About   Help   FAQ
Gene Expression Data
Assay Details
Assay
Reference: J:93300 Blackshaw S, et al., Genomic analysis of mouse retinal development. PLoS Biol. 2004 Oct;2(9):E247
Assay type: RNA in situ
MGI Accession ID: MGI:3585666
Gene symbol: Poldip3
Gene name: polymerase (DNA-directed), delta interacting protein 3
Probe: UI-M-AQ1-aee-h-07-0-UI.s1
Probe preparation: Antisense labelled with digoxigenin RNA
Visualized with: Alkaline phosphatase
Assay notes: This data is from Supplemental Table 5, Gene column, row: 23758 ESTs, Moderately similar to dJ222E13.3 [H.sapiens] . After cryosectioning, tissue was fixed for 10' in 4% paraformaldehyde prior to processing.
Results
Specimen E18: embryonic day 18.0 (more )
Structure Level Pattern Image Note
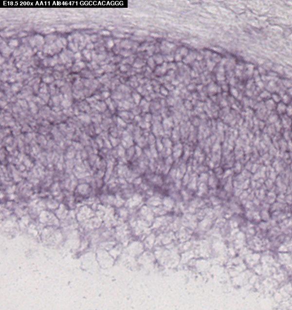
TS26: retina outer nuclear layer Present Submitted Image - AA11e18.5 , Submitted Image - AA11e18.5b Expression was detected in the outer neuroblastic layer.

Specimen P0/1: postnatal day 0-1 (more )
Structure Level Pattern Image Note
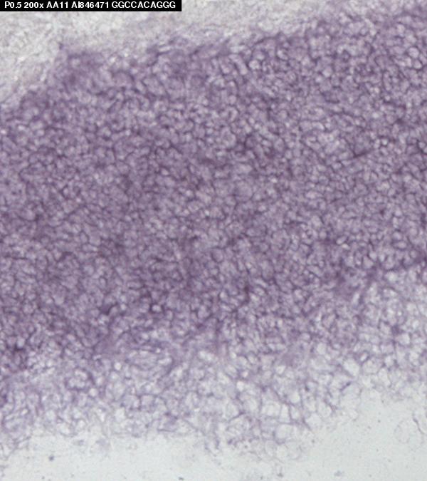
TS27: retina outer nuclear layer Present Submitted Image - AA11p0.5b , Submitted Image - AA11p0.5 Expression was detected in the outer neuroblastic layer.

Specimen P2/3: postnatal day 2-3 (more )
Structure Level Pattern Image Note
TS27: retina outer nuclear layer Present Submitted Image - AA11p3.5b , Submitted Image - AA11p3.5 Expression was detected in the outer neuroblastic layer.

Specimen P4/5: postnatal day 4-5 (more )
Structure Level Pattern Image Note
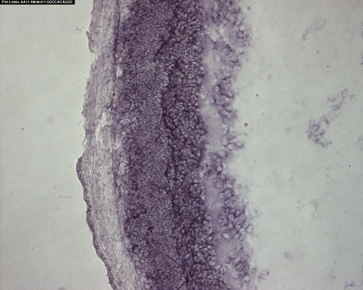
TS28: retina outer nuclear layer Present Expression was detected in the outer neuroblastic layer.

Specimen P6/7: postnatal day 6-7 (more )
Structure Level Pattern Image Note
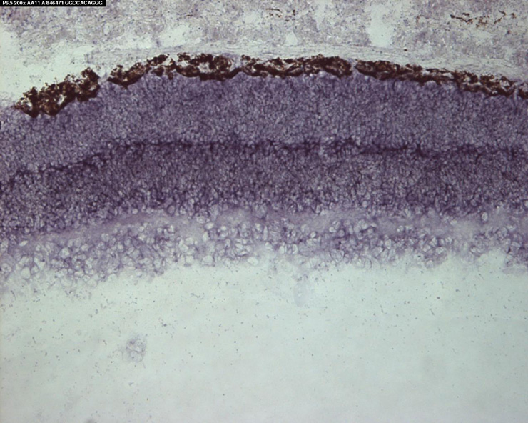
TS28: retina outer nuclear layer Present Submitted Image - AA11p6.5 , Submitted Image - AA11p6.5b
TS28: retina inner nuclear layer Present Submitted Image - AA11p6.5b , Submitted Image - AA11p6.5

Specimen P8/10: postnatal day 8-10 (more )
Structure Level Pattern Image Note
TS28: retina outer nuclear layer Present Submitted Image - AA11p10.5
TS28: retina inner nuclear layer Present Submitted Image - AA11p10.5

Specimen Adult: postnatal adult (more )
Structure Level Pattern Image Note
TS28: retina outer nuclear layer Present Submitted Image - AA11adultb , Submitted Image - AA11adultc , Submitted Image - AA11adult
TS28: retina layer Present Regionally restricted Submitted Image - AA11adult , Submitted Image - AA11adultb , Submitted Image - AA11adultc Expression was detected in bipolar cells.

Specimen CNS: postnatal day 6 (more )
Structure Level Pattern Image Note
TS28: cerebral cortex Present
TS28: cerebellum Present
TS28: hippocampus Present

Specimen Embryo: embryonic day 16.0 (more )
Structure Level Pattern Image Note
TS24: embryo Present Expression was widespread.


Contributing Projects:
Mouse Genome Database (MGD), Gene Expression Database (GXD), Mouse Models of Human Cancer database (MMHCdb) (formerly Mouse Tumor Biology (MTB)), Gene Ontology (GO)
Citing These Resources
Funding Information
Warranty Disclaimer, Privacy Notice, Licensing, & Copyright
Send questions and comments to User Support.
last database update
04/07/2026
MGI 6.24
The Jackson Laboratory