About   Help   FAQ
Gene Expression Data
Assay Details
Assay
Reference: J:93300 Blackshaw S, et al., Genomic analysis of mouse retinal development. PLoS Biol. 2004 Oct;2(9):E247
Assay type: RNA in situ
MGI Accession ID: MGI:3585649
Gene symbol: Slc6a9
Gene name: solute carrier family 6 (neurotransmitter transporter, glycine), member 9
Probe: UI-M-AO0-abz-f-06-0-UI.s1
Probe preparation: Antisense labelled with digoxigenin RNA
Visualized with: Alkaline phosphatase
Assay notes: This data is from Supplemental Table 5, Gene column, row: 23104 ESTs, Weakly similar to PRP3_MOUSE PROLINE-RICH PROTEIN MP-3 . After cryosectioning, tissue was fixed for 10' in 4% paraformaldehyde prior to processing.
Results
Specimen E12: embryonic day 12.0 (more )
Structure Level Pattern Image Note
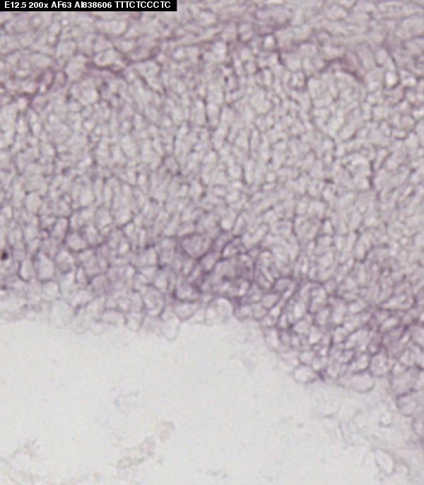
TS20: retina Absent Submitted Image - AF63e12.5

Specimen E14: embryonic day 14.0 (more )
Structure Level Pattern Image Note
TS22: retina Absent

Specimen E16: embryonic day 16.0 (more )
Structure Level Pattern Image Note
TS24: retina nuclear layer Weak Regionally restricted Submitted Image - AF63e16.5 Expression was detected in the outer neuroblastic layer.

Specimen P0/1: postnatal day 0-1 (more )
Structure Level Pattern Image Note
TS27: retina outer nuclear layer Weak Submitted Image - AF63p0.5 Expression was detected in the outer neuroblastic layer.

Specimen P2/3: postnatal day 2-3 (more )
Structure Level Pattern Image Note
TS27: retina outer nuclear layer Weak Submitted Image - AF63p2.5 Expression was detected in the outer neuroblastic layer.

Specimen P4/5: postnatal day 4-5 (more )
Structure Level Pattern Image Note
TS28: retina outer nuclear layer Weak Expression was detected in the outer neuroblastic layer.

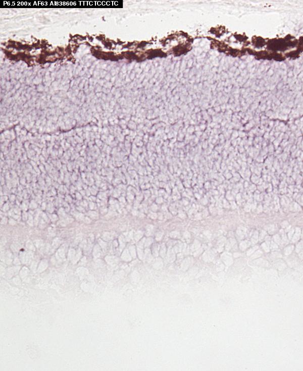
Specimen P6/7: postnatal day 6-7 (more )
Structure Level Pattern Image Note
TS28: retina inner nuclear layer Weak Submitted Image - AF63p6.5
TS28: retina outer nuclear layer Weak Submitted Image - AF63p6.5

Specimen Adult: postnatal adult (more )
Structure Level Pattern Image Note
TS28: retina outer nuclear layer Present Submitted Image - AF63adult

Specimen CNS: postnatal day 6 (more )
Structure Level Pattern Image Note
TS28: brain subventricular zone Present
TS28: central nervous system Present Expression was widespread.

Specimen Embryo: embryonic day 16.0 (more )
Structure Level Pattern Image Note
TS24: embryo Weak Expression was widespread.


Contributing Projects:
Mouse Genome Database (MGD), Gene Expression Database (GXD), Mouse Models of Human Cancer database (MMHCdb) (formerly Mouse Tumor Biology (MTB)), Gene Ontology (GO)
Citing These Resources
Funding Information
Warranty Disclaimer, Privacy Notice, Licensing, & Copyright
Send questions and comments to User Support.
last database update
01/06/2026
MGI 6.24
The Jackson Laboratory