About   Help   FAQ
Gene Expression Data
Assay Details
Assay
Reference: J:1618 Orr-Urtreger A, et al., Developmental expression of two murine fibroblast growth factor receptors, flg and bek. Development. 1991 Dec;113(4):1419-34
Assay type: RNA in situ
MGI Accession ID: MGI:3042170
Gene symbol: Fgfr1
Gene name: fibroblast growth factor receptor 1
Probe: flg probe
Probe preparation: Antisense labelled with S35 RNA
Visualized with: Autoradiography
Results
Specimen Not shown: postnatal (more )
Structure Level Pattern Image Note
TS28: ovary Weak Regionally restricted Expression is present in the ovarian stroma.
TS28: ovary follicle Absent Expression is not present in the ovarian follicle or the corpora lutea.
TS28: germ cell of ovary Absent

Specimen 1B: embryonic day 6.5 (more )
Structure Level Pattern Image Note
TS8: epiblast Present 1A/B Expression is present in the primitive ectoderm.
TS8: extraembryonic ectoderm Present 1A/B Transcripts accumulated in the extraembryonic ectoderm.

Specimen 2F: embryonic day 8.0 (more )
Note: Parasagittal section.
Structure Level Pattern Image Note
TS12: head mesenchyme Present 2E/F Expression is present in the presomitic mesoderm.
TS12: trunk unsegmented mesenchyme Present 2E/F Expression is present in the presomitic mesoderm.
TS12: embryo ectoderm Present Non-Uniform 2E/F Expression is strongest in the cranial folds.
TS12: extraembryonic ectoderm Present 2E/F

Specimen 3C: embryonic day 9.5 (more )
Note: Transverse section.
Structure Level Pattern Image Note
TS15: nephrogenic cord Present 3C

Specimen 3H: embryonic day 9.5 (more )
Note: Transverse section.
Structure Level Pattern Image Note
TS15: forelimb bud Present 3H

Specimen 4C: embryonic day 10.5 (more )
Note: Transverse section.
Structure Level Pattern Image Note
TS17: forelimb bud Present Non-Uniform 4C
TS17: mesonephros Present 4C

Specimen 4F: embryonic day 11.5 (more )
Note: Transverse section.
Structure Level Pattern Image Note
TS19: future arm mesenchyme Present Uniform 4F Expression is distributed diffusely in the mesenchyme.
TS19: handplate mesenchyme Present Uniform 4F Expression is distributed diffusely in the mesenchyme.

Specimen 5C: embryonic day 12.5 (more )
Structure Level Pattern Image Note
TS20: femur pre-cartilage condensation Present 5C

Specimen 5F: embryonic day 14.5 (more )
Structure Level Pattern Image Note
TS22: forelimb phalanx cartilage condensation Present 5F
TS22: metacarpus cartilage condensation Present 5F
TS22: radius cartilage condensation Present 5F

Specimen 6C: embryonic day 12.5 (more )
Note: Parasagittal section.
Structure Level Pattern Image Note
TS20: cerebral cortex Present 6C Expression is present in cerebral ganglia and in elements of the developing cortex.
TS20: spinal cord Present 6C
TS20: brain Present Regionally restricted 6C Expression is present in the ependymal layer.
TS20: face Present 6C
TS20: tongue Present 6C
TS20: mandibular process Present 6C
TS20: lung Absent 6C
TS20: vertebral cartilage condensation Present 6C
TS20: gonadal mesenchyme Strong 6C Expression is present in the mesenchyme of the genital eminence.

Specimen 6F: embryonic day 14.5 (more )
Note: Parasagittal section.
Structure Level Pattern Image Note
TS22: cerebral cortex Present 6F Expression is present in cerebral ganglia and in elements of the developing cortex.
TS22: spinal cord Present 6F
TS22: brain Present Regionally restricted 6F Expression is present in the ependymal layer.
TS22: trunk mesenchyme Present 6F
TS22: face Present Regionally restricted 6F
TS22: tongue Present 6F
TS22: lower jaw Present 6F Expression is present in the mandibula.
TS22: tooth mesenchyme Present 6F
TS22: lung Absent 6F
TS22: genital tubercle Strong Regionally restricted 6F Expression is present in the mesenchyme of the genital eminence.
TS22: sternum Present 6F
TS22: vertebral cartilage condensation Present 6F

Specimen 7C: embryonic day 10.5 (more )
Note: Transverse section.
Structure Level Pattern Image Note
TS17: otocyst Present 7C Expression is present in the otic vesicle.
TS17: 1st branchial arch mandibular component Present 7C
TS17: 1st branchial arch maxillary component Present 7C
TS17: pharynx Present Regionally restricted 7C Expression is present in the hyoid arch.

