About   Help   FAQ
Gene Expression Data
Assay Details
Assay
Reference: J:93300 Blackshaw S, et al., Genomic analysis of mouse retinal development. PLoS Biol. 2004 Oct;2(9):E247
Assay type: RNA in situ
MGI Accession ID: MGI:3585851
Gene symbol: Ptk2
Gene name: PTK2 protein tyrosine kinase 2
Probe: IMAGE clone 582468
Probe preparation: Antisense labelled with digoxigenin RNA
Visualized with: Alkaline phosphatase
Assay notes: This data is from Supplemental Table 5, Gene column, row: 29674 focal adhesion kinase . After cryosectioning, tissue was fixed for 10' in 4% paraformaldehyde prior to processing.
Results
Specimen E14: embryonic day 14.0 (more )
Structure Level Pattern Image Note
TS22: retina Absent

Specimen E16: embryonic day 16.0 (more )
Structure Level Pattern Image Note
TS24: retina Absent Submitted Image - fakE16.5

Specimen E18: embryonic day 18.0 (more )
Structure Level Pattern Image Note
TS26: retina Absent Submitted Image - fakE18.5

Specimen P0/1: postnatal day 0-1 (more )
Structure Level Pattern Image Note
TS27: retina Weak Uniform Submitted Image - fakP1.5 , Submitted Image - fakP0.5 Expression was panretinal.

Specimen P2/3: postnatal day 2-3 (more )
Structure Level Pattern Image Note
TS27: retina Weak Uniform Submitted Image - fakP3.5 , Submitted Image - fakP2.5 Expression was panretinal.

Specimen P4/5: postnatal day 4-5 (more )
Structure Level Pattern Image Note
TS28: retina outer nuclear layer Present Regionally restricted Submitted Image - fakP4.5 , Submitted Image - fakP5.5 Expression was detected in the vitreal outer neuroblastic layer.

Specimen P6/7: postnatal day 6-7 (more )
Structure Level Pattern Image Note
TS28: retina inner nuclear layer Present Submitted Image - fakP6.5 , Submitted Image - fakP7.5

Specimen P8/10: postnatal day 8-10 (more )
Structure Level Pattern Image Note
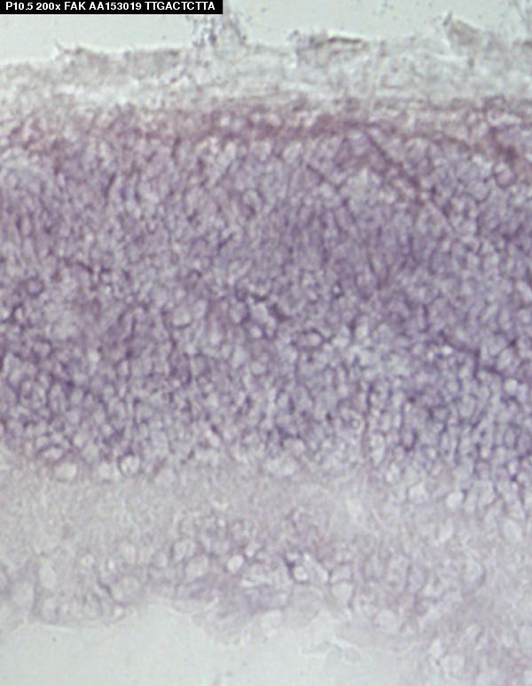
TS28: retina inner nuclear layer Present Submitted Image - fakP8.5 , Submitted Image - fakP10.5 , Submitted Image - fakP9.5
TS28: retina outer nuclear layer Present Submitted Image - fakP10.5 , Submitted Image - fakP8.5 , Submitted Image - fakP9.5

Specimen Adult: postnatal adult (more )
Structure Level Pattern Image Note
TS28: retina Present Uniform Submitted Image - fakAdult Expression was panretinal.

Specimen CNS: postnatal day 6 (more )
Structure Level Pattern Image Note
TS28: cerebellum Present
TS28: hippocampus Present

Specimen Embryo: embryonic day 16.0 (more )
Structure Level Pattern Image Note
TS24: central nervous system Present
TS24: liver Present
TS24: lung Present


Contributing Projects:
Mouse Genome Database (MGD), Gene Expression Database (GXD), Mouse Models of Human Cancer database (MMHCdb) (formerly Mouse Tumor Biology (MTB)), Gene Ontology (GO)
Citing These Resources
Funding Information
Warranty Disclaimer, Privacy Notice, Licensing, & Copyright
Send questions and comments to User Support.
last database update
01/20/2026
MGI 6.24
The Jackson Laboratory