About   Help   FAQ
Gene Expression Data
Assay Details
Assay
Reference: J:93300 Blackshaw S, et al., Genomic analysis of mouse retinal development. PLoS Biol. 2004 Oct;2(9):E247
Assay type: RNA in situ
MGI Accession ID: MGI:3585593
Gene symbol: Abcf2
Gene name: ATP-binding cassette, sub-family F member 2
Probe: UI-M-AK0-adf-b-11-0-UI.s1
Probe preparation: Antisense labelled with digoxigenin RNA
Visualized with: Alkaline phosphatase
Assay notes: This data is from Supplemental Table 5, Gene column, row: 21629 ATP-binding cassette, sub-family F (GCN20), member 2 . After cryosectioning, tissue was fixed for 10' in 4% paraformaldehyde prior to processing.
Results
Specimen E12: embryonic day 12.0 (more )
Structure Level Pattern Image Note
TS20: neural retinal epithelium Present Regionally restricted Expression was detected in the outer neuroblastic layer.

Specimen E14: embryonic day 14.0 (more )
Structure Level Pattern Image Note
TS22: neural retinal epithelium Present Regionally restricted Expression was detected in the outer neuroblastic layer.

Specimen E16: embryonic day 16.0 (more )
Structure Level Pattern Image Note
TS24: retina nuclear layer Present Regionally restricted Submitted Image - S36e16.5 Expression was detected in a subset of cells in the outer neuroblastic layer.

Specimen E18: embryonic day 18.0 (more )
Structure Level Pattern Image Note
TS26: retina outer nuclear layer Weak Submitted Image - S36e18.5 Expression was detected in the outer neuroblastic layer.

Specimen P0/1: postnatal day 0-1 (more )
Structure Level Pattern Image Note
TS27: retina outer nuclear layer Weak Regionally restricted Submitted Image - S36p1.5 Expression was detected in the vitreal outer neuroblastic layer.

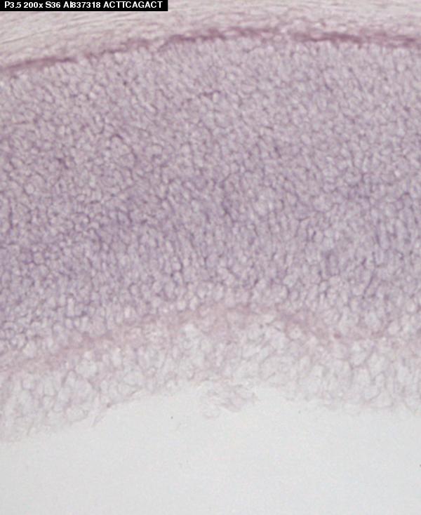
Specimen P2/3: postnatal day 2-3 (more )
Structure Level Pattern Image Note
TS27: retina outer nuclear layer Weak Regionally restricted Submitted Image - S36p3.5 Expression was detected in the vitreal outer neuroblastic layer.

Specimen P6/7: postnatal day 6-7 (more )
Structure Level Pattern Image Note
TS28: retina outer nuclear layer Weak Submitted Image - S36p6.5
TS28: retina inner nuclear layer Weak Submitted Image - S36p6.5
TS28: retina Present Regionally restricted Submitted Image - S36p6.5 Expression was detected in the Muller glia.

Specimen P8/10: postnatal day 8-10 (more )
Structure Level Pattern Image Note
TS28: retina outer nuclear layer Weak Submitted Image - S36p8.5
TS28: retina inner nuclear layer Weak Submitted Image - S36p8.5
TS28: retina Present Regionally restricted Submitted Image - S36p8.5 Expression was detected in the Muller glia.

Specimen Adult: postnatal adult (more )
Structure Level Pattern Image Note
TS28: retina Present Regionally restricted Submitted Image - S36adult Expression was detected in the Muller glia.

Specimen CNS: postnatal day 6 (more )
Structure Level Pattern Image Note
TS28: hippocampus Present
TS28: brain subventricular zone Present

Specimen Embryo: embryonic day 16.0 (more )
Structure Level Pattern Image Note
TS24: central nervous system Present
TS24: thymus Present
TS24: intestine Present Regionally restricted Expression was detected in crypts.


Contributing Projects:
Mouse Genome Database (MGD), Gene Expression Database (GXD), Mouse Models of Human Cancer database (MMHCdb) (formerly Mouse Tumor Biology (MTB)), Gene Ontology (GO)
Citing These Resources
Funding Information
Warranty Disclaimer, Privacy Notice, Licensing, & Copyright
Send questions and comments to User Support.
last database update
12/30/2025
MGI 6.24
The Jackson Laboratory