expression was detected in astrocytes and was higher at the margin.

Specimen P8/10: postnatal day 8-10 (more )
Structure Level Pattern Image Note
TS28: retina Present Regionally restricted Submitted Image - 7cP10.5 Expression was detected in astrocytes, higher at the margin.

Specimen Adult: postnatal adult (more )
Structure Level Pattern Image Note
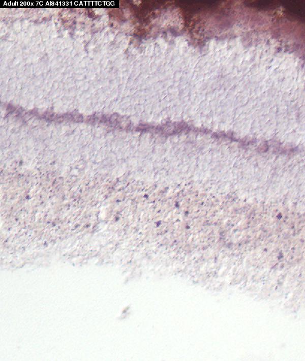
TS28: retina Absent Submitted Image - 7cAdult

Specimen CNS: postnatal day 6 (more )
Structure Level Pattern Image Note
TS28: cerebral cortex Present Regionally restricted Expression was detected in the cortical plate.
TS28: brain ventricular layer Present
TS28: meninges Present

Specimen Embryo: embryonic day 16.0 (more )
Structure Level Pattern Image Note
TS24: embryo Present Expression was widespread.
TS24: central nervous system Absent


Contributing Projects:
Mouse Genome Database (MGD), Gene Expression Database (GXD), Mouse Models of Human Cancer database (MMHCdb) (formerly Mouse Tumor Biology (MTB)), Gene Ontology (GO)
Citing These Resources
Funding Information
Warranty Disclaimer, Privacy Notice, Licensing, & Copyright
Send questions and comments to User Support.
last database update
09/30/2025
MGI 6.24
The Jackson Laboratory