About   Help   FAQ
Gene Expression Data
Assay Details
Assay
Reference: J:93300 Blackshaw S, et al., Genomic analysis of mouse retinal development. PLoS Biol. 2004 Oct;2(9):E247
Assay type: RNA in situ
MGI Accession ID: MGI:3585900
Gene symbol: Fgfr1
Gene name: fibroblast growth factor receptor 1
Probe: UI-M-BH3-axb-f-12-0-UI.s1
Probe preparation: Antisense labelled with digoxigenin RNA
Visualized with: Alkaline phosphatase
Assay notes: This data is from Supplemental Table 5, Gene column, row: 254496 FGFR1. After cryosectioning, tissue was fixed for 10' in 4% paraformaldehyde prior to processing.
Results
Specimen E12: embryonic day 12.0 (more )
Structure Level Pattern Image Note
TS20: neural retinal epithelium Present Regionally restricted Expression was detected in the outer neuroblastic layer.

Specimen E14: embryonic day 14.0 (more )
Structure Level Pattern Image Note
TS22: neural retinal epithelium Present Regionally restricted Submitted Image - AI32E14 Expression was detected in the outer neuroblastic layer.

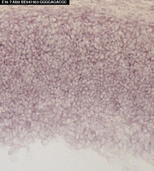
Specimen E16: embryonic day 16.0 (more )
Structure Level Pattern Image Note
TS24: retina nuclear layer Present Regionally restricted Submitted Image - AI32E16 Expression was detected in the outer neuroblastic layer.

Specimen E18: embryonic day 18.0 (more )
Structure Level Pattern Image Note
TS26: retina outer nuclear layer Present Expression was detected in the outer neuroblastic layer.

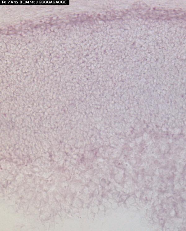
Specimen P0/1: postnatal day 0-1 (more )
Structure Level Pattern Image Note
TS27: retina outer nuclear layer Weak Regionally restricted Submitted Image - AI32P0 Expression was detected in the vitreal outer neuroblastic layer.

Specimen P2/3: postnatal day 2-3 (more )
Structure Level Pattern Image Note
TS27: retina outer nuclear layer Weak Regionally restricted Submitted Image - AI32P2 Expression was detected in the vitreal outer neuroblastic layer.

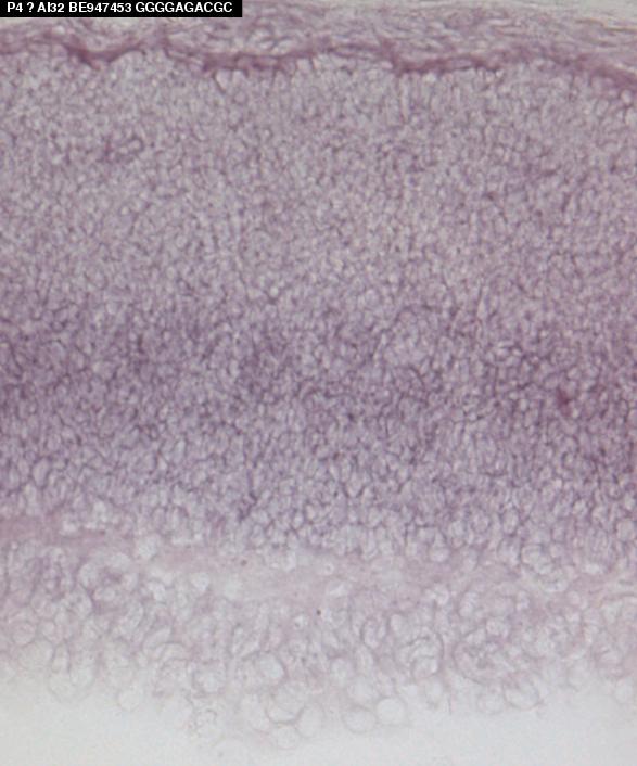
Specimen P4/5: postnatal day 4-5 (more )
Structure Level Pattern Image Note
TS28: retina outer nuclear layer Present Regionally restricted Submitted Image - AI32P4 Expression was detected in the vitreal outer neuroblastic layer.

Specimen P6/7: postnatal day 6-7 (more )
Structure Level Pattern Image Note
TS28: retina inner nuclear layer Present Submitted Image - AI32P6 Expression was detected in the inner nuclear layer and tentatively in the Muller glia.

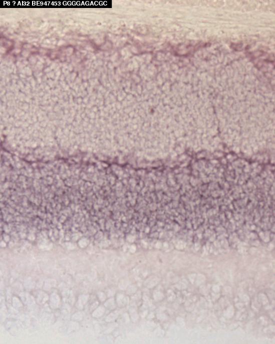
Specimen P8/10: postnatal day 8-10 (more )
Structure Level Pattern Image Note
TS28: retina inner nuclear layer Present Submitted Image - AI32P8 Expression was detected in the inner nuclear layer and tentatively in Muller glia.

Specimen Adult: postnatal adult (more )
Structure Level Pattern Image Note
TS28: retina Present Regionally restricted Submitted Image - AI32AD Expression was detected in the Muller glia.

Specimen CNS: postnatal day 6 (more )
Structure Level Pattern Image Note
TS28: hippocampus Present
TS28: cerebellum Present

Specimen Embryo: embryonic day 16.0 (more )
Structure Level Pattern Image Note
TS24: central nervous system Present
TS24: liver Present


Contributing Projects:
Mouse Genome Database (MGD), Gene Expression Database (GXD), Mouse Models of Human Cancer database (MMHCdb) (formerly Mouse Tumor Biology (MTB)), Gene Ontology (GO)
Citing These Resources
Funding Information
Warranty Disclaimer, Privacy Notice, Licensing, & Copyright
Send questions and comments to User Support.
last database update
12/30/2025
MGI 6.24
The Jackson Laboratory