About   Help   FAQ
Gene Expression Data
Assay Details
Assay
Reference: J:93300 Blackshaw S, et al., Genomic analysis of mouse retinal development. PLoS Biol. 2004 Oct;2(9):E247
Assay type: RNA in situ
MGI Accession ID: MGI:3585488
Gene symbol: Sox4
Gene name: SRY (sex determining region Y)-box 4
Probe: UI-M-BH2.1-apr-f-10-0-UI.s1
Probe preparation: Antisense labelled with digoxigenin RNA
Visualized with: Alkaline phosphatase
Assay notes: This data is from Supplemental Table 5, Gene column, row: 18789 SRY-box containing gene 4. After cryosectioning, tissue was fixed for 10' in 4% paraformaldehyde prior to processing.
Results
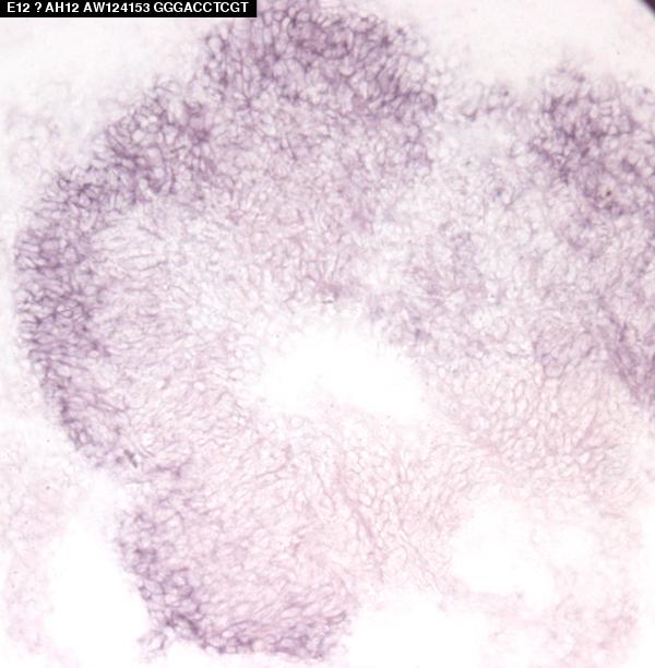
Specimen E12: embryonic day 12.0 (more )
Structure Level Pattern Image Note
TS20: neural retinal epithelium Weak Regionally restricted Submitted Image - Sox4e12 Expression was detected in the inner neuroblastic layer.

Specimen E14: embryonic day 14.0 (more )
Structure Level Pattern Image Note
TS22: neural retinal epithelium Present Regionally restricted 2(Continued)B Sox4 E14 , Submitted Image - Sox4e14 Expression was detected in the inner neuroblastic layer and in a small subset of cells in the outer neuroblastic layer.

Specimen E16: embryonic day 16.0 (more )
Structure Level Pattern Image Note
TS24: retina nuclear layer Present Regionally restricted Submitted Image - Sox4e16 , 2(Continued)B Sox4 E16 Expression was detected in the scleral inner neuroblastic layer and a subset of cells in the outer neuroblastic layer.

Specimen E18: embryonic day 18.0 (more )
Structure Level Pattern Image Note
TS26: retina inner nuclear layer Present Regionally restricted Submitted Image - Sox4e18 , 2(Continued)B Sox4 E18 Expression was detected in the scleral inner neuroblastic layer.
TS26: retina outer nuclear layer Present Regionally restricted Submitted Image - Sox4e18 , 2(Continued)B Sox4 E18 Expression was detected in a subset of cells in the outer neuroblastic layer.

Specimen P0/1: postnatal day 0-1 (more )
Structure Level Pattern Image Note
TS27: retina inner nuclear layer Present Regionally restricted 2(Continued)B Sox4 P0 , Submitted Image - Sox4p0 Expression was detected in the scleral inner neuroblastic layer.
TS27: retina outer nuclear layer Present Regionally restricted Submitted Image - Sox4p0 , 2(Continued)B Sox4 P0 Expression was detected in a subset of cells in the outer neuroblastic layer.

Specimen P2/3: postnatal day 2-3 (more )
Structure Level Pattern Image Note
TS27: retina inner nuclear layer Present Regionally restricted 2(Continued)B Sox4 P2 , Submitted Image - Sox4p2 Expression was detected in the scleral inner neuroblastic layer.
TS27: retina outer nuclear layer Present Regionally restricted 2(Continued)B Sox4 P2 , Submitted Image - Sox4p2 Expression was detected in the scleral outer neuroblastic layer.

Specimen P4/5: postnatal day 4-5 (more )
Structure Level Pattern Image Note
TS28: retina outer nuclear layer Present Regionally restricted Submitted Image - Sox4p4 , 2(Continued)B Sox4 P4 Expression was detected in the vitreal outer neuroblastic layer.

Specimen P6/7: postnatal day 6-7 (more )
Structure Level Pattern Image Note
TS28: retina inner nuclear layer Present 2(Continued)B Sox4 P6 , Submitted Image - Sox4p6

Specimen P8/10: postnatal day 8-10 (more )
Structure Level Pattern Image Note
TS28: retina inner nuclear layer Present Regionally restricted Submitted Image - Sox4p8 Expression was detected in a subset of cells in the inner nuclear layer.

Specimen Adult: postnatal adult (more )
Structure Level Pattern Image Note
TS28: retina Absent 2(Continued)B Sox4 Adult , Submitted Image - ah12ad

Specimen CNS: postnatal day 6 (more )
Structure Level Pattern Image Note
TS28: brain subventricular zone Present
TS28: hippocampus Present Regionally restricted Expression was detected in a subset of the hippocampus.

Specimen Embryo: embryonic day 16.0 (more )
Structure Level Pattern Image Note
TS24: central nervous system Present


Contributing Projects:
Mouse Genome Database (MGD), Gene Expression Database (GXD), Mouse Models of Human Cancer database (MMHCdb) (formerly Mouse Tumor Biology (MTB)), Gene Ontology (GO)
Citing These Resources
Funding Information
Warranty Disclaimer, Privacy Notice, Licensing, & Copyright
Send questions and comments to User Support.
last database update
12/30/2025
MGI 6.24
The Jackson Laboratory