About   Help   FAQ
Gene Expression Data
Assay Details
Assay
Reference: J:10576 Rosner MH, et al., A POU-domain transcription factor in early stem cells and germ cells of the mammalian embryo. Nature. 1990 Jun 21;345(6277):686-92
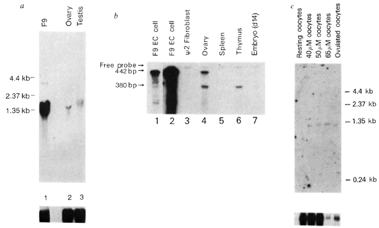
Assay type: RNase protection
MGI Accession ID: MGI:3033401
Gene symbol: Pou5f1
Gene name: POU domain, class 5, transcription factor 1
Probe: Oct3 Probe3
Probe preparation: Antisense labelled with P32 DNA
Visualized with: Autoradiography
Results
Image: 6b ©

 Sample Information Bands Other Sample Information
Lane AgeStructure 442 bp 380 bp Amount Genetic BackgroundMutant Allele(s)Sex
F9 EC cell Cultured cells: no data stored
F9 EC cell Cultured cells: no data stored
psi2 Fibroblast Cultured cells: no data stored
Ovary P adult TS28: ovary Present Present 30 µg; total RNA Not Specified Not Specified
Spleen P adult TS28: spleen Not Specified Not Specified 30 µg; total RNA Not Specified Not Specified
Thymus P adult TS28: thymus Not Specified Present (a) 30 µg; total RNA Not Specified Not Specified
Embryo (d14) E14.0 TS22: embryo Not Specified Not Specified 30 µg; total RNA Not Specified Not Specified
Notes:
(a) Fig. 6. a shows a band for the 380 bp protected fragment in the Thymus lane that is not discussed by the authors.

Contributing Projects:
Mouse Genome Database (MGD), Gene Expression Database (GXD), Mouse Models of Human Cancer database (MMHCdb) (formerly Mouse Tumor Biology (MTB)), Gene Ontology (GO)
Citing These Resources
Funding Information
Warranty Disclaimer, Privacy Notice, Licensing, & Copyright
Send questions and comments to User Support.
last database update
01/20/2026
MGI 6.24
The Jackson Laboratory