About   Help   FAQ
Gene Expression Data
Assay Details
Assay
Reference: J:93300 Blackshaw S, et al., Genomic analysis of mouse retinal development. PLoS Biol. 2004 Oct;2(9):E247
Assay type: RNA in situ
MGI Accession ID: MGI:3585699
Gene symbol: Vopp1
Gene name: vesicular, overexpressed in cancer, prosurvival protein 1
Probe: UI-M-BH0-akg-b-12-0-UI.s1
Probe preparation: Antisense labelled with digoxigenin RNA
Visualized with: Alkaline phosphatase
Assay notes: This data is from Supplemental Table 5, Gene column, row: 24642 ESTs . After cryosectioning, tissue was fixed for 10' in 4% paraformaldehyde prior to processing.
Results
Specimen E14: embryonic day 14.0 (more )
Structure Level Pattern Image Note
TS22: neural retinal epithelium Present Regionally restricted Submitted Image - F37e14 , Submitted Image - F37e14 , Submitted Image - F37e14.5 Expression was detected in the inner neuroblastic layer.

Specimen E16: embryonic day 16.0 (more )
Structure Level Pattern Image Note
TS24: retina nuclear layer Present Regionally restricted Submitted Image - F37e16.5 , Submitted Image - F37e16 , S7_Mm.24642 E16 Expression was detected in the inner neuroblastic layer.

Specimen E18: embryonic day 18.0 (more )
Structure Level Pattern Image Note
TS26: retina inner nuclear layer Present Submitted Image - F37e18. , S7_Mm.24642 E18 , Submitted Image - F37e18 , Submitted Image - F37e18.5 Expression was detected in the inner neuroblastic layer.
TS26: retina outer nuclear layer Weak Submitted Image - F37e18.5 , S7_Mm.24642 E18 , Submitted Image - F37e18. , Submitted Image - F37e18 Expression was detected in the outer neuroblastic layer.

Specimen P0/1: postnatal day 0-1 (more )
Structure Level Pattern Image Note
TS27: retina inner nuclear layer Present Submitted Image - F37p0 , Submitted Image - F37p0. , Submitted Image - F37p0.5 , Submitted Image - F37p1.5 , S7_Mm.24642 P0 Expression was detected in the inner neuroblastic layer.
TS27: retina outer nuclear layer Present Regionally restricted S7_Mm.24642 P0 , Submitted Image - F37p1.5 , Submitted Image - F37p0. , Submitted Image - F37p0 , Submitted Image - F37p0.5 Expression was detected in the scleral outer neuroblastic layer.

Specimen P2/3: postnatal day 2-3 (more )
Structure Level Pattern Image Note
TS27: retina inner nuclear layer Present Submitted Image - F37p3.5 , Submitted Image - F37p2.5 , Submitted Image - F37p2. , Submitted Image - F37p2 , S7_Mm.24642 P2 Expression was detected in the inner neuroblastic layer.
TS27: retina outer nuclear layer Present Regionally restricted Submitted Image - F37p2. , Submitted Image - F37p2.5 , S7_Mm.24642 P2 , Submitted Image - F37p2 , Submitted Image - F37p3.5 Expression was detected in the scleral outer neuroblastic layer.

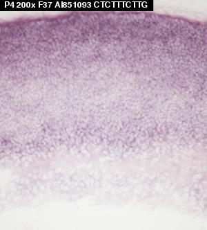
Specimen P4/5: postnatal day 4-5 (more )
Structure Level Pattern Image Note
TS28: retina outer nuclear layer Present Regionally restricted Submitted Image - F37p4.5 , Submitted Image - F37p4 , S7_Mm.24642 P4 , Submitted Image - F37p4. Expression was detected in the scleral outer neuroblastic layer.

Specimen P6/7: postnatal day 6-7 (more )
Structure Level Pattern Image Note
TS28: retina outer nuclear layer Present S7_Mm.24642 P6 , Submitted Image - F37p6. , Submitted Image - F37p6 , Submitted Image - F37p6.5

Specimen P8/10: postnatal day 8-10 (more )
Structure Level Pattern Image Note
TS28: retina outer nuclear layer Present S7_Mm.24642 P8 , Submitted Image - F37p8. , Submitted Image - F37p8.5 , Submitted Image - F37p8

Specimen Adult: postnatal adult (more )
Structure Level Pattern Image Note
TS28: retina outer nuclear layer Present Regionally restricted S7_Mm.24642 Adult , Submitted Image - F37adult Expression was detected in the inner segment.

Specimen CNS: postnatal day 6 (more )
Structure Level Pattern Image Note
TS28: olfactory epithelium Present Regionally restricted Expression was detected in olfactory receptor neurons.
TS28: cerebellum Present
TS28: hippocampus Present
TS28: cerebral cortex Present

Specimen Embryo: embryonic day 16.0 (more )
Structure Level Pattern Image Note
TS24: central nervous system Present
TS24: peripheral nervous system Present
TS24: liver Present


Contributing Projects:
Mouse Genome Database (MGD), Gene Expression Database (GXD), Mouse Models of Human Cancer database (MMHCdb) (formerly Mouse Tumor Biology (MTB)), Gene Ontology (GO)
Citing These Resources
Funding Information
Warranty Disclaimer, Privacy Notice, Licensing, & Copyright
Send questions and comments to User Support.
last database update
12/30/2025
MGI 6.24
The Jackson Laboratory