About   Help   FAQ
Gene Expression Data
Assay Details
Assay
Reference: J:93300 Blackshaw S, et al., Genomic analysis of mouse retinal development. PLoS Biol. 2004 Oct;2(9):E247
Assay type: RNA in situ
MGI Accession ID: MGI:3585444
Gene symbol: Fgfr2
Gene name: fibroblast growth factor receptor 2
Probe: UI-M-AK0-adl-c-06-0-UI.s1
Probe preparation: Antisense labelled with digoxigenin RNA
Visualized with: Alkaline phosphatase
Assay notes: This data is from Supplemental Table 5, Gene column, row: 16340 FGFR2. After cryosectioning, tissue was fixed for 10' in 4% paraformaldehyde prior to processing.
Results
Specimen E12: embryonic day 12.0 (more )
Structure Level Pattern Image Note
TS20: neural retinal epithelium Weak Regionally restricted Expression was detected in the outer neuroblastic layer.

Specimen E14: embryonic day 14.0 (more )
Structure Level Pattern Image Note
TS22: neural retinal epithelium Weak Regionally restricted Submitted Image - AI5E14 Expression was detected in the outer neuroblastic layer.

Specimen E16: embryonic day 16.0 (more )
Structure Level Pattern Image Note
TS24: retina nuclear layer Weak Regionally restricted Submitted Image - AI5E16 Expression was detected in the outer neuroblastic layer.

Specimen E18: embryonic day 18.0 (more )
Structure Level Pattern Image Note
TS26: retina outer nuclear layer Present Submitted Image - AI5E18 Expression was detected in the outer neuroblastic layer.

Specimen P0/1: postnatal day 0-1 (more )
Structure Level Pattern Image Note
TS27: retina outer nuclear layer Present Regionally restricted Submitted Image - AI5P0 Expression was detected in the vitreal outer neuroblastic layer.

Specimen P2/3: postnatal day 2-3 (more )
Structure Level Pattern Image Note
TS27: retina outer nuclear layer Present Regionally restricted Submitted Image - AI5P2 Expression was detected in the vitreal outer neuroblastic layer.

Specimen P4/5: postnatal day 4-5 (more )
Structure Level Pattern Image Note
TS28: retina outer nuclear layer Present Regionally restricted Submitted Image - AI5P4 Expression was detected in the vitreal outer neuroblastic layer.

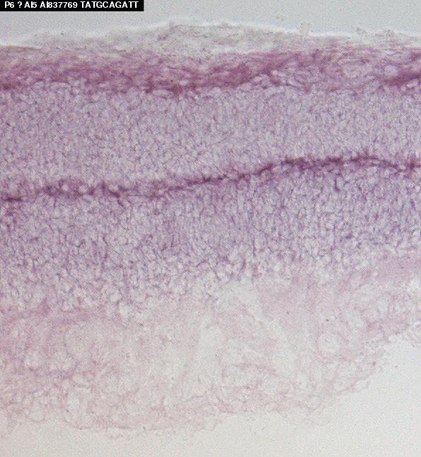
Specimen P6/7: postnatal day 6-7 (more )
Structure Level Pattern Image Note
TS28: retina outer nuclear layer Present Submitted Image - AI5P6
TS28: retina inner nuclear layer Present Submitted Image - AI5P6

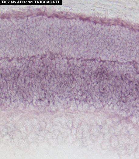
Specimen P8/10: postnatal day 8-10 (more )
Structure Level Pattern Image Note
TS28: retina inner nuclear layer Present Submitted Image - AI5P8

Specimen Adult: postnatal adult (more )
Structure Level Pattern Image Note
TS28: retina Absent Submitted Image - AI5AD

Specimen CNS: postnatal day 6 (more )
Structure Level Pattern Image Note
TS28: central nervous system Absent

Specimen Embryo: embryonic day 16.0 (more )
Structure Level Pattern Image Note
TS24: embryo Absent


Contributing Projects:
Mouse Genome Database (MGD), Gene Expression Database (GXD), Mouse Models of Human Cancer database (MMHCdb) (formerly Mouse Tumor Biology (MTB)), Gene Ontology (GO)
Citing These Resources
Funding Information
Warranty Disclaimer, Privacy Notice, Licensing, & Copyright
Send questions and comments to User Support.
last database update
12/30/2025
MGI 6.24
The Jackson Laboratory