About   Help   FAQ
Gene Expression Data
Assay Details
Assay
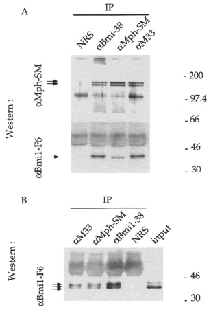
Reference: J:38105 Alkema MJ, et al., Identification of Bmi1-interacting proteins as constituents of a multimeric mammalian polycomb complex. Genes Dev. 1997 Jan 15;11(2):226-40
Assay type: Western blot
MGI Accession ID: MGI:2674276
Gene symbol: Bmi1
Gene name: Bmi1 proto-oncogene, polycomb ring finger
Antibody: Bmi1-F6
Detection system: Secondary antibody coupled to horseradish peroxidase
Results
 Sample Information Bands Other Sample Information
Lane AgeStructure Size Not Specified Genetic BackgroundMutant Allele(s)Sex Note
IP, NRS Control
IP, [a]Bmi1-38 E12.5 (a) TS20: embryo Present Not Specified Not Specified immunoprecipitated with Bmi1-38 antiserum (MGI:2674251)
IP, [a]Mph-SM Fractionated sample: no data stored
IP, [a]M33 Fractionated sample: no data stored
Notes:
(a) Age of embryo at noon of plug day not specified in reference.

Contributing Projects:
Mouse Genome Database (MGD), Gene Expression Database (GXD), Mouse Models of Human Cancer database (MMHCdb) (formerly Mouse Tumor Biology (MTB)), Gene Ontology (GO)
Citing These Resources
Funding Information
Warranty Disclaimer, Privacy Notice, Licensing, & Copyright
Send questions and comments to User Support.
last database update
01/20/2026
MGI 6.24
The Jackson Laboratory