Gene Expression Data
Assay Details
|
Assay
|
|
Reference:
|
J:41977
Dowling J, et al., Developmental expression of BPAG1-n: insights into the spastic ataxia and gross neurologic degeneration in dystonia musculorum mice. Dev Biol. 1997 Jul 15;187(2):131-42
|
|
Assay type:
|
Immunohistochemistry
|
|
MGI Accession ID:
|
MGI:3050635
|
|
Gene symbol:
|
Nefh
|
|
Gene name:
|
neurofilament, heavy polypeptide
|
|
Antibody:
|
SMI 31
|
|
Detection system:
|
Secondary antibody coupled to fluorescein
|
|
|
Results
|
Specimen
7D:
(close )
|
Genetic Background:
|
Not Specified
|
|
Mutant Allele(s):
|
Dsttm1Efu/Dsttm1Efu
|
|
Age:
|
postnatal day 15
|
|
Sex:
|
Not Specified
|
|
Type:
|
section
|
|
Fixation:
|
4% Paraformaldehyde
|
|
Embedding:
|
Paraffin
|
| Structure |
Level |
Pattern |
Image |
Note |
| TS28: spinal cord ventral horn |
Present |
Regionally restricted |
7D
|
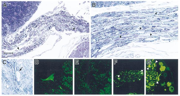
Abnormal expression was detected in the perikarya of motor neurons.
|
Specimen
7E:
postnatal day 15
(more )
Specimen
7E:
(close )
|
Genetic Background:
|
Not Specified
|
|
Age:
|
postnatal day 15
|
|
Sex:
|
Not Specified
|
|
Type:
|
section
|
|
Fixation:
|
4% Paraformaldehyde
|
|
Embedding:
|
Paraffin
|
Specimen
7F:
(close )
|
Genetic Background:
|
Not Specified
|
|
Mutant Allele(s):
|
Dsttm1Efu/Dsttm1Efu
|
|
Age:
|
postnatal day 15
|
|
Sex:
|
Not Specified
|
|
Type:
|
section
|
|
Fixation:
|
4% Paraformaldehyde
|
|
Embedding:
|
Paraffin
|
| Structure |
Level |
Pattern |
Image |
Note |
| TS28: spinal cord |
Present |
Regionally restricted |
7F
|
Expression was detected in the ventral root. Abnormal expression was detected in the perikarya of cell bodies and was intense in axonal swellings.
|
Specimen
7G:
(close )
|
Genetic Background:
|
Not Specified
|
|
Mutant Allele(s):
|
Dsttm1Efu/Dsttm1Efu
|
|
Age:
|
postnatal day 15
|
|
Sex:
|
Not Specified
|
|
Type:
|
section
|
|
Fixation:
|
4% Paraformaldehyde
|
|
Embedding:
|
Paraffin
|
| Structure |
Level |
Pattern |
Image |
Note |
| TS28: dorsal root ganglion |
Present |
|
7G
|
Abnormal expression was detected in the perikarya of cell bodies and was intense in axonal swellings.
|
|