About   Help   FAQ
Gene Expression Data
Assay Details
Assay
Reference: J:87858 Abbott DE, et al., Expressed sequence tag profiling identifies developmental and anatomic partitioning of gene expression in the mouse prostate. Genome Biol. 2003;4(12):R79
Assay type: RT-PCR
MGI Accession ID: MGI:3055885
Gene symbol: Defb50
Gene name: defensin beta 50
Probe: Pbd1-pA, Pbd1-pB
Probe preparation: labelled with SYBR green
Assay notes: Quantitative PCR analysis was used to obtain these expression results.
Results
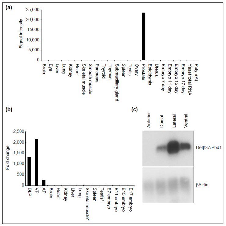
Image: 5b ©

 Sample Information Bands Other Sample Information
Lane AgeStructure Size Not Specified Amount Genetic BackgroundMutant Allele(s)Sex
DLP P adult TS28: prostate gland dorsolateral lobe Present Not Specified Not Specified Male
VP P adult TS28: ventral prostate gland Present Not Specified Not Specified Male
AP P adult TS28: anterior prostate gland Weak Not Specified Not Specified Male
Brain P TS28: brain Absent Not Specified Not Specified Not Specified
Heart P TS28: heart Absent Not Specified Not Specified Not Specified
Kidney P TS28: metanephros Absent Not Specified Not Specified Not Specified
Liver P TS28: liver Absent Not Specified Not Specified Not Specified
Lung P TS28: lung Absent Not Specified Not Specified Not Specified
Skeletal muscle P TS28: skeletal muscle Trace Not Specified Not Specified Not Specified
Spleen P TS28: spleen Absent Not Specified Not Specified Not Specified
Testis P TS28: testis Trace Not Specified Not Specified Male
E7 embryo E7.0 (a) TS10: embryo Absent Not Specified Not Specified Not Specified
E11 embryo E11.0 (a) TS18: embryo Absent Not Specified Not Specified Not Specified
E15 embryo E15.0 (a) TS23: embryo Absent Not Specified Not Specified Not Specified
E17 embryo E17.0 (a) TS25: embryo Absent Not Specified Not Specified Not Specified
Notes:
(a) Age of embryo at noon of plug day not specified in reference.

Contributing Projects:
Mouse Genome Database (MGD), Gene Expression Database (GXD), Mouse Models of Human Cancer database (MMHCdb) (formerly Mouse Tumor Biology (MTB)), Gene Ontology (GO)
Citing These Resources
Funding Information
Warranty Disclaimer, Privacy Notice, Licensing, & Copyright
Send questions and comments to User Support.
last database update
12/30/2025
MGI 6.24
The Jackson Laboratory