About   Help   FAQ
Gene Expression Data
Assay Details
Assay
Reference: J:93300 Blackshaw S, et al., Genomic analysis of mouse retinal development. PLoS Biol. 2004 Oct;2(9):E247
Assay type: RNA in situ
MGI Accession ID: MGI:3585371
Gene symbol: Nnat
Gene name: neuronatin
Probe: UI-M-BH3-atg-a-03-0-UI.s1
Probe preparation: Antisense labelled with digoxigenin RNA
Visualized with: Alkaline phosphatase
Assay notes: This data is from Supplemental Table 5, Gene column, row: 140956 neuronatin. After cryosectioning, tissue was fixed for 10' in 4% paraformaldehyde prior to processing.
Results
Specimen E12: embryonic day 12.0 (more )
Structure Level Pattern Image Note
TS20: retina Absent

Specimen E14: embryonic day 14.0 (more )
Structure Level Pattern Image Note
TS22: neural retinal epithelium Present Regionally restricted Expression was detected in the inner neuroblastic layer and in a subset of cells in the outer neuroblastic layer. The expression level was higher in the inner neuroblastic layer.

Specimen E16: embryonic day 16.0 (more )
Structure Level Pattern Image Note
TS24: retina nuclear layer Present Regionally restricted Expression was detected in the inner neuroblastic layer and a subset of cells in the outer neuroblastic layer. The expression level was higher in the inner neuroblastic layer.

Specimen E18: embryonic day 18.0 (more )
Structure Level Pattern Image Note
TS26: retina inner nuclear layer Present Regionally restricted Submitted Image - AF49e18.5 Expression was detected in the scleral inner neuroblastic layer.
TS26: retina outer nuclear layer Weak Regionally restricted Submitted Image - AF49e18.5 Expression was detected in a subset of cells in the outer neuroblastic layer.

Specimen P0/1: postnatal day 0-1 (more )
Structure Level Pattern Image Note
TS27: retina inner nuclear layer Present Regionally restricted Submitted Image - AF49p1.5 Expression was detected in the scleral inner neuroblastic layer.
TS27: retina outer nuclear layer Weak Submitted Image - AF49p1.5 Expression was detected in the outer neuroblastic layer.

Specimen P2/3: postnatal day 2-3 (more )
Structure Level Pattern Image Note
TS27: retina inner nuclear layer Present Regionally restricted Submitted Image - AF49p3.5 Expression was detected in the scleral inner neuroblastic layer.
TS27: retina Weak Regionally restricted Submitted Image - AF49p3.5 In addition to staining in the scleral inner neuroblastic layer, weak expression was tentatively detected in a subset of cells in the vitreal outer neuroblastic layer.

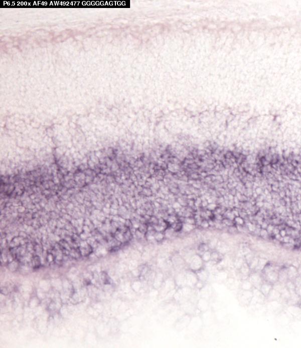
Specimen P6/7: postnatal day 6-7 (more )
Structure Level Pattern Image Note
TS28: retina layer Present Regionally restricted Submitted Image - AF49p6.5 Expression was detected in a subset of amacrine cells.
TS28: retina inner nuclear layer Present Submitted Image - AF49p6.5

Specimen Adult: postnatal adult (more )
Structure Level Pattern Image Note
TS28: retina Absent

Specimen CNS: postnatal day 6 (more )
Structure Level Pattern Image Note
TS28: forebrain Present Expression was widespread in a subset of the forebrain.

Specimen Embryo: embryonic day 16.0 (more )
Structure Level Pattern Image Note
TS24: central nervous system Present
TS24: peripheral nervous system Present
TS24: lung Present
TS24: skeleton Present Regionally restricted Expression was detected in the tips of bones.


Contributing Projects:
Mouse Genome Database (MGD), Gene Expression Database (GXD), Mouse Models of Human Cancer database (MMHCdb) (formerly Mouse Tumor Biology (MTB)), Gene Ontology (GO)
Citing These Resources
Funding Information
Warranty Disclaimer, Privacy Notice, Licensing, & Copyright
Send questions and comments to User Support.
last database update
01/20/2026
MGI 6.24
The Jackson Laboratory