About   Help   FAQ
Gene Expression Data
Assay Details
Assay
Reference: J:93300 Blackshaw S, et al., Genomic analysis of mouse retinal development. PLoS Biol. 2004 Oct;2(9):E247
Assay type: RNA in situ
MGI Accession ID: MGI:3585963
Gene symbol: Pax6
Gene name: paired box 6
Probe: UI-M-CG0p-brf-d-11-0-UI.s1
Probe preparation: Antisense labelled with digoxigenin RNA
Visualized with: Alkaline phosphatase
Assay notes: This data is from Supplemental Table 5, Gene column, row: 3608 Pax6 Paired box gene 6. After cryosectioning, tissue was fixed for 10' in 4% paraformaldehyde prior to processing.
Results
Specimen E14: embryonic day 14.0 (more )
Structure Level Pattern Image Note
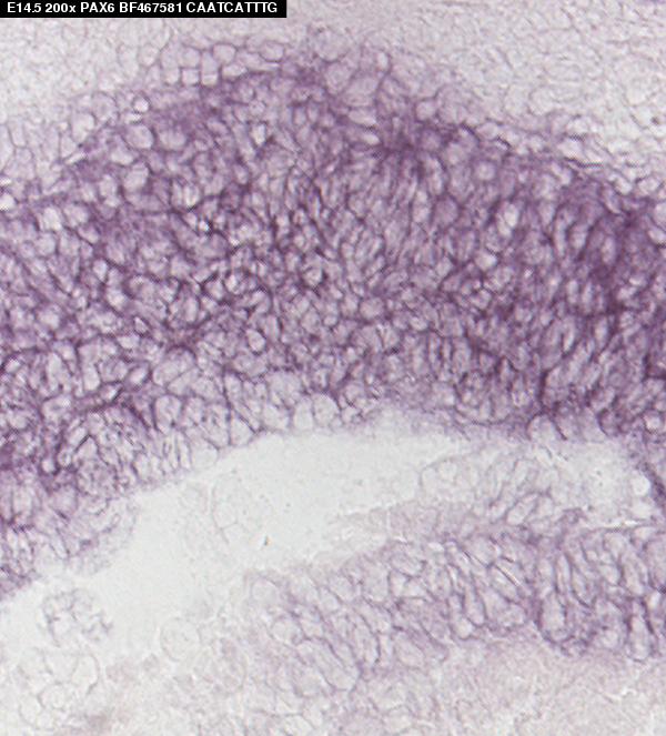
TS22: retina Present Uniform Submitted Image - Pax6e14.5 Expression was panretinal.

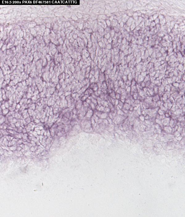
Specimen E16: embryonic day 16.0 (more )
Structure Level Pattern Image Note
TS24: retina Present Uniform Submitted Image - Pax6e16.5 Expression was panretinal.

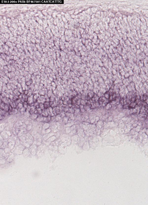
Specimen E18: embryonic day 18.0 (more )
Structure Level Pattern Image Note
TS26: retina outer nuclear layer Present Submitted Image - Pax6e18.5 Expression was detected in the outer neuroblastic layer.
TS26: retina inner nuclear layer Present Regionally restricted Submitted Image - Pax6e18.5 Expression was detected in the scleral inner neuroblastic layer.

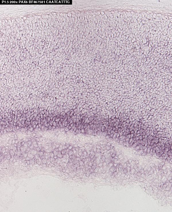
Specimen P0/1: postnatal day 0-1 (more )
Structure Level Pattern Image Note
TS27: retina inner nuclear layer Present Regionally restricted Submitted Image - Pax6p0.5 , Submitted Image - Pax6p1.5 Expression was detected in the scleral inner neuroblastic layer.

Specimen P2/3: postnatal day 2-3 (more )
Structure Level Pattern Image Note
TS27: retina inner nuclear layer Present Regionally restricted Submitted Image - Pax6p2.5 , Submitted Image - Pax6p3.5 Expression was detected in the scleral inner neuroblastic layer.

Specimen P4/5: postnatal day 4-5 (more )
Structure Level Pattern Image Note
TS28: retina inner nuclear layer Present Regionally restricted Submitted Image - Pax6p4.5 Expression was detected in the scleral inner neuroblastic layer.

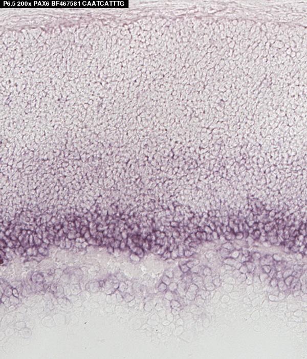
Specimen P6/7: postnatal day 6-7 (more )
Structure Level Pattern Image Note
TS28: retina layer Present Regionally restricted Submitted Image - Pax6p6.5 Expression was detected in amacrine cells.

Specimen P8/10: postnatal day 8-10 (more )
Structure Level Pattern Image Note
TS28: retina layer Present Regionally restricted Submitted Image - Pax6p8.5 Expression was detected in amacrine cells.
TS28: retina ganglion cell layer Weak Submitted Image - Pax6p8.5

Specimen Adult: postnatal adult (more )
Structure Level Pattern Image Note
TS28: retina layer Present Regionally restricted Expression was detected in amacrine cells.
TS28: retina ganglion cell layer Present

Specimen CNS: postnatal day 6 (more )
Structure Level Pattern Image Note
TS28: central nervous system Present Expression was widespread.

Specimen Embryo: embryonic day 16.0 (more )
Structure Level Pattern Image Note
TS24: embryo Present Expression was widespread.


Contributing Projects:
Mouse Genome Database (MGD), Gene Expression Database (GXD), Mouse Models of Human Cancer database (MMHCdb) (formerly Mouse Tumor Biology (MTB)), Gene Ontology (GO)
Citing These Resources
Funding Information
Warranty Disclaimer, Privacy Notice, Licensing, & Copyright
Send questions and comments to User Support.
last database update
04/14/2026
MGI 6.24
The Jackson Laboratory