About   Help   FAQ
Gene Expression Data
Assay Details
Assay
Reference: J:82083 Pulkkinen MA, et al., The IIIb isoform of fibroblast growth factor receptor 2 is required for proper growth and branching of pancreatic ductal epithelium but not for differentiation of exocrine or endocrine cells. Mech Dev. 2003 Feb;120(2):167-75
Assay type: RNA in situ
MGI Accession ID: MGI:2676274
Gene symbol: Fgfr2
Gene name: fibroblast growth factor receptor 2
Probe: Fgfr2IIIb cDNA4
Probe preparation: Antisense labelled with S35 RNA
Results
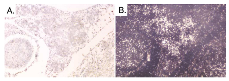
Specimen 3A,B: embryonic day 14.5 (more )
Structure Level Pattern Image Note
TS22: pancreas Present 3A , 3B


Contributing Projects:
Mouse Genome Database (MGD), Gene Expression Database (GXD), Mouse Models of Human Cancer database (MMHCdb) (formerly Mouse Tumor Biology (MTB)), Gene Ontology (GO)
Citing These Resources
Funding Information
Warranty Disclaimer, Privacy Notice, Licensing, & Copyright
Send questions and comments to User Support.
last database update
12/30/2025
MGI 6.24
The Jackson Laboratory