About   Help   FAQ
Gene Expression Data
Assay Details
Assay
Reference: J:93300 Blackshaw S, et al., Genomic analysis of mouse retinal development. PLoS Biol. 2004 Oct;2(9):E247
Assay type: RNA in situ
MGI Accession ID: MGI:3585724
Gene symbol: Usp2
Gene name: ubiquitin specific peptidase 2
Probe: UI-M-AN1-aff-e-09-0-UI.s1
Probe preparation: Antisense labelled with digoxigenin RNA
Visualized with: Alkaline phosphatase
Assay notes: This data is from Supplemental Table 5, Gene column, row: 12914 Ubiquitin specific protease 2 . After cryosectioning, tissue was fixed for 10' in 4% paraformaldehyde prior to processing.
Results
Specimen E14: embryonic day 14.0 (more )
Structure Level Pattern Image Note
TS22: retina Absent

Specimen E16: embryonic day 16.0 (more )
Structure Level Pattern Image Note
TS24: retina Absent

Specimen E18: embryonic day 18.0 (more )
Structure Level Pattern Image Note
TS26: retina Absent

Specimen P0/1: postnatal day 0-1 (more )
Structure Level Pattern Image Note
TS27: retina Absent

Specimen P2/3: postnatal day 2-3 (more )
Structure Level Pattern Image Note
TS27: retina Absent Submitted Image - 29Bp3.5B , Submitted Image - 29Bp3.5 , Submitted Image - 29Bp2.5B , Submitted Image - 29Bp3.5C , Submitted Image - 29Bp2.5

Specimen P4/5: postnatal day 4-5 (more )
Structure Level Pattern Image Note
TS28: retina Absent Submitted Image - 29Bp5.5 , Submitted Image - 29Bp4.5

Specimen P6/7: postnatal day 6-7 (more )
Structure Level Pattern Image Note
TS28: retina Absent Submitted Image - 29Bp7.5D , Submitted Image - 29Bp7.5 , Submitted Image - 29Bp7.5C , Submitted Image - 29Bp7.5B , Submitted Image - 29Bp6.5B , Submitted Image - 29Bp6.5

Specimen P8/10: postnatal day 8-10 (more )
Structure Level Pattern Image Note
TS28: retina outer nuclear layer Weak Submitted Image - 29Bp10.5C , Submitted Image - 29Bp10.5B , Submitted Image - 29Bp10.5 , Submitted Image - 29Bp8.5

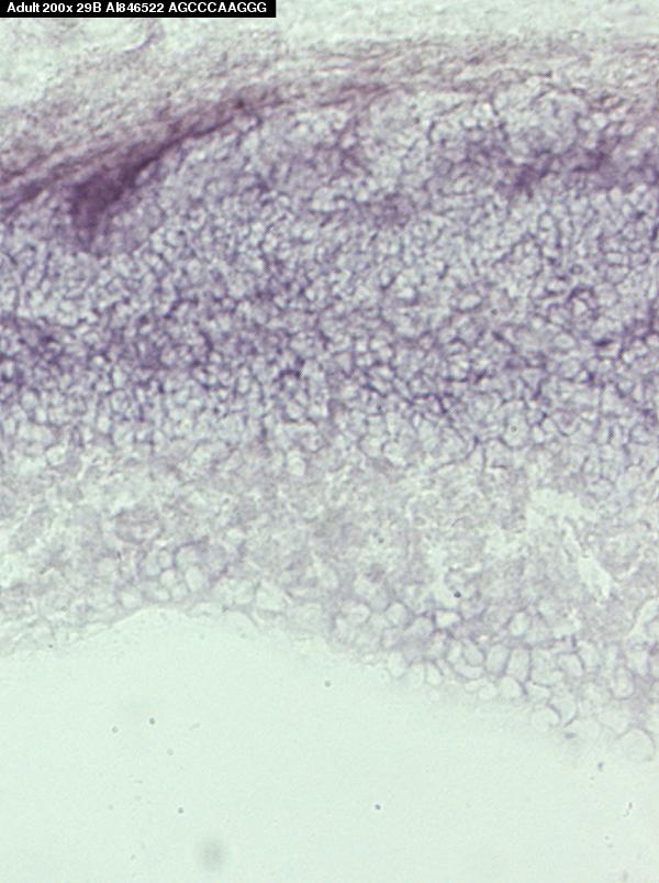
Specimen Adult: postnatal adult (more )
Structure Level Pattern Image Note
TS28: retina outer nuclear layer Present Submitted Image - 29Badult , Submitted Image - 29BadultB
TS28: retina layer Present Regionally restricted Submitted Image - 29BadultB , Submitted Image - 29Badult Expression was detected in bipolar cells.

Specimen CNS: postnatal day 6 (more )
Structure Level Pattern Image Note
TS28: central nervous system Weak Expression was widespread.

Specimen Embryo: embryonic day 16.0 (more )
Structure Level Pattern Image Note
TS24: embryo Weak Expression was widespread.


Contributing Projects:
Mouse Genome Database (MGD), Gene Expression Database (GXD), Mouse Models of Human Cancer database (MMHCdb) (formerly Mouse Tumor Biology (MTB)), Gene Ontology (GO)
Citing These Resources
Funding Information
Warranty Disclaimer, Privacy Notice, Licensing, & Copyright
Send questions and comments to User Support.
last database update
12/30/2025
MGI 6.24
The Jackson Laboratory