About   Help   FAQ
Gene Expression Data
Assay Details
Assay
Reference: J:93300 Blackshaw S, et al., Genomic analysis of mouse retinal development. PLoS Biol. 2004 Oct;2(9):E247
Assay type: RNA in situ
MGI Accession ID: MGI:3585926
Gene symbol: Ywhab
Gene name: tyrosine 3-monooxygenase/tryptophan 5-monooxygenase activation protein, beta polypeptide
Probe: IMAGE clone 403100
Probe preparation: Antisense labelled with digoxigenin RNA
Visualized with: Alkaline phosphatase
Assay notes: This data is from Supplemental Table 5, Gene column, row: 34319 3 monooxgenase/tryptophan 5 monooxgenase activation protein, beta polypeptide . After cryosectioning, tissue was fixed for 10' in 4% paraformaldehyde prior to processing.
Results
Specimen E18: embryonic day 18.0 (more )
Structure Level Pattern Image Note
TS26: retina inner nuclear layer Present Submitted Image - 14-3-3-BetaE18.5 Expression was detected in the inner neuroblastic layer.

Specimen P0/1: postnatal day 0-1 (more )
Structure Level Pattern Image Note
TS27: retina inner nuclear layer Present Submitted Image - 14-3-3-BetaP1.5 , Submitted Image - 14-3-3-BetaP0.5 Expression was detected in the inner neuroblastic layer.
TS27: retina outer nuclear layer Present Regionally restricted Submitted Image - 14-3-3-BetaP1.5 , Submitted Image - 14-3-3-BetaP0.5 Expression was detected in the vitreal outer neuroblastic layer.

Specimen P2/3: postnatal day 2-3 (more )
Structure Level Pattern Image Note
TS27: retina inner nuclear layer Present Submitted Image - 14-3-3-BetaP3.5 Expression was detected in the inner neuroblastic layer.
TS27: retina outer nuclear layer Present Regionally restricted Submitted Image - 14-3-3-BetaP3.5 Expression was detected in the vitreal outer neuroblastic layer.

Specimen P4/5: postnatal day 4-5 (more )
Structure Level Pattern Image Note
TS28: retina inner nuclear layer Present Regionally restricted Submitted Image - 14-3-3-BetaP4.5 , Submitted Image - 14-3-3-BetaP5.5 Expression was detected in the vitreal inner neuroblastic layer.
TS28: retina outer nuclear layer Present Regionally restricted Submitted Image - 14-3-3-BetaP4.5 , Submitted Image - 14-3-3-BetaP5.5 Expression was detected in the vitreal outer neuroblastic layer.

Specimen P6/7: postnatal day 6-7 (more )
Structure Level Pattern Image Note
TS28: retina ganglion cell layer Present Submitted Image - 14-3-3-BetaP6.5 , Submitted Image - 14-3-3-BetaP7.5
TS28: retina inner nuclear layer Present Submitted Image - 14-3-3-BetaP6.5 , Submitted Image - 14-3-3-BetaP7.5

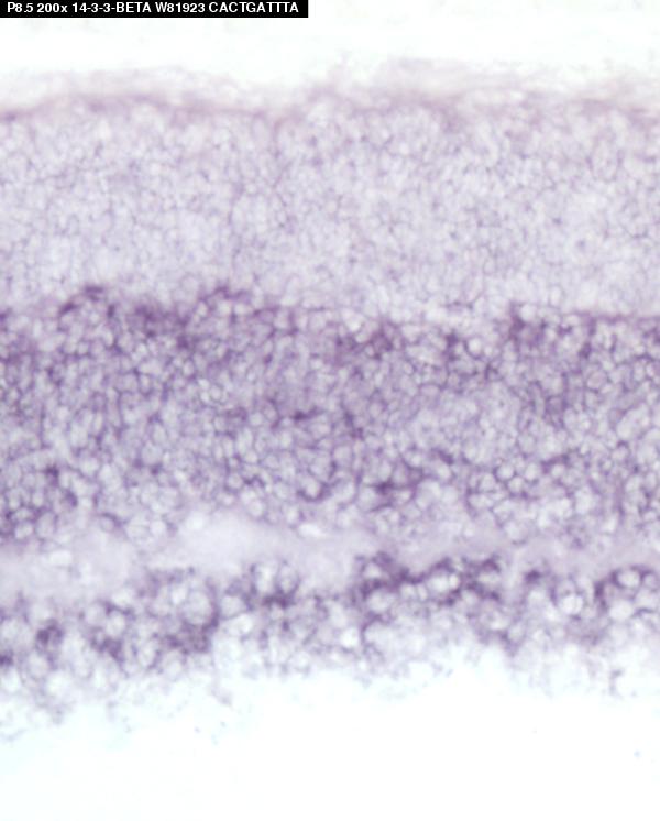
Specimen P8/10: postnatal day 8-10 (more )
Structure Level Pattern Image Note
TS28: retina ganglion cell layer Present Submitted Image - 14-3-3-BetaP9.5 , Submitted Image - 14-3-3-BetaP10.5 , Submitted Image - 14-3-3-BetaP8.5

Specimen Adult: postnatal adult (more )
Structure Level Pattern Image Note
TS28: retina ganglion cell layer Present Regionally restricted Submitted Image - 14-3-3-BetaAdult Expression was detected in a subset of ganglion cells.

Specimen CNS: postnatal day 6 (more )
Structure Level Pattern Image Note
TS28: central nervous system Present Expression was widespread.

Specimen Embryo: embryonic day 16.0 (more )
Structure Level Pattern Image Note
TS24: central nervous system Present
TS24: peripheral nervous system Present
TS24: thymus Present


Contributing Projects:
Mouse Genome Database (MGD), Gene Expression Database (GXD), Mouse Models of Human Cancer database (MMHCdb) (formerly Mouse Tumor Biology (MTB)), Gene Ontology (GO)
Citing These Resources
Funding Information
Warranty Disclaimer, Privacy Notice, Licensing, & Copyright
Send questions and comments to User Support.
last database update
03/31/2026
MGI 6.24
The Jackson Laboratory