About   Help   FAQ
Gene Expression Data
Assay Details
Assay
Reference: J:93300 Blackshaw S, et al., Genomic analysis of mouse retinal development. PLoS Biol. 2004 Oct;2(9):E247
Assay type: RNA in situ
MGI Accession ID: MGI:3585427
Gene symbol: Meg3
Gene name: maternally expressed 3
Probe: UI-M-AI1-afq-d-01-0-UI.s1
Probe preparation: Antisense labelled with digoxigenin RNA
Visualized with: Alkaline phosphatase
Assay notes: This data is from Supplemental Table 5, Gene column, row: 200506 Gtl2 GTL2, imprinted maternally expressed untranslated mRNA. After cryosectioning, tissue was fixed for 10' in 4% paraformaldehyde prior to processing.
Results
Specimen E12: embryonic day 12.0 (more )
Structure Level Pattern Image Note
TS20: retina Absent

Specimen E14: embryonic day 14.0 (more )
Structure Level Pattern Image Note
TS22: neural retinal epithelium Present Regionally restricted Expression was detected in the inner neuroblastic layer and was weak in a subset of cells in the outer neuroblastic layer.

Specimen E16: embryonic day 16.0 (more )
Structure Level Pattern Image Note
TS24: retina nuclear layer Present Regionally restricted Submitted Image - AH3e16.5B , Submitted Image - AH3e16.5 Expression was detected in the scleral inner neuroblastic layer and a subset of cells in the scleral outer neuroblastic layer. The expression level was higher in the scleral inner neuroblastic layer.

Specimen E18: embryonic day 18.0 (more )
Structure Level Pattern Image Note
TS26: retina inner nuclear layer Present Regionally restricted Submitted Image - AH3e18.5 Expression was detected in the scleral inner neuroblastic layer.
TS26: retina outer nuclear layer Present Regionally restricted Submitted Image - AH3e18.5 Expression was detected in the scleral outer neuroblastic layer.

Specimen P0/1: postnatal day 0-1 (more )
Structure Level Pattern Image Note
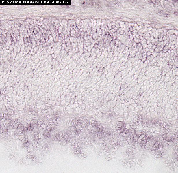
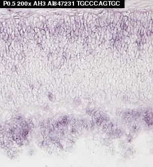
TS27: retina inner nuclear layer Present Regionally restricted Submitted Image - AH3p0.5 , Submitted Image - AH3p1.5 Expression was detected in the scleral inner neuroblastic layer and the vitreal inner neuroblastic layer. The expression level was higher in the scleral inner neuroblastic layer.
TS27: retina outer nuclear layer Present Regionally restricted Submitted Image - AH3p1.5 , Submitted Image - AH3p0.5 Expression was detected in a subset of cells in the outer neuroblastic layer.

Specimen P2/3: postnatal day 2-3 (more )
Structure Level Pattern Image Note
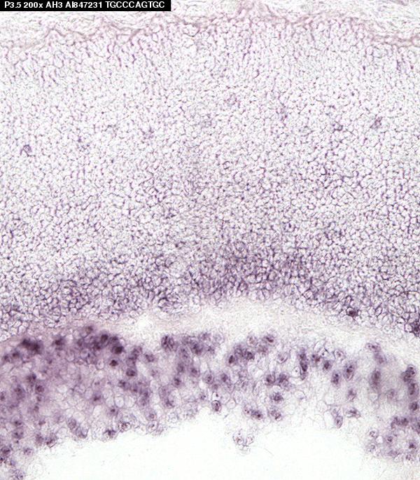
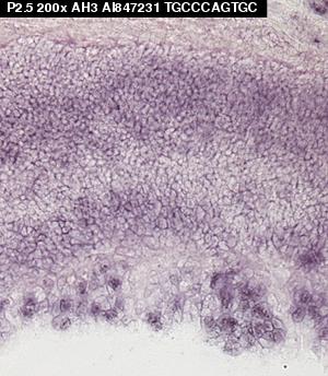
TS27: retina inner nuclear layer Present Regionally restricted Submitted Image - AH3p2.5 , Submitted Image - AH3p3.5 Expression was detected in the vitreal inner neuroblastic layer.
TS27: retina outer nuclear layer Present Regionally restricted Submitted Image - AH3p3.5 , Submitted Image - AH3p2.5 Expression was detected in subsets of cells in the scleral outer neuroblastic layer.

Specimen P4/5: postnatal day 4-5 (more )
Structure Level Pattern Image Note
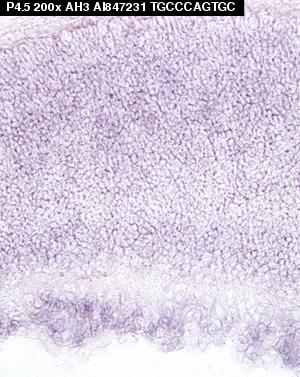
TS28: retina inner nuclear layer Present Regionally restricted Submitted Image - AH3p4.5 Expression was detected in the vitreal inner neuroblastic layer.
TS28: retina outer nuclear layer Present Regionally restricted Submitted Image - AH3p4.5 Expression was detected in subsets of cells in the scleral outer neuroblastic layer.

Specimen P6/7: postnatal day 6-7 (more )
Structure Level Pattern Image Note
TS28: retina ganglion cell layer Present Submitted Image - AH3p6.5
TS28: retina inner nuclear layer Present Regionally restricted Submitted Image - AH3p6.5 Expression was detected in a subset of cells in the inner nuclear layer.

Specimen P8/10: postnatal day 8-10 (more )
Structure Level Pattern Image Note
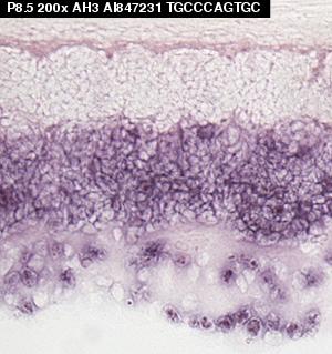
TS28: retina layer Present Regionally restricted Submitted Image - AH3p8.5 Expression was detected in amacrine cells.
TS28: retina ganglion cell layer Present Regionally restricted Submitted Image - AH3p8.5 Expression was detected in a subset of ganglion cells.
TS28: retina inner nuclear layer Present Submitted Image - AH3p8.5

Specimen Adult: postnatal adult (more )
Structure Level Pattern Image Note
TS28: retina inner nuclear layer Present
TS28: retina ganglion cell layer Present

Specimen CNS: postnatal day 6 (more )
Structure Level Pattern Image Note
TS28: central nervous system Present Expression was widespread.

Specimen Embryo: embryonic day 16.0 (more )
Structure Level Pattern Image Note
TS24: embryo Present Expression was widespread in a non-CNS subset.


Contributing Projects:
Mouse Genome Database (MGD), Gene Expression Database (GXD), Mouse Models of Human Cancer database (MMHCdb) (formerly Mouse Tumor Biology (MTB)), Gene Ontology (GO)
Citing These Resources
Funding Information
Warranty Disclaimer, Privacy Notice, Licensing, & Copyright
Send questions and comments to User Support.
last database update
04/14/2026
MGI 6.24
The Jackson Laboratory