About   Help   FAQ
Gene Expression Data
Assay Details
Assay
Reference: J:93300 Blackshaw S, et al., Genomic analysis of mouse retinal development. PLoS Biol. 2004 Oct;2(9):E247
Assay type: RNA in situ
MGI Accession ID: MGI:3585376
Gene symbol: Akr1e1
Gene name: aldo-keto reductase family 1, member E1
Probe: Akr1e1 cDNA1
Probe preparation: Antisense labelled with digoxigenin RNA
Visualized with: Alkaline phosphatase
Assay notes: This data is from Supplemental Table 5, Gene column, row: 141365 Aldo-keto reductase family 1, member E1. After cryosectioning, tissue was fixed for 10' in 4% paraformaldehyde prior to processing.
Results
Specimen E12: embryonic day 12.0 (more )
Structure Level Pattern Image Note
TS20: retina Present Uniform Expression was panretinal.

Specimen E14: embryonic day 14.0 (more )
Structure Level Pattern Image Note
TS22: retina Present Uniform Expression was panretinal.

Specimen E16: embryonic day 16.0 (more )
Structure Level Pattern Image Note
TS24: retina Present Uniform Submitted Image - ae45E16.5 Expression was panretinal.

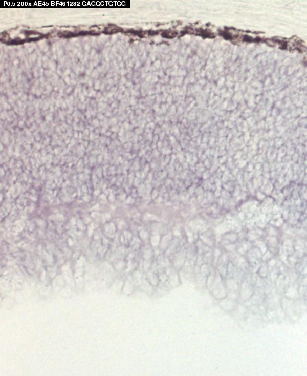
Specimen P0/1: postnatal day 0-1 (more )
Structure Level Pattern Image Note
TS27: retina Present Uniform Submitted Image - ae45P0.5 , Submitted Image - ae45P1.5 Expression was panretinal.

Specimen P2/3: postnatal day 2-3 (more )
Structure Level Pattern Image Note
TS27: retina Present Uniform Submitted Image - ae45P2.5 Expression was panretinal.

Specimen P6/7: postnatal day 6-7 (more )
Structure Level Pattern Image Note
TS28: retina Present Uniform Submitted Image - ae45P6.5 Expression was panretinal.

Specimen P8/10: postnatal day 8-10 (more )
Structure Level Pattern Image Note
TS28: retina Present Uniform Submitted Image - ae45P8.5 Expression was panretinal.

Specimen Adult: postnatal adult (more )
Structure Level Pattern Image Note
TS28: retina Present Uniform Submitted Image - ae45Adult Expression was panretinal.

Specimen CNS: postnatal day 6 (more )
Structure Level Pattern Image Note
TS28: central nervous system Present Expression was widespread.

Specimen Embryo: embryonic day 16.0 (more )
Structure Level Pattern Image Note
TS24: embryo Present Expression was widespread.


Contributing Projects:
Mouse Genome Database (MGD), Gene Expression Database (GXD), Mouse Models of Human Cancer database (MMHCdb) (formerly Mouse Tumor Biology (MTB)), Gene Ontology (GO)
Citing These Resources
Funding Information
Warranty Disclaimer, Privacy Notice, Licensing, & Copyright
Send questions and comments to User Support.
last database update
01/20/2026
MGI 6.24
The Jackson Laboratory