About   Help   FAQ
Gene Expression Data
Assay Details
Assay
Reference: J:93300 Blackshaw S, et al., Genomic analysis of mouse retinal development. PLoS Biol. 2004 Oct;2(9):E247
Assay type: RNA in situ
MGI Accession ID: MGI:3585642
Gene symbol: Cplx2
Gene name: complexin 2
Probe: Cplx2 cDNA1
Probe preparation: Antisense labelled with digoxigenin RNA
Visualized with: Alkaline phosphatase
Assay notes: This data is from Supplemental Table 5, Gene column, row: 268902 complexin 2 . After cryosectioning, tissue was fixed for 10' in 4% paraformaldehyde prior to processing.
Results
Specimen E12: embryonic day 12.0 (more )
Structure Level Pattern Image Note
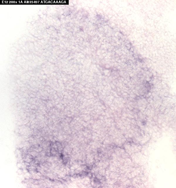
TS20: retina Absent Submitted Image - 1Ae12

Specimen E14: embryonic day 14.0 (more )
Structure Level Pattern Image Note
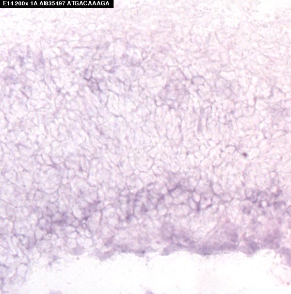
TS22: retina Absent Submitted Image - 1Ae14

Specimen E16: embryonic day 16.0 (more )
Structure Level Pattern Image Note
TS24: retina nuclear layer Present Regionally restricted Submitted Image - 1Ae16 Expression was detected in the inner neuroblastic layer and a subset of cells in the scleral outer neuroblastic layer. The expression level was higher in the inner neuroblastic layer.

Specimen E18: embryonic day 18.0 (more )
Structure Level Pattern Image Note
TS26: retina inner nuclear layer Present Submitted Image - 1Ae18 Expression was detected in the inner neuroblastic layer.
TS26: retina outer nuclear layer Present Regionally restricted Submitted Image - 1Ae18 Expression was detected in the scleral outer neuroblastic layer.

Specimen P0/1: postnatal day 0-1 (more )
Structure Level Pattern Image Note
TS27: retina inner nuclear layer Present Submitted Image - 1Ap0 Expression was detected in the inner neuroblastic layer.
TS27: retina outer nuclear layer Present Regionally restricted Submitted Image - 1Ap0 Expression was detected in the scleral outer neuroblastic layer.

Specimen P2/3: postnatal day 2-3 (more )
Structure Level Pattern Image Note
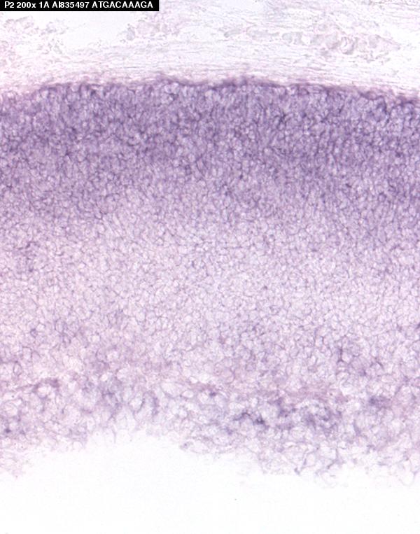
TS27: retina outer nuclear layer Present Regionally restricted Submitted Image - 1Ap2 Expression was detected in the scleral outer neuroblastic layer.
TS27: retina inner nuclear layer Weak Regionally restricted Submitted Image - 1Ap2 Expression was detected in a subset of cells in the inner neuroblastic layer.

Specimen P4/5: postnatal day 4-5 (more )
Structure Level Pattern Image Note
TS28: retina outer nuclear layer Present Regionally restricted Submitted Image - 1Ap4 Expression was detected in the scleral outer neuroblastic layer.
TS28: retina inner nuclear layer Weak Regionally restricted Submitted Image - 1Ap4 Expression was detected in a subset of cells in the inner neuroblastic layer.

Specimen P6/7: postnatal day 6-7 (more )
Structure Level Pattern Image Note
TS28: retina outer nuclear layer Present Submitted Image - 1Ap6
TS28: retina layer Present Regionally restricted Submitted Image - 1Ap6 Expression was detected in a subset of amacrine cells.
TS28: retina ganglion cell layer Present Regionally restricted Submitted Image - 1Ap6 Expression was detected in a subset of ganglion cells.

Specimen P8/10: postnatal day 8-10 (more )
Structure Level Pattern Image Note
TS28: retina outer nuclear layer Present Submitted Image - 1Ap8
TS28: retina layer Present Regionally restricted Submitted Image - 1Ap8 Expression was detected in a subset of amacrine cells.
TS28: retina ganglion cell layer Present Regionally restricted Submitted Image - 1Ap8 Expression was detected in a subset of ganglion cells.

Specimen Adult: postnatal adult (more )
Structure Level Pattern Image Note
TS28: retina layer Present Regionally restricted Submitted Image - 1Aad Expression was detected in a subset of amacrine cells.
TS28: retina ganglion cell layer Present Regionally restricted Submitted Image - 1Aad Expression was detected in a subset of ganglion cells.

Specimen CNS: postnatal day 6 (more )
Structure Level Pattern Image Note
TS28: cerebral cortex Present
TS28: hippocampus Present
TS28: cerebellum Present

Specimen Embryo: embryonic day 16.0 (more )
Structure Level Pattern Image Note
TS24: nervous system Present
TS24: skeletal muscle Present


Contributing Projects:
Mouse Genome Database (MGD), Gene Expression Database (GXD), Mouse Models of Human Cancer database (MMHCdb) (formerly Mouse Tumor Biology (MTB)), Gene Ontology (GO)
Citing These Resources
Funding Information
Warranty Disclaimer, Privacy Notice, Licensing, & Copyright
Send questions and comments to User Support.
last database update
01/28/2026
MGI 6.24
The Jackson Laboratory