About   Help   FAQ
Gene Expression Data
Assay Details
Assay
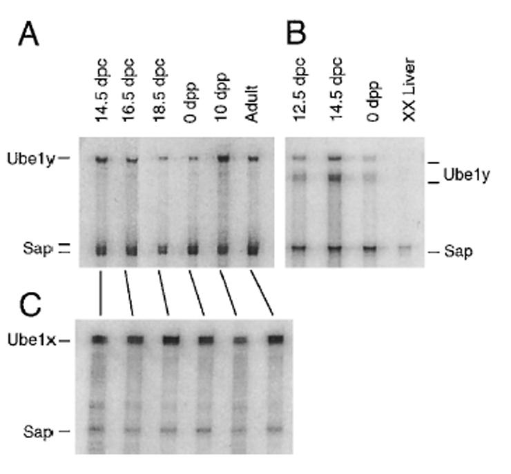
Reference: J:36991 Odorisio T, et al., Transcriptional analysis of the candidate spermatogenesis gene Ube1y and of the closely related Ube1x shows that they are coexpressed in spermatogonia and spermatids but are repressed in pachytene spermatocytes. Dev Biol. 1996 Nov 25;180(1):336-43
Assay type: RNase protection
MGI Accession ID: MGI:3497878
Gene symbol: Uba1
Gene name: ubiquitin-like modifier activating enzyme 1
Probe: Ube1x cDNA4
Probe preparation: Antisense labelled with P32 RNA
Results
Image: 2C ©

 Sample Information Bands Other Sample Information
Lane AgeStructure Size Not Specified Amount Genetic BackgroundMutant Allele(s)Sex
14.5 dpc E14.5 (a) TS22: testis Strong 10 µg; total RNA MF1 Male
16.5 dpc E16.5 (a) TS24: testis Strong 10 µg; total RNA MF1 Male
18.5 dpc E18.5 (a) TS26: testis Strong 10 µg; total RNA MF1 Male
0 dpp P0 TS27: testis Strong 10 µg; total RNA MF1 Male
10 dpp P10 TS28: testis Strong 10 µg; total RNA MF1 Male
Adult P adult TS28: testis Strong 10 µg; total RNA MF1 Male
Notes:
(a) Age of embryo at noon of plug day not specified in reference.

Contributing Projects:
Mouse Genome Database (MGD), Gene Expression Database (GXD), Mouse Models of Human Cancer database (MMHCdb) (formerly Mouse Tumor Biology (MTB)), Gene Ontology (GO)
Citing These Resources
Funding Information
Warranty Disclaimer, Privacy Notice, Licensing, & Copyright
Send questions and comments to User Support.
last database update
03/24/2026
MGI 6.24
The Jackson Laboratory