About   Help   FAQ
Gene Expression Data
Assay Details
Assay
Reference: J:93300 Blackshaw S, et al., Genomic analysis of mouse retinal development. PLoS Biol. 2004 Oct;2(9):E247
Assay type: RNA in situ
MGI Accession ID: MGI:3585575
Gene symbol: Ttr
Gene name: transthyretin
Probe: UI-M-AM1-afu-c-06-0-UI.s1
Probe preparation: Antisense labelled with digoxigenin RNA
Visualized with: Alkaline phosphatase
Assay notes: This data is from Supplemental Table 5, Gene column, row: 2108 Transthyretin. After cryosectioning, tissue was fixed for 10' in 4% paraformaldehyde prior to processing.
Results
Specimen E16: embryonic day 16.0 (more )
Structure Level Pattern Image Note
TS24: pigmented retinal epithelium Present

Specimen E18: embryonic day 18.0 (more )
Structure Level Pattern Image Note
TS26: pigmented retinal epithelium Present Submitted Image - AP27e18.5

Specimen P0/1: postnatal day 0-1 (more )
Structure Level Pattern Image Note
TS27: pigmented retinal epithelium Present Submitted Image - AP27p0.5

Specimen P2/3: postnatal day 2-3 (more )
Structure Level Pattern Image Note
TS27: pigmented retinal epithelium Present

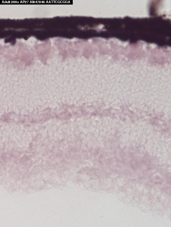
Specimen Adult: postnatal adult (more )
Structure Level Pattern Image Note
TS28: pigmented retinal epithelium Present Submitted Image - AP27adult

Specimen CNS: postnatal day 6 (more )
Structure Level Pattern Image Note
TS28: cerebral cortex Strong Regionally restricted Expression was detected in the cortical plate.

Specimen Embryo: embryonic day 16.0 (more )
Structure Level Pattern Image Note
TS24: liver Present
TS24: pigmented retinal epithelium Present


Contributing Projects:
Mouse Genome Database (MGD), Gene Expression Database (GXD), Mouse Models of Human Cancer database (MMHCdb) (formerly Mouse Tumor Biology (MTB)), Gene Ontology (GO)
Citing These Resources
Funding Information
Warranty Disclaimer, Privacy Notice, Licensing, & Copyright
Send questions and comments to User Support.
last database update
03/24/2026
MGI 6.24
The Jackson Laboratory