About   Help   FAQ
Gene Expression Data
Assay Details
Assay
Reference: J:93300 Blackshaw S, et al., Genomic analysis of mouse retinal development. PLoS Biol. 2004 Oct;2(9):E247
Assay type: RNA in situ
MGI Accession ID: MGI:3585744
Gene symbol: Spc25
Gene name: SPC25, NDC80 kinetochore complex component, homolog (S. cerevisiae)
Probe: IMAGE clone 585541
Probe preparation: Antisense labelled with digoxigenin RNA
Visualized with: Alkaline phosphatase
Assay notes: This data is from Supplemental Table 5, Gene column, row: 26062 AD024 protein (endosomal/kinesin-like?). After cryosectioning, tissue was fixed for 10' in 4% paraformaldehyde prior to processing.
Results
Specimen E14: embryonic day 14.0 (more )
Structure Level Pattern Image Note
TS22: neural retinal epithelium Present Regionally restricted 5B ADO24 E14 , Submitted Image - U16e14 Expression was detected in the outer neuroblastic layer but was higher in a subset of cells.

Specimen E16: embryonic day 16.0 (more )
Structure Level Pattern Image Note
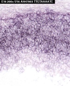
TS24: retina nuclear layer Present Regionally restricted Submitted Image - U16e16 , 5B ADO24 E16 Expression was detected in the outer neuroblastic layer but was higher in a subset of cells.

Specimen E18: embryonic day 18.0 (more )
Structure Level Pattern Image Note
TS26: retina outer nuclear layer Present Regionally restricted Submitted Image - U16e18 , 5B ADO24 E18 Expression was detected in the outer neuroblastic layer but was higher in a subset of cells.

Specimen P0/1: postnatal day 0-1 (more )
Structure Level Pattern Image Note
TS27: retina outer nuclear layer Present Regionally restricted Submitted Image - U16p0 , 5B ADO24 P0 Expression was detected in scleral and vitreal outer neuroblastic layer. The expression level was higher in the vitreal outer neuroblastic layer.

Specimen P2/3: postnatal day 2-3 (more )
Structure Level Pattern Image Note
TS27: retina outer nuclear layer Present Regionally restricted 5B ADO24 P2 , Submitted Image - U16p2 Expression was detected in the vitreal and scleral outer neuroblastic layer. The expression level was higher in the vitreal outer neuroblastic layer.

Specimen P4/5: postnatal day 4-5 (more )
Structure Level Pattern Image Note
TS28: retina outer nuclear layer Present Regionally restricted 5B ADO24 P4 , Submitted Image - U16p4 Expression was detected in the scleral and vitreal outer neuroblastic layer. The expression level was higher in the vitreal outer neuroblastic layer.

Specimen P6/7: postnatal day 6-7 (more )
Structure Level Pattern Image Note
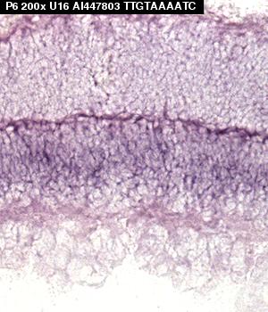
TS28: retina Present Regionally restricted Submitted Image - U16p6 , 5B ADO24 P6 Expression was detected in the Muller glia.
TS28: retina outer nuclear layer Weak 5B ADO24 P6 , Submitted Image - U16p6

Specimen P8/10: postnatal day 8-10 (more )
Structure Level Pattern Image Note
TS28: retina Present Regionally restricted Submitted Image - U16p8 Expression was detected in the Muller glia.
TS28: retina outer nuclear layer Weak Submitted Image - U16p8

Specimen Adult: postnatal adult (more )
Structure Level Pattern Image Note
TS28: retina Present Regionally restricted 5B ADO24 Adult , Submitted Image - U16ad , Submitted Image - U16adb Expression was detected in the Muller glia.

Specimen CNS: postnatal day 6 (more )
Structure Level Pattern Image Note
TS28: central nervous system Absent

Specimen Embryo: embryonic day 16.0 (more )
Structure Level Pattern Image Note
TS24: diencephalon Present Regionally restricted Expression was detected in diencephalon progenitors.
TS24: embryo Present Expression was widespread.


Contributing Projects:
Mouse Genome Database (MGD), Gene Expression Database (GXD), Mouse Models of Human Cancer database (MMHCdb) (formerly Mouse Tumor Biology (MTB)), Gene Ontology (GO)
Citing These Resources
Funding Information
Warranty Disclaimer, Privacy Notice, Licensing, & Copyright
Send questions and comments to User Support.
last database update
12/30/2025
MGI 6.24
The Jackson Laboratory