About   Help   FAQ
Gene Expression Data
Assay Details
Assay
Reference: J:93300 Blackshaw S, et al., Genomic analysis of mouse retinal development. PLoS Biol. 2004 Oct;2(9):E247
Assay type: RNA in situ
MGI Accession ID: MGI:3585659
Gene symbol: Tlcd3b
Gene name: TLC domain containing 3B
Probe: UI-M-AO1-aeh-c-09-0-UI.s1
Probe preparation: Antisense labelled with digoxigenin RNA
Visualized with: Alkaline phosphatase
Assay notes: This data is from Supplemental Table 5, Gene column, row: 23434 ESTs. After cryosectioning, tissue was fixed for 10' in 4% paraformaldehyde prior to processing.
Results
Specimen E12: embryonic day 12.0 (more )
Structure Level Pattern Image Note
TS20: retina Absent

Specimen E14: embryonic day 14.0 (more )
Structure Level Pattern Image Note
TS22: retina Absent

Specimen E16: embryonic day 16.0 (more )
Structure Level Pattern Image Note
TS24: retina nuclear layer Weak Regionally restricted Submitted Image - AH29e16.5 Expression was detected in the inner neuroblastic layer.

Specimen E18: embryonic day 18.0 (more )
Structure Level Pattern Image Note
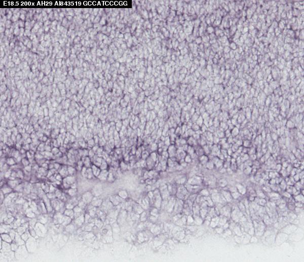
TS26: retina inner nuclear layer Present Submitted Image - AH29e18.5 Expression was detected in the inner neuroblastic layer.
TS26: retina outer nuclear layer Weak Regionally restricted Submitted Image - AH29e18.5 Expression was detected in a subset of cells in the outer neuroblastic layer.

Specimen P0/1: postnatal day 0-1 (more )
Structure Level Pattern Image Note
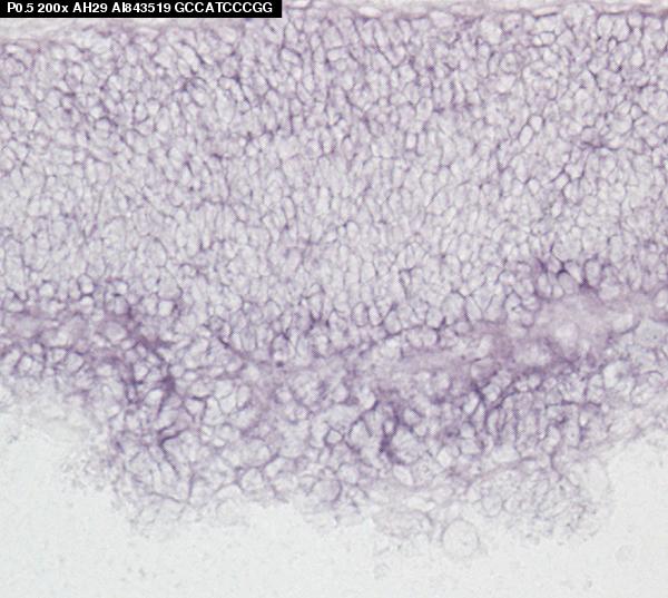
TS27: retina outer nuclear layer Present Submitted Image - AH29p1.5 , Submitted Image - AH29p0.5 Expression was detected in the outer neuroblastic layer.
TS27: retina inner nuclear layer Present Regionally restricted Submitted Image - AH29p0.5 , Submitted Image - AH29p1.5 Expression was detected in the scleral inner neuroblastic layer.

Specimen P2/3: postnatal day 2-3 (more )
Structure Level Pattern Image Note
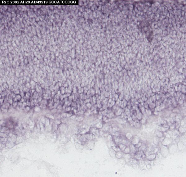
TS27: retina inner nuclear layer Present Regionally restricted Submitted Image - AH29p3.5 , Submitted Image - AH29p2.5 Expression was detected in the scleral inner neuroblastic layer.
TS27: retina outer nuclear layer Present Regionally restricted Submitted Image - AH29p2.5 , Submitted Image - AH29p3.5 Expression was detected in the scleral outer neuroblastic layer.

Specimen P4/5: postnatal day 4-5 (more )
Structure Level Pattern Image Note
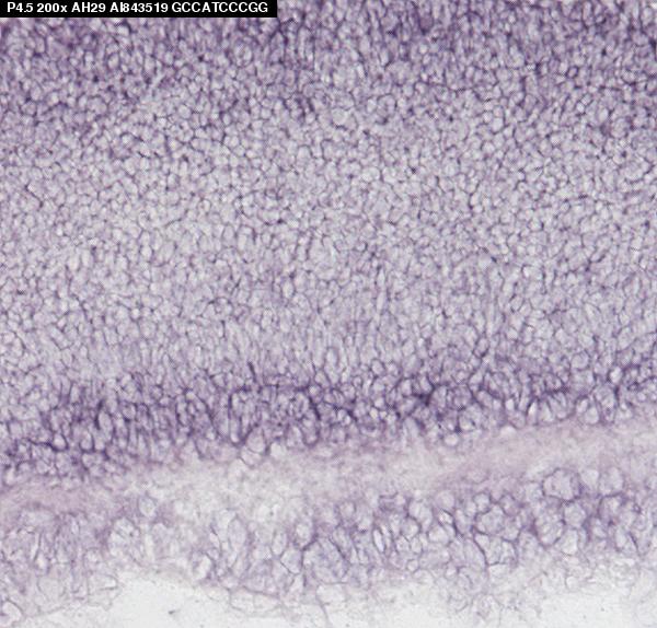
TS28: retina outer nuclear layer Present Regionally restricted Submitted Image - AH29p4.5 Expression was detected in the scleral outer neuroblastic layer.
TS28: retina inner nuclear layer Present Regionally restricted Submitted Image - AH29p4.5 Expression was detected in the scleral inner neuroblastic layer.

Specimen P8/10: postnatal day 8-10 (more )
Structure Level Pattern Image Note
TS28: retina outer nuclear layer Present Submitted Image - AH29p8.5
TS28: retina layer Weak Regionally restricted Submitted Image - AH29p8.5 Expression was detected in amacrine cells.

Specimen CNS: postnatal day 6 (more )
Structure Level Pattern Image Note
TS28: central nervous system Present Expression was widespread.

Specimen Embryo: embryonic day 16.0 (more )
Structure Level Pattern Image Note
TS24: central nervous system Weak


Contributing Projects:
Mouse Genome Database (MGD), Gene Expression Database (GXD), Mouse Models of Human Cancer database (MMHCdb) (formerly Mouse Tumor Biology (MTB)), Gene Ontology (GO)
Citing These Resources
Funding Information
Warranty Disclaimer, Privacy Notice, Licensing, & Copyright
Send questions and comments to User Support.
last database update
03/24/2026
MGI 6.24
The Jackson Laboratory