About   Help   FAQ
Gene Expression Data
Assay Details
Assay
Reference: J:93300 Blackshaw S, et al., Genomic analysis of mouse retinal development. PLoS Biol. 2004 Oct;2(9):E247
Assay type: RNA in situ
MGI Accession ID: MGI:3585858
Gene symbol: Maz
Gene name: MYC-associated zinc finger protein (purine-binding transcription factor)
Probe: IMAGE clone 442326
Probe preparation: Antisense labelled with digoxigenin RNA
Visualized with: Alkaline phosphatase
Assay notes: This data is from Supplemental Table 5, Gene column, row: 29759 MYC-associated zinc finger protein (purine-binding transcription factor) . After cryosectioning, tissue was fixed for 10' in 4% paraformaldehyde prior to processing.
Results
Specimen E16: embryonic day 16.0 (more )
Structure Level Pattern Image Note
TS24: retina nuclear layer Present Regionally restricted Submitted Image - pur-1E16.5 Expression was detected in the outer neuroblastic layer but was higher in scattered cells of the outer neuroblastic layer.

Specimen E18: embryonic day 18.0 (more )
Structure Level Pattern Image Note
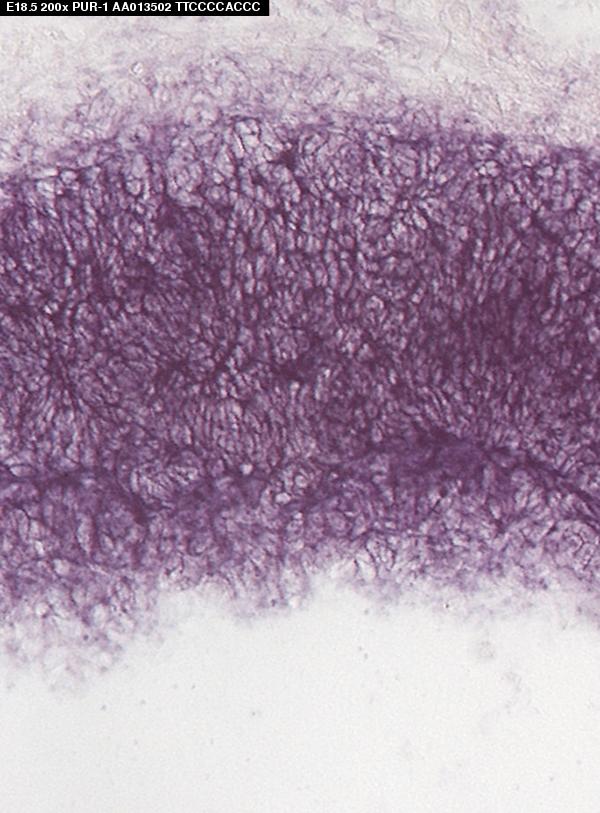
TS26: retina outer nuclear layer Present Submitted Image - pur-1E18.5 Expression was detected in the outer neuroblastic layer but was higher in scattered cells in the outer neuroblastic layer.

Specimen P0/1: postnatal day 0-1 (more )
Structure Level Pattern Image Note
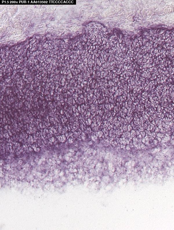
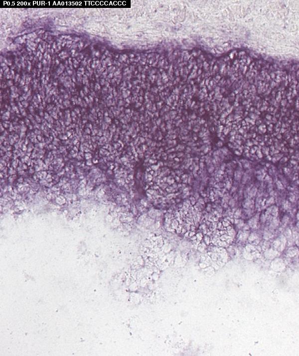
TS27: retina outer nuclear layer Present Submitted Image - pur-1P1.5 , Submitted Image - pur-1P0.5 Expression was detected in the outer neuroblastic layer but was higher in scattered cells in the vitreal outer neuroblastic layer.

Specimen P2/3: postnatal day 2-3 (more )
Structure Level Pattern Image Note
TS27: retina outer nuclear layer Present Regionally restricted Submitted Image - pur-1P2.5 Expression was detected in the vitreal outer neuroblastic layer.