Specimen 7H: embryonic day 12.5 (more )
Note: Parasagittal section.
Structure Level Pattern Image Note
TS20: head Present Regionally restricted 7H Expression is present in the face.
TS20: tongue Present 7H
TS20: mandibular process Present 7H
TS20: head mesenchyme Present Regionally restricted 7H Expression is present in the facial mesenchyme.
TS20: axial skeleton Present Regionally restricted 7H Expression is present in the scapula.

Specimen 7K: embryonic day 14.5 (more )
Note: Parasagittal section.
Structure Level Pattern Image Note
TS22: face Present 7K
TS22: tongue Present 7K
TS22: lower jaw Present 7K Expression is present in the mandibula.
TS22: head mesenchyme Present Regionally restricted 7K Expression is present in the facial mesenchyme.
TS22: rib cartilage condensation Present 7K

Specimen 8C: embryonic day 12.5 (more )
Note: Transverse section.
Structure Level Pattern Image Note
TS20: spinal cord ventricular layer Present Regionally restricted 8C Expression is present in the ependymal layer.
TS20: rib pre-cartilage condensation Present 8C
TS20: trunk mesenchyme Present 8C
TS20: vertebral cartilage condensation Present 8C

Specimen 8F: embryonic day 14.5 (more )
Note: Transverse section.
Structure Level Pattern Image Note
TS22: spinal cord ventricular layer Present Regionally restricted 8F Expression is present in the ependymal layer.
TS22: trunk mesenchyme Present 8F
TS22: lung Absent 8F

Specimen 8I: embryonic day 14.5 (more )
Note: Transverse section.
Structure Level Pattern Image Note
TS22: spinal cord ventricular layer Present Regionally restricted 8I Expression is present in the ependymal layer.
TS22: trunk mesenchyme Present 8I
TS22: liver Absent 8I
TS22: pancreas Absent 8I
TS22: genital tubercle Strong Regionally restricted 8I Expression is present in the mesenchyme of the genital eminence.

Specimen 9C: embryonic day 12.5 (more )
Note: Parasagittal section.
Structure Level Pattern Image Note
TS20: mesenchyme of metanephros Strong Regionally restricted 9C Expression is present in the mesenchymal condensations and their derivatives, the metanephric vesicles.

Specimen 9F: embryonic day 14.5 (more )
Note: Parasagittal section.
Structure Level Pattern Image Note
TS22: mesenchyme of metanephros Present Regionally restricted 9F Expression is present in the mesenchymal elements in the cortical areas of the embryonic kidney.

Specimen 10C: embryonic day 14.5 (more )
Note: Cross section.
Structure Level Pattern Image Note
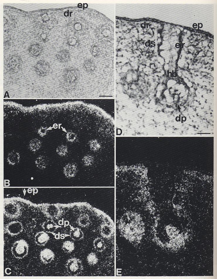
TS22: dermis Present Regionally restricted 10C Expression is present in the mesenchyme of the prospective dermis, as well as its derivatives the dermal papilla and sheath.

Specimen 10E: embryonic day 14.5 (more )
Note: Longitudinal section.
Structure Level Pattern Image Note
TS22: dermis Present Regionally restricted 10E Expression is present in the mesenchyme of the prospective dermis, as well as its derivatives the dermal papilla and sheath.


Contributing Projects:
Mouse Genome Database (MGD), Gene Expression Database (GXD), Mouse Models of Human Cancer database (MMHCdb) (formerly Mouse Tumor Biology (MTB)), Gene Ontology (GO)
Citing These Resources
Funding Information
Warranty Disclaimer, Privacy Notice, Licensing, & Copyright
Send questions and comments to User Support.
last database update
12/30/2025
MGI 6.24
The Jackson Laboratory