About   Help   FAQ
Gene Expression Data
Assay Details
Assay
Reference: J:19172 Brown TA, et al., Specificities of protein-protein and protein-DNA interaction of GABP alpha and two newly defined ets-related proteins. Genes Dev. 1992 Dec;6(12B):2502-12
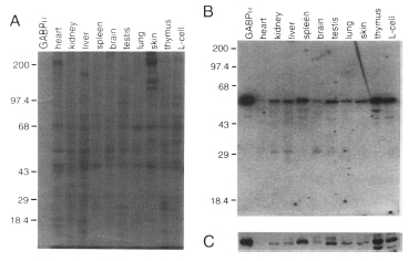
Assay type: Western blot
MGI Accession ID: MGI:2673685
Gene symbol: Gabpa
Gene name: GA repeat binding protein, alpha
Results
Image: 7C ©

 Sample Information Bands Other Sample Information
Lane AgeStructure 58 kDa Genetic BackgroundMutant Allele(s)Sex
GABP[a] Control
heart P adult TS28: heart Present Not Specified Not Specified
kidney P adult TS28: metanephros Present Not Specified Not Specified
liver P adult TS28: liver Present Not Specified Not Specified
spleen P adult TS28: spleen Present Not Specified Not Specified
brain P adult TS28: brain Present Not Specified Not Specified
testis P adult TS28: testis Present Not Specified Male
lung P adult TS28: lung Present Not Specified Not Specified
skin P adult TS28: skin Present Not Specified Not Specified
thymus P adult TS28: thymus Present Not Specified Not Specified
L-cell In vitro data: no data stored

Contributing Projects:
Mouse Genome Database (MGD), Gene Expression Database (GXD), Mouse Models of Human Cancer database (MMHCdb) (formerly Mouse Tumor Biology (MTB)), Gene Ontology (GO)
Citing These Resources
Funding Information
Warranty Disclaimer, Privacy Notice, Licensing, & Copyright
Send questions and comments to User Support.
last database update
12/30/2025
MGI 6.24
The Jackson Laboratory