About   Help   FAQ
Gene Expression Data
Assay Details
Assay
Reference: J:42348 Keeling SL, et al., Mouse Neogenin, a DCC-like molecule, has four splice variants and is expressed widely in the adult mouse and during embryogenesis. Oncogene. 1997 Aug 7;15(6):691-700
Assay type: Northern blot
MGI Accession ID: MGI:3582337
Gene symbol: Neo1
Gene name: neogenin
Probe: BR11
Probe preparation: Double stranded labelled with P32 DNA
Visualized with: Phosphorimaging
Results
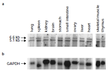
Image: 2a ©

 Sample Information Bands Other Sample Information
Lane AgeStructure 6.6 kb 5.1 kb (a) Amount Genetic BackgroundMutant Allele(s)Sex
lung P adult TS28: lung Strong Strong 5-10 µg; poly-A+ RNA ICR Not Specified
spleen P adult TS28: spleen Strong Strong 5-10 µg; poly-A+ RNA ICR Not Specified
kidney P adult TS28: metanephros Strong Strong 5-10 µg; poly-A+ RNA ICR Not Specified
brain P adult TS28: brain Strong Strong 5-10 µg; poly-A+ RNA ICR Not Specified
stomach P adult TS28: stomach Strong Strong 5-10 µg; poly-A+ RNA ICR Not Specified
small intestine P adult TS28: small intestine Strong Strong 5-10 µg; poly-A+ RNA ICR Not Specified
ovary P adult TS28: ovary Strong Strong 5-10 µg; poly-A+ RNA ICR Female
liver P adult TS28: liver Strong Strong 5-10 µg; poly-A+ RNA ICR Not Specified
heart P adult TS28: heart Strong Strong 5-10 µg; poly-A+ RNA ICR Not Specified
skeletal muscle P adult TS28: skeletal muscle Strong Strong 5-10 µg; poly-A+ RNA ICR Not Specified
thymus P adult TS28: thymus Strong Strong 5-10 µg; poly-A+ RNA ICR Not Specified
Notes:
(a) This is the more abundant transcript; it is expressed at levels two or three times higher than the other transcript.

Contributing Projects:
Mouse Genome Database (MGD), Gene Expression Database (GXD), Mouse Models of Human Cancer database (MMHCdb) (formerly Mouse Tumor Biology (MTB)), Gene Ontology (GO)
Citing These Resources
Funding Information
Warranty Disclaimer, Privacy Notice, Licensing, & Copyright
Send questions and comments to User Support.
last database update
12/30/2025
MGI 6.24
The Jackson Laboratory