Specimen P4/5: postnatal day 4-5 (more )
Structure Level Pattern Image Note
TS28: retina Present Regionally restricted Submitted Image - pur-1P4.5 Expression was panretinal, but the level was higher in the vitreal outer neuroblastic layer.

Specimen P6/7: postnatal day 6-7 (more )
Structure Level Pattern Image Note
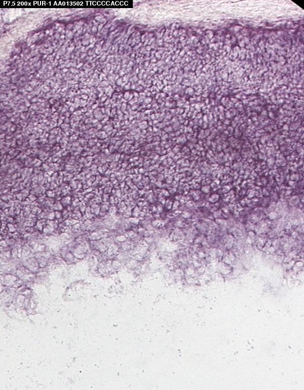
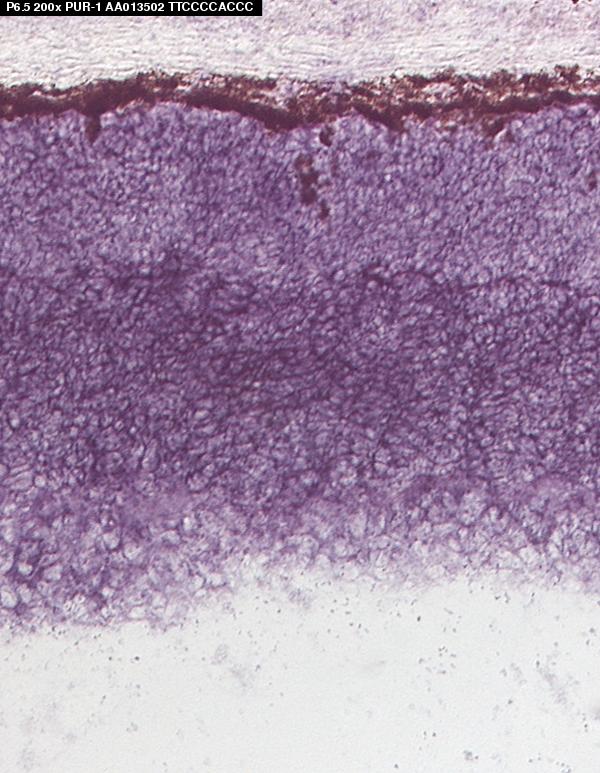
TS28: retina Present Regionally restricted Submitted Image - pur-1P6.5 , Submitted Image - pur-1P7.5 Expression was panretinal, but the level was higher in the inner nuclear layer.

Specimen P8/10: postnatal day 8-10 (more )
Structure Level Pattern Image Note
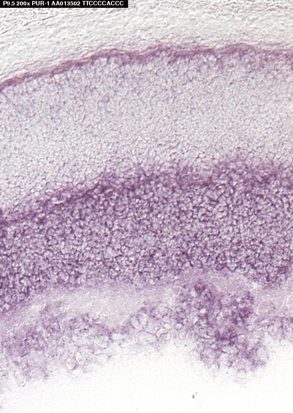
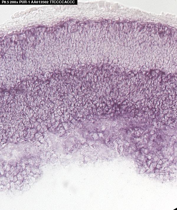
TS28: retina Present Regionally restricted Submitted Image - pur-1P10.5 , Submitted Image - pur-1P8.5 , Submitted Image - pur-1P9.5 Expression was panretinal, but the level was higher in the inner nuclear layer.

Specimen Adult: postnatal adult (more )
Structure Level Pattern Image Note
TS28: retina Present Regionally restricted Expression was detected in the Muller glia.

Specimen CNS: postnatal day 6 (more )
Structure Level Pattern Image Note
TS28: central nervous system Weak Expression was widespread.

Specimen Embryo: embryonic day 16.0 (more )
Structure Level Pattern Image Note
TS24: thymus Present
TS24: metanephros Present
TS24: embryo Present Expression was widespread.


Contributing Projects:
Mouse Genome Database (MGD), Gene Expression Database (GXD), Mouse Models of Human Cancer database (MMHCdb) (formerly Mouse Tumor Biology (MTB)), Gene Ontology (GO)
Citing These Resources
Funding Information
Warranty Disclaimer, Privacy Notice, Licensing, & Copyright
Send questions and comments to User Support.
last database update
03/24/2026
MGI 6.24
The Jackson Laboratory