About   Help   FAQ
Gene Expression Data
Assay Details
Assay
Reference: J:93300 Blackshaw S, et al., Genomic analysis of mouse retinal development. PLoS Biol. 2004 Oct;2(9):E247
Assay type: RNA in situ
MGI Accession ID: MGI:3585514
Gene symbol: Nat8l
Gene name: N-acetyltransferase 8-like
Probe: UI-M-AP0-abn-g-01-0-UI.s1
Probe preparation: Antisense labelled with digoxigenin RNA
Visualized with: Alkaline phosphatase
Assay notes: This data is from Supplemental Table 5, Gene column, row: 196727 ESTs . After cryosectioning, tissue was fixed for 10' in 4% paraformaldehyde prior to processing.
Results
Specimen E14: embryonic day 14.0 (more )
Structure Level Pattern Image Note
TS22: retina Present Uniform Submitted Image - 10aE14 Expression was panretinal.

Specimen E16: embryonic day 16.0 (more )
Structure Level Pattern Image Note
TS24: retina Present Uniform Expression was panretinal.

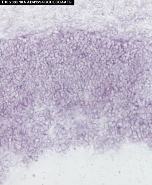
Specimen E18: embryonic day 18.0 (more )
Structure Level Pattern Image Note
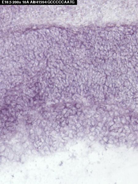
TS26: retina Present Uniform Submitted Image - 10aE18.5 , Submitted Image - 10aE18 Expression was panretinal.

Specimen P0/1: postnatal day 0-1 (more )
Structure Level Pattern Image Note
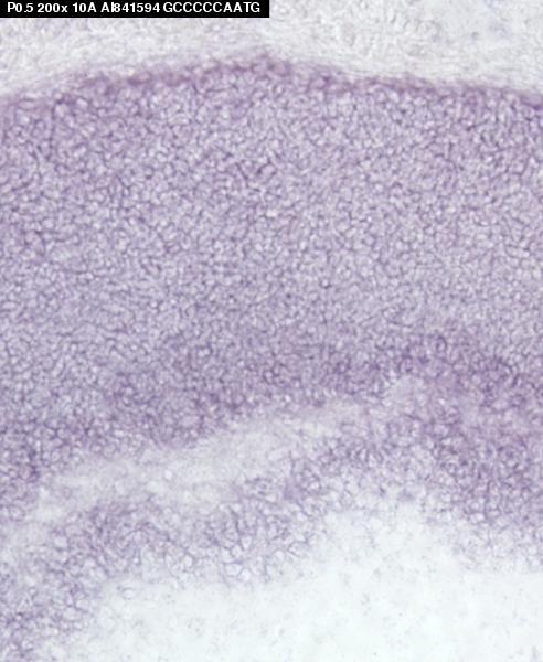
TS27: retina Present Uniform Submitted Image - 10aP0.5 , Submitted Image - 10aP1.5 Expression was panretinal.

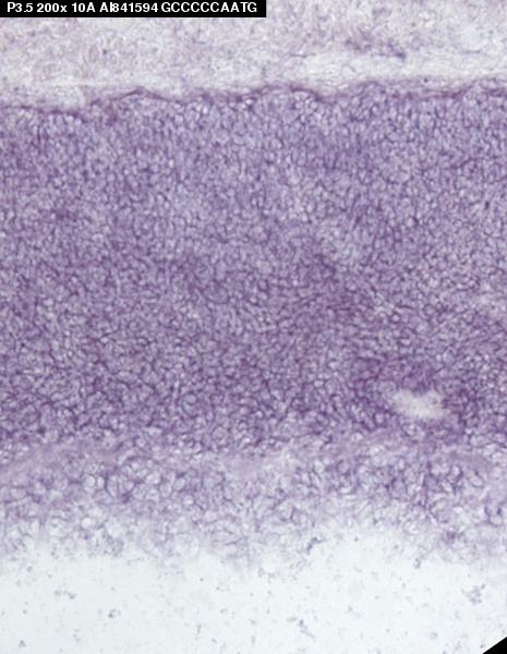
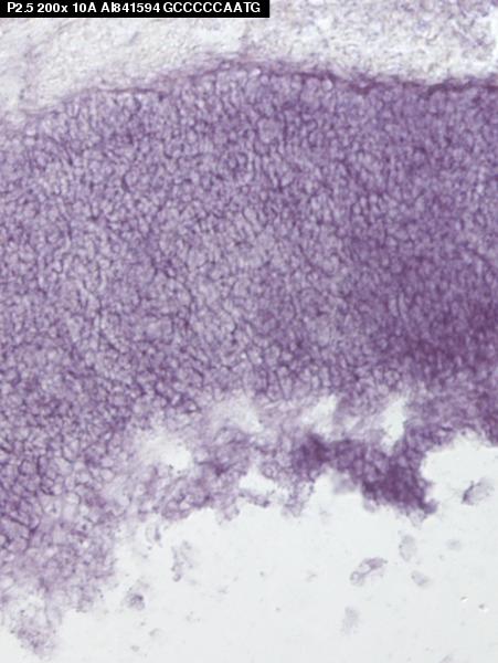
Specimen P2/3: postnatal day 2-3 (more )
Structure Level Pattern Image Note
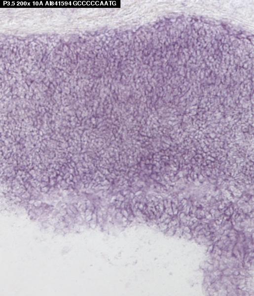
TS27: retina Present Uniform Submitted Image - 10aP3.5B , Submitted Image - 10aP2.5B , Submitted Image - 10aP3.5 , Submitted Image - 10aP2.5 Expression was panretinal.

