About   Help   FAQ
Gene Expression Data
Assay Details
Assay
Reference: J:86666 Michno K, et al., Shh expression is required for embryonic hair follicle but not mammary gland development. Dev Biol. 2003 Dec 1;264(1):153-65
Assay type: Immunohistochemistry
MGI Accession ID: MGI:3028998
Gene symbol: Lef1
Gene name: lymphoid enhancer binding factor 1
Antibody: anti-Lef1
Detection system: Biotinylated secondary antibody/[Strept]avidin coupled to horseradish peroxidase
Results
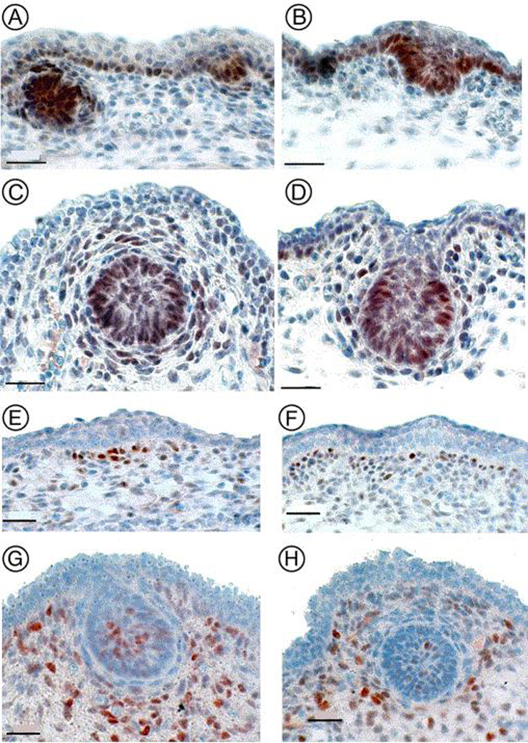
Specimen 6A: embryonic day 14.5 (more )
Structure Level Pattern Image Note
TS22: mammary gland primordium epithelium Present Regionally restricted 6A Expression is in most cells.
TS22: mammary mesenchyme Present Regionally restricted 6A Expression is in the condensed cells.

Specimen 6B: embryonic day 14.5; Shhtm1Chg/Shhtm1Chg (more )
Structure Level Pattern Image Note
TS22: mammary gland primordium Present Regionally restricted 6B Expression is in most cells. Expression in this mutant is the same as in wild-type embryos.
TS22: mammary mesenchyme Present Regionally restricted 6B Expression is in the condensed cells. Expression in this mutant is the same as in wild-type embryos.

Specimen 6C: embryonic day 14.5 (more )
Structure Level Pattern Image Note
TS22: integumental system Present Regionally restricted 6C Expression is in most epithelial cells and the condensing mesenchymal cells underlying presumptive hair follicles.

Specimen 6D: embryonic day 14.5; Shhtm1Chg/Shhtm1Chg (more )
Structure Level Pattern Image Note
TS22: integumental system Present Regionally restricted 6D Expression is in most epithelial cells and the condensing mesenchymal cells underlying presumptive hair follicles. Expression in this mutant is the same as in wild-type embryos.

Specimen 9A: embryonic day 18.5 (more )
Structure Level Pattern Image Note
TS26: hair follicle Present Regionally restricted 9A Expression is in epithelial and mesenchymal cells.

Specimen 9B: embryonic day 18.5; Shhtm1Chg/Shhtm1Chg (more )
Structure Level Pattern Image Note
TS26: hair follicle Present Regionally restricted 9B Expression is in epithelial and mesenchymal cells. Expression in this mutant is the same as in wild-type embryos.

Specimen 9C: embryonic day 18.5 (more )
Structure Level Pattern Image Note
TS26: mammary gland epithelium Present Regionally restricted 9C Expression is in most cells.
TS26: mammary mesenchyme Present Regionally restricted 9C Expression is in most cells.

Specimen 9D: embryonic day 18.5; Shhtm1Chg/Shhtm1Chg (more )
Structure Level Pattern Image Note
TS26: mammary gland epithelium Present Regionally restricted 9D Expression is in most cells. Expression in this mutant is the same as in wild-type embryos.
TS26: mammary mesenchyme Present Regionally restricted 9D Expression is in most cells. Expression in this mutant is the same as in wild-type embryos.


Contributing Projects:
Mouse Genome Database (MGD), Gene Expression Database (GXD), Mouse Models of Human Cancer database (MMHCdb) (formerly Mouse Tumor Biology (MTB)), Gene Ontology (GO)
Citing These Resources
Funding Information
Warranty Disclaimer, Privacy Notice, Licensing, & Copyright
Send questions and comments to User Support.
last database update
01/20/2026
MGI 6.24
The Jackson Laboratory