About   Help   FAQ
Gene Expression Data
Assay Details
Assay
Reference: J:93300 Blackshaw S, et al., Genomic analysis of mouse retinal development. PLoS Biol. 2004 Oct;2(9):E247
Assay type: RNA in situ
MGI Accession ID: MGI:3585627
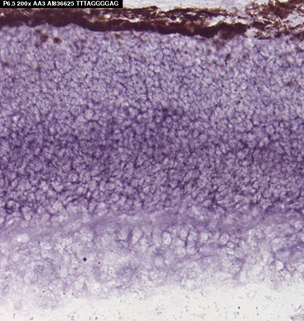
Gene symbol: Thrap3
Gene name: thyroid hormone receptor associated protein 3
Probe: UI-M-AP0-abh-a-12-0-UI.s1
Probe preparation: Antisense labelled with digoxigenin RNA
Visualized with: Alkaline phosphatase
Assay notes: This data is from Supplemental Table 5, Gene column, row: 22440 Thrap3 thyroid hormone receptor associated protein 3. After cryosectioning, tissue was fixed for 10' in 4% paraformaldehyde prior to processing.
Results
Specimen P6/7: postnatal day 6-7 (more )
Structure Level Pattern Image Note
TS28: retina outer nuclear layer Present Submitted Image - AA3p7.5 , Submitted Image - AA3p6.5
TS28: retina inner nuclear layer Present Submitted Image - AA3p7.5 , Submitted Image - AA3p6.5

Specimen P8/10: postnatal day 8-10 (more )
Structure Level Pattern Image Note
TS28: retina outer nuclear layer Present Submitted Image - AA3p10.5
TS28: retina inner nuclear layer Present Submitted Image - AA3p10.5

Specimen Adult: postnatal adult (more )
Structure Level Pattern Image Note
TS28: retina outer nuclear layer Present Submitted Image - AA3adult
TS28: retina inner nuclear layer Present Submitted Image - AA3adult

Specimen CNS: postnatal day 6 (more )
Structure Level Pattern Image Note
TS28: cerebellum Present
TS28: hippocampus Present
TS28: cerebral cortex Present


Contributing Projects:
Mouse Genome Database (MGD), Gene Expression Database (GXD), Mouse Models of Human Cancer database (MMHCdb) (formerly Mouse Tumor Biology (MTB)), Gene Ontology (GO)
Citing These Resources
Funding Information
Warranty Disclaimer, Privacy Notice, Licensing, & Copyright
Send questions and comments to User Support.
last database update
01/28/2026
MGI 6.24
The Jackson Laboratory