About   Help   FAQ
Gene Expression Data
Assay Details
Assay
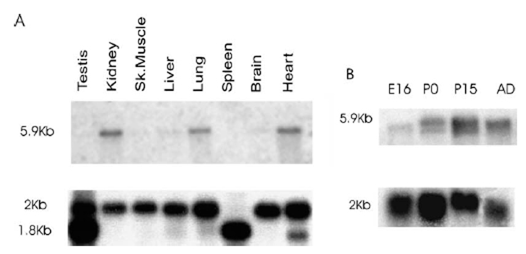
Reference: J:95330 Vitureira N, et al., Pattern of expression of the podocalyxin gene in the mouse brain during development. Gene Expr Patterns. 2005 Feb;5(3):349-54
Assay type: Northern blot
MGI Accession ID: MGI:3527975
Gene symbol: Podxl
Gene name: podocalyxin-like
Probe: PC cDNA
Probe preparation: Double stranded labelled with P32 DNA
Results
Image: 1B ©

 Sample Information Bands Other Sample Information
Lane AgeStructure 6 kb 5 kb Amount Genetic BackgroundMutant Allele(s)Sex
E16 E16.0 (a) TS24: brain Present Present 2 µg; poly-A+ RNA Not Specified Not Specified
P0 P0 TS27: brain Strong Strong 2 µg; poly-A+ RNA Not Specified Not Specified
P15 P15 TS28: brain Strong Strong 2 µg; poly-A+ RNA Not Specified Not Specified
AD P adult TS28: brain Strong Strong 2 µg; poly-A+ RNA Not Specified Not Specified
Notes:
(a) Age of embryo at noon of plug day not specified in reference.

Contributing Projects:
Mouse Genome Database (MGD), Gene Expression Database (GXD), Mouse Models of Human Cancer database (MMHCdb) (formerly Mouse Tumor Biology (MTB)), Gene Ontology (GO)
Citing These Resources
Funding Information
Warranty Disclaimer, Privacy Notice, Licensing, & Copyright
Send questions and comments to User Support.
last database update
12/30/2025
MGI 6.24
The Jackson Laboratory