About   Help   FAQ
Gene Expression Data
Assay Details
Assay
Reference: J:93300 Blackshaw S, et al., Genomic analysis of mouse retinal development. PLoS Biol. 2004 Oct;2(9):E247
Assay type: RNA in situ
MGI Accession ID: MGI:3585894
Gene symbol: Fhl1
Gene name: four and a half LIM domains 1
Probe: UI-M-AL1-aho-f-08-0-UI.s1
Probe preparation: Antisense labelled with digoxigenin RNA
Visualized with: Alkaline phosphatase
Assay notes: This data is from Supplemental Table 5, Gene column, row: 3126 four and a half LIM domains 1/KyoT2 . After cryosectioning, tissue was fixed for 10' in 4% paraformaldehyde prior to processing.
Results
Specimen E16: embryonic day 16.0 (more )
Structure Level Pattern Image Note
TS24: retina Present Uniform Submitted Image - 60be16 , Submitted Image - 60Be16.5 Expression was panretinal.

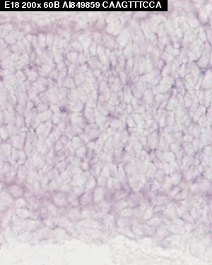
Specimen E18: embryonic day 18.0 (more )
Structure Level Pattern Image Note
TS26: retina outer nuclear layer Present Submitted Image - 60Be18.5 , Submitted Image - 60be18 , Submitted Image - 60be18b Expression was detected in the outer neuroblastic layer.

Specimen P0/1: postnatal day 0-1 (more )
Structure Level Pattern Image Note
TS27: retina outer nuclear layer Present Regionally restricted Submitted Image - 60Bp0.5 , Submitted Image - 60bp0b , Submitted Image - 60bp0 , Submitted Image - 60Bp1.5 Expression was detected in the vitreal outer neuroblastic layer.

Specimen P2/3: postnatal day 2-3 (more )
Structure Level Pattern Image Note
TS27: retina outer nuclear layer Present Regionally restricted Submitted Image - 60Bp3.5 , Submitted Image - 60Bp2.5 , Submitted Image - 60bp2 , Submitted Image - 60bp2b Expression was detected in the vitreal outer neuroblastic layer.

Specimen P4/5: postnatal day 4-5 (more )
Structure Level Pattern Image Note
TS28: retina outer nuclear layer Present Regionally restricted Submitted Image - 60Bp5.5 , Submitted Image - 60bp4 Expression was detected in the vitreal outer neuroblastic layer.

Specimen P6/7: postnatal day 6-7 (more )
Structure Level Pattern Image Note
TS28: retina inner nuclear layer Present Submitted Image - 60bp6b , Submitted Image - 60bp6
TS28: retina Present Regionally restricted Submitted Image - 60bp6b , Submitted Image - 60bp6 Expression was detected in the Muller glia.

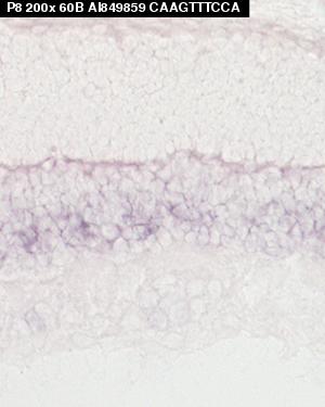
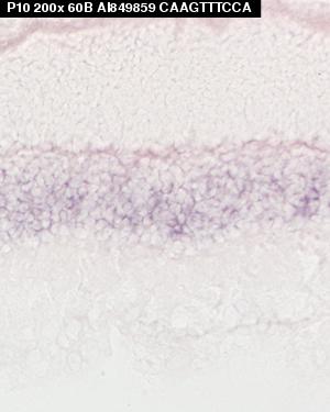
Specimen P8/10: postnatal day 8-10 (more )
Structure Level Pattern Image Note
TS28: retina inner nuclear layer Present Submitted Image - 60Bp10.5 , Submitted Image - 60bp8 , Submitted Image - 60Bp8.5 , Submitted Image - 60Bp9.5 , Submitted Image - 60bp10
TS28: retina Present Regionally restricted Submitted Image - 60bp10 , Submitted Image - 60Bp8.5 , Submitted Image - 60Bp9.5 , Submitted Image - 60bp8 , Submitted Image - 60Bp10.5 Expression was detected in the Muller glia.

Specimen Adult: postnatal adult (more )
Structure Level Pattern Image Note
TS28: retina Present Regionally restricted Submitted Image - 60badb , Submitted Image - 60bad Expression was detected in the Muller glia.

Specimen CNS: postnatal day 6 (more )
Structure Level Pattern Image Note
TS28: forebrain Present
TS28: midbrain Present
TS28: cerebellum Absent

Specimen Embryo: embryonic day 16.0 (more )
Structure Level Pattern Image Note
TS24: skeletal muscle Strong


Contributing Projects:
Mouse Genome Database (MGD), Gene Expression Database (GXD), Mouse Models of Human Cancer database (MMHCdb) (formerly Mouse Tumor Biology (MTB)), Gene Ontology (GO)
Citing These Resources
Funding Information
Warranty Disclaimer, Privacy Notice, Licensing, & Copyright
Send questions and comments to User Support.
last database update
03/24/2026
MGI 6.24
The Jackson Laboratory