Specimen P4/5: postnatal day 4-5 (more )
Structure Level Pattern Image Note
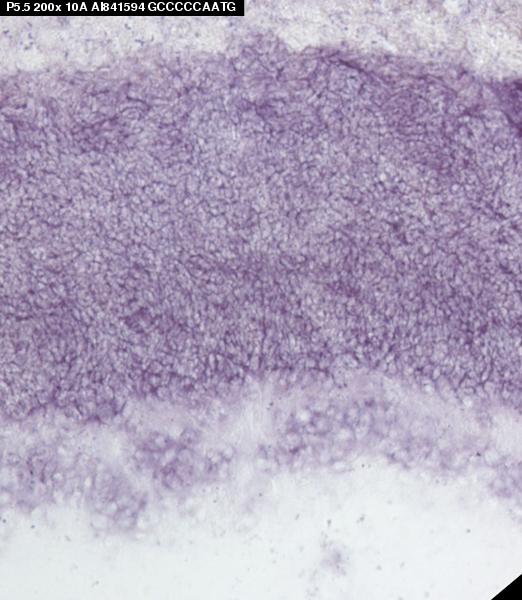
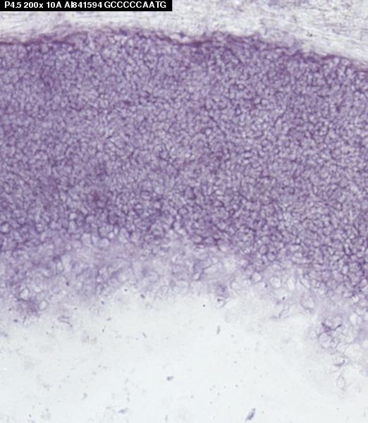
TS28: retina outer nuclear layer Present Regionally restricted Submitted Image - 10aP4.5 , Submitted Image - 10aP5.5 Expression was detected in the vitreal outer neuroblastic layer.

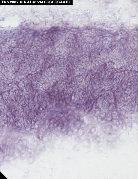
Specimen P6/7: postnatal day 6-7 (more )
Structure Level Pattern Image Note
TS28: retina inner nuclear layer Present Submitted Image - 10aP6.5 , Submitted Image - 10aP7.5

Specimen P8/10: postnatal day 8-10 (more )
Structure Level Pattern Image Note
TS28: retina inner nuclear layer Present Submitted Image - 10aP8.5 , Submitted Image - 10aP10.5 , Submitted Image - 10aP9.5

Specimen Adult: postnatal adult (more )
Structure Level Pattern Image Note
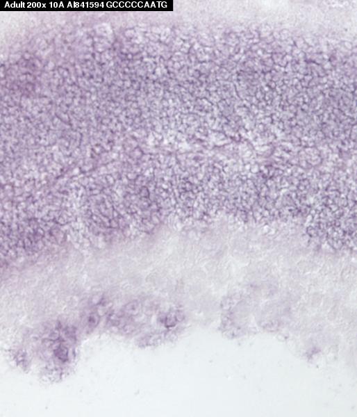
TS28: retina Present Uniform Submitted Image - 10aAdult , Submitted Image - 10aAdultB Expression was panretinal.

Specimen CNS: postnatal day 6 (more )
Structure Level Pattern Image Note
TS28: central nervous system Present Expression was widespread.

Specimen Embryo: embryonic day 16.0 (more )
Structure Level Pattern Image Note
TS24: embryo Present Expression was widespread.


Contributing Projects:
Mouse Genome Database (MGD), Gene Expression Database (GXD), Mouse Models of Human Cancer database (MMHCdb) (formerly Mouse Tumor Biology (MTB)), Gene Ontology (GO)
Citing These Resources
Funding Information
Warranty Disclaimer, Privacy Notice, Licensing, & Copyright
Send questions and comments to User Support.
last database update
03/24/2026
MGI 6.24
The Jackson Laboratory