About   Help   FAQ
Gene Expression Data
Assay Details
Assay
Reference: J:93300 Blackshaw S, et al., Genomic analysis of mouse retinal development. PLoS Biol. 2004 Oct;2(9):E247
Assay type: RNA in situ
MGI Accession ID: MGI:3585448
Gene symbol: Mycn
Gene name: Mycn proto-oncogene, bHLH transcription factor
Probe: IMAGE clone 438133
Probe preparation: Antisense labelled with digoxigenin RNA
Visualized with: Alkaline phosphatase
Assay notes: This data is from Supplemental Table 5, Gene column, row: 16469 neuroblastoma myc-related oncogene 1 . After cryosectioning, tissue was fixed for 10' in 4% paraformaldehyde prior to processing.
Results
Specimen E14: embryonic day 14.0 (more )
Structure Level Pattern Image Note
TS22: neural retinal epithelium Present Regionally restricted Expression was detected in the inner neuroblastic layer and was weak in the outer neuroblastic layer.

Specimen E16: embryonic day 16.0 (more )
Structure Level Pattern Image Note
TS24: retina nuclear layer Present Regionally restricted Submitted Image - n-mycE16.5 Expression was detected in the inner neuroblastic layer and was weak in the outer neuroblastic layer.

Specimen E18: embryonic day 18.0 (more )
Structure Level Pattern Image Note
TS26: retina inner nuclear layer Present Submitted Image - n-mycE18.5 Expression was detected in the inner neuroblastic layer.
TS26: retina outer nuclear layer Present Submitted Image - n-mycE18.5 Expression was detected in the outer neuroblastic layer.

Specimen P0/1: postnatal day 0-1 (more )
Structure Level Pattern Image Note
TS27: retina outer nuclear layer Present Submitted Image - n-mycP0.5 , Submitted Image - n-noxP1.5 Expression was detected in the outer neuroblastic layer but was higher in scattered cells in the vitreal outer neuroblastic layer.

Specimen P2/3: postnatal day 2-3 (more )
Structure Level Pattern Image Note
TS27: retina outer nuclear layer Present Submitted Image - n-mycP2.5 , Submitted Image - n-mycP3.5 Expression was detected in the outer neuroblastic layer but was higher in scattered cells in the vitreal outer neuroblastic layer.

Specimen P4/5: postnatal day 4-5 (more )
Structure Level Pattern Image Note
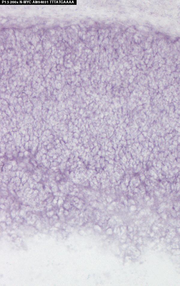
TS28: retina outer nuclear layer Present Regionally restricted Submitted Image - n-mycP5.5 , Submitted Image - n-mycP4.5 Expression was detected in the vitreal outer neuroblastic layer.

Specimen P6/7: postnatal day 6-7 (more )
Structure Level Pattern Image Note
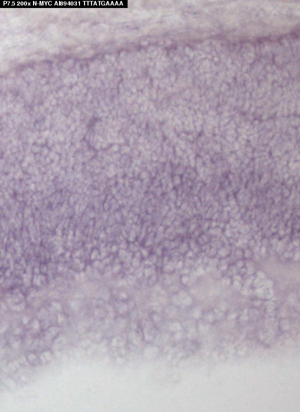
TS28: retina inner nuclear layer Present Submitted Image - n-mycP6.5 , Submitted Image - n-mycP7.5
TS28: retina Present Regionally restricted Submitted Image - n-mycP7.5 , Submitted Image - n-mycP6.5 Expression was detected in the Muller glia.

Specimen P8/10: postnatal day 8-10 (more )
Structure Level Pattern Image Note
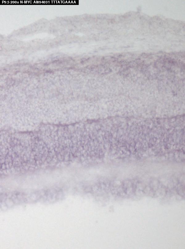
TS28: retina inner nuclear layer Present Submitted Image - n-mycP10.5 , Submitted Image - n-mycP9.5 , Submitted Image - n-mycP8.5
TS28: retina Present Regionally restricted Submitted Image - n-mycP10.5 , Submitted Image - n-mycP9.5 , Submitted Image - n-mycP8.5 Expression was detected in the Muller glia.

Specimen Adult: postnatal adult (more )
Structure Level Pattern Image Note
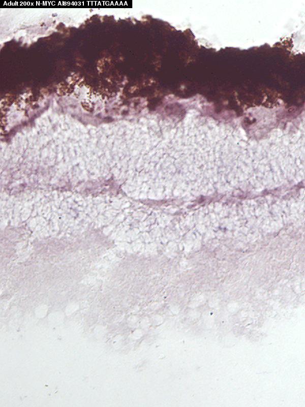
TS28: retina Present Regionally restricted Submitted Image - n-mycAdult Expression was detected in the Muller glia.

Specimen CNS: postnatal day 6 (more )
Structure Level Pattern Image Note
TS28: cerebellum external granule cell layer Present
TS28: dentate gyrus Present
TS28: brain subventricular zone Present Expression was detected in SVZ-derived cells.

Specimen Embryo: embryonic day 16.0 (more )
Structure Level Pattern Image Note
TS24: renal cortex Present Regionally restricted Expression was detected in kidney cortex.
TS24: intestine Present Regionally restricted Expression was detected in a subset of the intestine.
TS24: central nervous system Present Regionally restricted Expression was detected in the CNS and in CNS mitotic progenitors.


Contributing Projects:
Mouse Genome Database (MGD), Gene Expression Database (GXD), Mouse Models of Human Cancer database (MMHCdb) (formerly Mouse Tumor Biology (MTB)), Gene Ontology (GO)
Citing These Resources
Funding Information
Warranty Disclaimer, Privacy Notice, Licensing, & Copyright
Send questions and comments to User Support.
last database update
01/28/2026
MGI 6.24
The Jackson Laboratory