About   Help   FAQ
Gene Expression Data
Assay Details
Assay
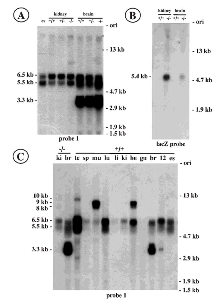
Reference: J:47961 Voss AK, et al., Compensation for a gene trap mutation in the murine microtubule-associated protein 4 locus by alternative polyadenylation and alternative splicing. Dev Dyn. 1998 Jun;212(2):258-66
Assay type: Northern blot
MGI Accession ID: MGI:2680617
Gene symbol: Map4
Gene name: microtubule-associated protein 4
Probe: probe 1
Probe preparation: labelled with P32 DNA
Visualized with: Autoradiography
Results
Image: 3A ©

 Sample Information Bands Other Sample Information
Lane AgeStructure 6.5 kb 5.5 kb 3.3 kb Amount Genetic BackgroundMutant Allele(s)Sex
es In vitro data: no data stored
kidney +/+ P adult TS28: metanephros Present Present Absent 10 µg; total RNA Not Specified Not Specified
kidney +/- Transgenic sample: no data stored
kidney -/- Transgenic sample: no data stored
brain +/+ P adult TS28: brain Present Present Present 10 µg; total RNA Not Specified Not Specified
brain +/- Transgenic sample: no data stored
brain -/- Transgenic sample: no data stored

Contributing Projects:
Mouse Genome Database (MGD), Gene Expression Database (GXD), Mouse Models of Human Cancer database (MMHCdb) (formerly Mouse Tumor Biology (MTB)), Gene Ontology (GO)
Citing These Resources
Funding Information
Warranty Disclaimer, Privacy Notice, Licensing, & Copyright
Send questions and comments to User Support.
last database update
01/20/2026
MGI 6.24
The Jackson Laboratory