About   Help   FAQ
Gene Expression Data
Assay Details
Assay
Reference: J:93300 Blackshaw S, et al., Genomic analysis of mouse retinal development. PLoS Biol. 2004 Oct;2(9):E247
Assay type: RNA in situ
MGI Accession ID: MGI:3585410
Gene symbol: B930093H17Rik
Gene name: RIKEN cDNA B930093H17 gene
Probe: B930093H17Rik cDNA1
Probe preparation: Antisense labelled with digoxigenin RNA
Visualized with: Alkaline phosphatase
Assay notes: This data is from Supplemental Table 5, Gene column, row: 151553 ESTs. After cryosectioning, tissue was fixed for 10' in 4% paraformaldehyde prior to processing.
Results
Specimen E14: embryonic day 14.0 (more )
Structure Level Pattern Image Note
TS22: retina Weak Uniform Submitted Image - AH14e14.5100 Expression was panretinal.

Specimen E16: embryonic day 16.0 (more )
Structure Level Pattern Image Note
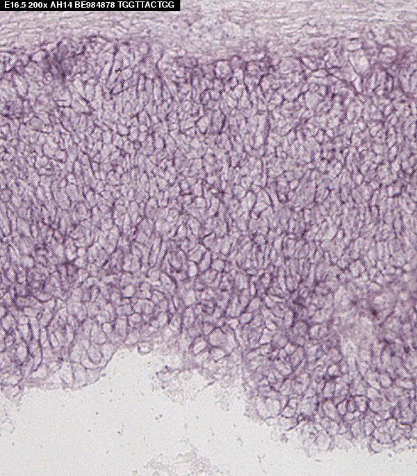
TS24: retina Weak Uniform Submitted Image - AH14e16.5 Expression was panretinal.

Specimen E18: embryonic day 18.0 (more )
Structure Level Pattern Image Note
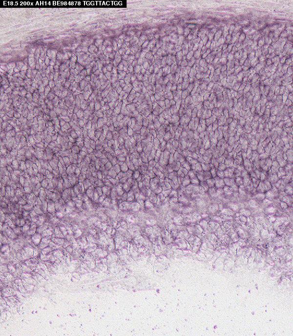
TS26: retina outer nuclear layer Present Submitted Image - AH14e18.5 Expression was detected in the outer neuroblastic layer.

Specimen P0/1: postnatal day 0-1 (more )
Structure Level Pattern Image Note
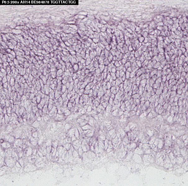
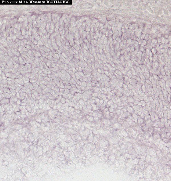
TS27: retina outer nuclear layer Present Submitted Image - AH14p1.5 , Submitted Image - AH14p0.5 Expression was detected in the outer neuroblastic layer.

Specimen P2/3: postnatal day 2-3 (more )
Structure Level Pattern Image Note
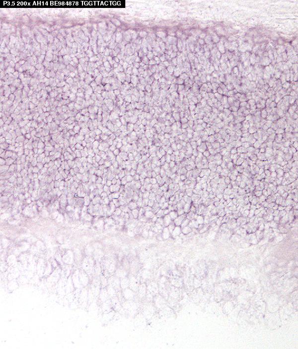
TS27: retina outer nuclear layer Present Submitted Image - AH14p2.5 , Submitted Image - AH14p3.5 Expression was detected in the outer neuroblastic layer.

Specimen P4/5: postnatal day 4-5 (more )
Structure Level Pattern Image Note
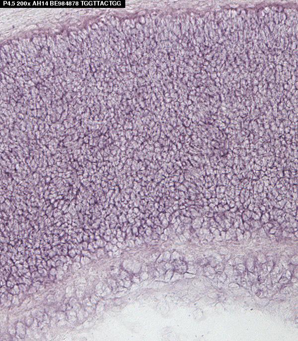
TS28: retina outer nuclear layer Present Submitted Image - AH14p4.5 Expression was detected in the outer neuroblastic layer.

Specimen P6/7: postnatal day 6-7 (more )
Structure Level Pattern Image Note
TS28: retina inner nuclear layer Present Submitted Image - AH14p6.5
TS28: retina outer nuclear layer Present Submitted Image - AH14p6.5

Specimen P8/10: postnatal day 8-10 (more )
Structure Level Pattern Image Note
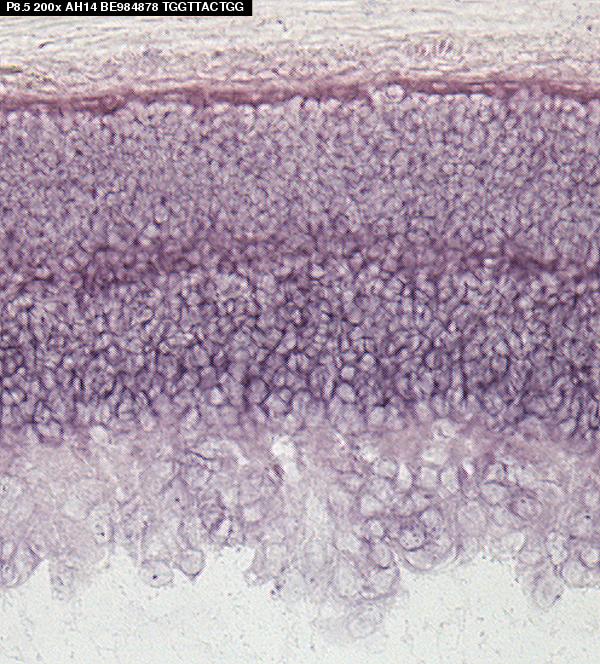
TS28: retina outer nuclear layer Present Submitted Image - AH14p8.5
TS28: retina inner nuclear layer Present Submitted Image - AH14p8.5

Specimen Adult: postnatal adult (more )
Structure Level Pattern Image Note
TS28: retina Present Uniform Expression was panretinal.

Specimen CNS: postnatal day 6 (more )
Structure Level Pattern Image Note
TS28: cerebral cortex Present
TS28: hippocampus Present
TS28: cerebellum Present

Specimen Embryo: embryonic day 16.0 (more )
Structure Level Pattern Image Note
TS24: central nervous system Present
TS24: liver Present


Contributing Projects:
Mouse Genome Database (MGD), Gene Expression Database (GXD), Mouse Models of Human Cancer database (MMHCdb) (formerly Mouse Tumor Biology (MTB)), Gene Ontology (GO)
Citing These Resources
Funding Information
Warranty Disclaimer, Privacy Notice, Licensing, & Copyright
Send questions and comments to User Support.
last database update
01/28/2026
MGI 6.24
The Jackson Laboratory