About   Help   FAQ
Gene Expression Data
Assay Details
Assay
Reference: J:93300 Blackshaw S, et al., Genomic analysis of mouse retinal development. PLoS Biol. 2004 Oct;2(9):E247
Assay type: RNA in situ
MGI Accession ID: MGI:3585725
Gene symbol: Lcorl
Gene name: ligand dependent nuclear receptor corepressor-like
Probe: IMAGE clone 573987
Probe preparation: Antisense labelled with digoxigenin RNA
Visualized with: Alkaline phosphatase
Assay notes: This data is from Supplemental Table 5, Gene column, row: 256508 Mblk1-related . After cryosectioning, tissue was fixed for 10' in 4% paraformaldehyde prior to processing.
Results
Specimen E18: embryonic day 18.0 (more )
Structure Level Pattern Image Note
TS26: retina Present Regionally restricted Submitted Image - u13E18.5 Expression was panretinal, but the level was higher in the outer neuroblastic layer.

Specimen P0/1: postnatal day 0-1 (more )
Structure Level Pattern Image Note
TS27: retina Present Regionally restricted Submitted Image - u13P1.5 Expression was panretinal, but the level was higher in the vitreal outer neuroblastic layer.

Specimen P2/3: postnatal day 2-3 (more )
Structure Level Pattern Image Note
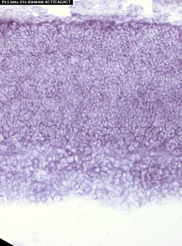
TS27: retina Present Regionally restricted Submitted Image - u13P2.5 , Submitted Image - u13P3.5 Expression was panretinal, but the level was higher in the vitreal outer neuroblastic layer.

Specimen P4/5: postnatal day 4-5 (more )
Structure Level Pattern Image Note
TS28: retina Present Regionally restricted Submitted Image - u13P4.5 , Submitted Image - u13P5.5 Expression was panretinal, but the level was higher in the vitreal outer neuroblastic layer.

Specimen P6/7: postnatal day 6-7 (more )
Structure Level Pattern Image Note
TS28: retina Present Regionally restricted Submitted Image - u13P7.5 Expression was panretinal, but the level was higher in the inner nuclear layer.

Specimen P8/10: postnatal day 8-10 (more )
Structure Level Pattern Image Note
TS28: retina Present Uniform Expression was panretinal.

Specimen Adult: postnatal adult (more )
Structure Level Pattern Image Note
TS28: retina Present Uniform Submitted Image - u13Adult Expression was panretinal.

Specimen CNS: postnatal day 6 (more )
Structure Level Pattern Image Note
TS28: central nervous system Present Expression was widespread.

Specimen Embryo: embryonic day 16.0 (more )
Structure Level Pattern Image Note
TS24: embryo Present Expression was widespread.


Contributing Projects:
Mouse Genome Database (MGD), Gene Expression Database (GXD), Mouse Models of Human Cancer database (MMHCdb) (formerly Mouse Tumor Biology (MTB)), Gene Ontology (GO)
Citing These Resources
Funding Information
Warranty Disclaimer, Privacy Notice, Licensing, & Copyright
Send questions and comments to User Support.
last database update
03/24/2026
MGI 6.24
The Jackson Laboratory