About   Help   FAQ
Gene Expression Data
Assay Details
Assay
Reference: J:93300 Blackshaw S, et al., Genomic analysis of mouse retinal development. PLoS Biol. 2004 Oct;2(9):E247
Assay type: RNA in situ
MGI Accession ID: MGI:3585472
Gene symbol: Egr1
Gene name: early growth response 1
Probe: UI-M-AJ1-ahd-e-12-0-UI.s1
Probe preparation: Antisense labelled with digoxigenin RNA
Visualized with: Alkaline phosphatase
Assay notes: This data is from Supplemental Table 5, Gene column, row: 181959 Early growth response 1 (was nemo-like kinase). After cryosectioning, tissue was fixed for 10' in 4% paraformaldehyde prior to processing.
Results
Specimen P0/1: postnatal day 0-1 (more )
Structure Level Pattern Image Note
TS27: retina outer nuclear layer Weak Submitted Image - 26Cp0.5 Expression was detected in the outer neuroblastic layer.

Specimen P2/3: postnatal day 2-3 (more )
Structure Level Pattern Image Note
TS27: retina outer nuclear layer Present Submitted Image - 26Cp2.5 Expression was detected in the outer neuroblastic layer.

Specimen P4/5: postnatal day 4-5 (more )
Structure Level Pattern Image Note
TS28: retina outer nuclear layer Present Regionally restricted Submitted Image - 26Cp4.5 Expression was weak in the outer neuroblastic layer but was higher in the scleral outer neuroblastic layer.

Specimen P6/7: postnatal day 6-7 (more )
Structure Level Pattern Image Note
TS28: retina inner nuclear layer Present Submitted Image - 26Cp6.5 , Submitted Image - 26Cp7.5 Expression was weak in the inner nuclear layer but was higher in a subset of cells.
TS28: retina outer nuclear layer Present Submitted Image - 26Cp6.5 , Submitted Image - 26Cp7.5 Expression was weak in the outer nuclear layer but was higher in a subset of cells.

Specimen P8/10: postnatal day 8-10 (more )
Structure Level Pattern Image Note
TS28: retina inner nuclear layer Present Submitted Image - 26Cp8.5 Expression was weak in the inner nuclear layer but was higher in a few cells.
TS28: retina outer nuclear layer Present Submitted Image - 26Cp8.5 Expression was weak in the outer nuclear layer but was higher in a subset of cells.

Specimen Adult: postnatal adult (more )
Structure Level Pattern Image Note
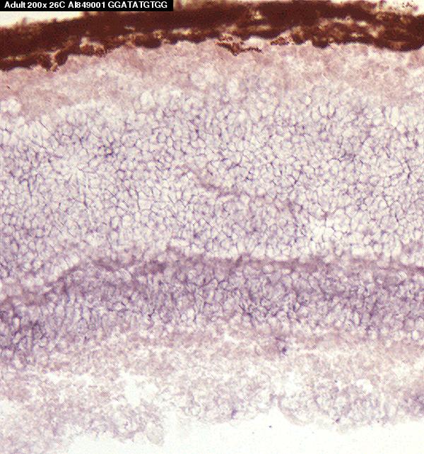
TS28: retina outer nuclear layer Present Submitted Image - 26Cadult
TS28: retina inner nuclear layer Present Submitted Image - 26Cadult

Specimen CNS: postnatal day 6 (more )
Structure Level Pattern Image Note
TS28: cerebral cortex Present
TS28: hippocampus Present
TS28: cerebellum Present

Specimen Embryo: embryonic day 16.0 (more )
Structure Level Pattern Image Note
TS24: skeletal muscle Present


Contributing Projects:
Mouse Genome Database (MGD), Gene Expression Database (GXD), Mouse Models of Human Cancer database (MMHCdb) (formerly Mouse Tumor Biology (MTB)), Gene Ontology (GO)
Citing These Resources
Funding Information
Warranty Disclaimer, Privacy Notice, Licensing, & Copyright
Send questions and comments to User Support.
last database update
01/06/2026
MGI 6.24
The Jackson Laboratory