About   Help   FAQ
Gene Expression Data
Assay Details
Assay
Reference: J:93300 Blackshaw S, et al., Genomic analysis of mouse retinal development. PLoS Biol. 2004 Oct;2(9):E247
Assay type: RNA in situ
MGI Accession ID: MGI:3585957
Gene symbol: Sparc
Gene name: secreted acidic cysteine rich glycoprotein
Probe: IMAGE clone 1511097
Probe preparation: Antisense labelled with digoxigenin RNA
Visualized with: Alkaline phosphatase
Assay notes: This data is from Supplemental Table 5, Gene column, row: 35439 SPARC. After cryosectioning, tissue was fixed for 10' in 4% paraformaldehyde prior to processing.
Results
Specimen P0/1: postnatal day 0-1 (more )
Structure Level Pattern Image Note
TS27: retina outer nuclear layer Weak Regionally restricted Submitted Image - U66p0.5 Expression was detected in the vitreal outer neuroblastic layer.

Specimen P2/3: postnatal day 2-3 (more )
Structure Level Pattern Image Note
TS27: retina outer nuclear layer Present Regionally restricted Submitted Image - U66p2.5 Expression was detected in a subset of cells in the vitreal outer neuroblastic layer (in a tight band in the inner retina).

Specimen P4/5: postnatal day 4-5 (more )
Structure Level Pattern Image Note
TS28: retina outer nuclear layer Present Regionally restricted Submitted Image - U66p4.5 Expression was detected in the vitreal outer neuroblastic layer.
TS28: blood vessel Present Submitted Image - U66p4.5

Specimen P6/7: postnatal day 6-7 (more )
Structure Level Pattern Image Note
TS28: retina inner nuclear layer Present Submitted Image - U66p7.5
TS28: retina Present Regionally restricted Submitted Image - U66p7.5 In addition to staining in the inner nuclear layer, expression was also tentatively detected in the ganglion cells.

Specimen P8/10: postnatal day 8-10 (more )
Structure Level Pattern Image Note
TS28: retina outer nuclear layer Present Submitted Image - U66p9.5
TS28: retina inner nuclear layer Present Submitted Image - U66p9.5
TS28: retina Present Regionally restricted Submitted Image - U66p9.5 In addition to staining in the inner and outer nuclear layers, expression was also tentatively detected in the ganglion cells.

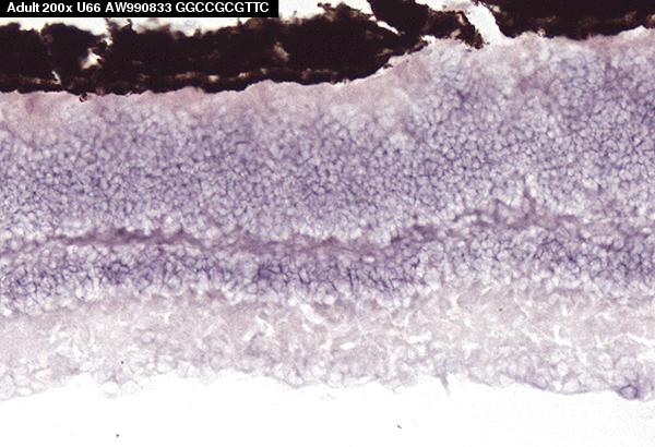
Specimen Adult: postnatal adult (more )
Structure Level Pattern Image Note
TS28: retina outer nuclear layer Present Submitted Image - U66adult
TS28: retina Present Regionally restricted Submitted Image - U66adult Expression was detected in the Muller glia.

Specimen CNS: postnatal day 6 (more )
Structure Level Pattern Image Note
TS28: central nervous system Present Expression was widespread.

Specimen Embryo: embryonic day 16.0 (more )
Structure Level Pattern Image Note
TS24: embryo Present Expression was widespread.


Contributing Projects:
Mouse Genome Database (MGD), Gene Expression Database (GXD), Mouse Models of Human Cancer database (MMHCdb) (formerly Mouse Tumor Biology (MTB)), Gene Ontology (GO)
Citing These Resources
Funding Information
Warranty Disclaimer, Privacy Notice, Licensing, & Copyright
Send questions and comments to User Support.
last database update
03/24/2026
MGI 6.24
The Jackson Laboratory