About   Help   FAQ
Gene Expression Data
Assay Details
Assay
Reference: J:93300 Blackshaw S, et al., Genomic analysis of mouse retinal development. PLoS Biol. 2004 Oct;2(9):E247
Assay type: RNA in situ
MGI Accession ID: MGI:3585879
Gene symbol: Cln6
Gene name: ceroid-lipofuscinosis, neuronal 6
Probe: UI-M-CG0p-bqy-g-08-0-UI.s1
Probe preparation: Antisense labelled with digoxigenin RNA
Visualized with: Alkaline phosphatase
Assay notes: This data is from Supplemental Table 5, Gene column, row: 30232 ceroid-lipofuscinosis, neuronal 6. After cryosectioning, tissue was fixed for 10' in 4% paraformaldehyde prior to processing.
Results
Specimen E12: embryonic day 12.0 (more )
Structure Level Pattern Image Note
TS20: retina Weak Uniform Expression was panretinal.

Specimen E14: embryonic day 14.0 (more )
Structure Level Pattern Image Note
TS22: retina Weak Uniform Expression was panretinal.

Specimen E16: embryonic day 16.0 (more )
Structure Level Pattern Image Note
TS24: retina nuclear layer Present Regionally restricted Submitted Image - AF37e16.5 Expression was detected in the vitreal outer neuroblastic layer.

Specimen E18: embryonic day 18.0 (more )
Structure Level Pattern Image Note
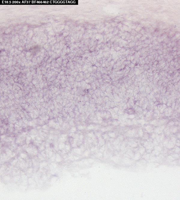
TS26: retina outer nuclear layer Present Regionally restricted Submitted Image - AF37e18.5 Expression was detected in the vitreal outer neuroblastic layer.

Specimen P0/1: postnatal day 0-1 (more )
Structure Level Pattern Image Note
TS27: retina inner nuclear layer Present Regionally restricted Submitted Image - AF37p1.5 Expression was detected in the scleral inner neuroblastic layer.
TS27: retina outer nuclear layer Weak Submitted Image - AF37p1.5 Expression was detected in the outer neuroblastic layer.

Specimen P2/3: postnatal day 2-3 (more )
Structure Level Pattern Image Note
TS27: retina outer nuclear layer Present Regionally restricted Submitted Image - AF37p3.5 Expression was detected in the vitreal outer neuroblastic layer.

Specimen P6/7: postnatal day 6-7 (more )
Structure Level Pattern Image Note
TS28: retina inner nuclear layer Present Submitted Image - AF37p6.5 Expression was detected in the inner nuclear layer and tentatively in the Muller glia.
TS28: retina outer nuclear layer Present Submitted Image - AF37p6.5

Specimen P8/10: postnatal day 8-10 (more )
Structure Level Pattern Image Note
TS28: retina inner nuclear layer Present Submitted Image - AF37p8.5 Expression was detected in the inner nuclear layer and tentatively in Muller glia.

Specimen Adult: postnatal adult (more )
Structure Level Pattern Image Note
TS28: retina Present Regionally restricted Submitted Image - AF37adult Expression was detected in the Muller glia.

Specimen CNS: postnatal day 6 (more )
Structure Level Pattern Image Note
TS28: hippocampus Present

Specimen Embryo: embryonic day 16.0 (more )
Structure Level Pattern Image Note
TS24: embryo Present Expression was widespread.


Contributing Projects:
Mouse Genome Database (MGD), Gene Expression Database (GXD), Mouse Models of Human Cancer database (MMHCdb) (formerly Mouse Tumor Biology (MTB)), Gene Ontology (GO)
Citing These Resources
Funding Information
Warranty Disclaimer, Privacy Notice, Licensing, & Copyright
Send questions and comments to User Support.
last database update
04/14/2026
MGI 6.24
The Jackson Laboratory