About   Help   FAQ
Gene Expression Data
Assay Details
Assay
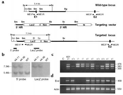
Reference: J:58502 Bourdeau A, et al., A murine model of hereditary hemorrhagic telangiectasia [see comments]. J Clin Invest. 1999 Nov;104(10):1343-51
Assay type: RT-PCR
MGI Accession ID: MGI:2669006
Gene symbol: Eng
Gene name: endoglin
Results
Image: 1d ©

 Sample Information Bands Other Sample Information
Lane AgeStructure 468 bp Amount Genetic BackgroundMutant Allele(s)Sex
C Control
#21 +/- P adult TS28: mouse Not Specified 1 µg; total RNA involves: 129P2/OlaHsd * C57BL/6 Engtm1Mle/Eng+Female
+/+ E9.5 TS15: embryo Present 1 µg; total RNA involves: 129P2/OlaHsd * C57BL/6 Not Specified
-/- E9.5 TS15: embryo Absent 1 µg; total RNA involves: 129P2/OlaHsd * C57BL/6 Engtm1Mle/Engtm1MleNot Specified
-/- E9.5 TS15: embryo Absent 1 µg; total RNA involves: 129P2/OlaHsd * C57BL/6 Engtm1Mle/Engtm1MleNot Specified
+/- E9.5 TS15: embryo Present 1 µg; total RNA involves: 129P2/OlaHsd * C57BL/6 Engtm1Mle/Eng+Not Specified
+/- E9.5 TS15: embryo Present 1 µg; total RNA involves: 129P2/OlaHsd * C57BL/6 Engtm1Mle/Eng+Not Specified
+/+ E9.5 TS15: embryo Present 1 µg; total RNA involves: 129P2/OlaHsd * C57BL/6 Not Specified
+/+ E9.5 TS15: embryo Present 1 µg; total RNA involves: 129P2/OlaHsd * C57BL/6 Not Specified
+/- E9.5 TS15: embryo Present 1 µg; total RNA involves: 129P2/OlaHsd * C57BL/6 Engtm1Mle/Eng+Not Specified
+/- E9.5 TS15: embryo Present 1 µg; total RNA involves: 129P2/OlaHsd * C57BL/6 Engtm1Mle/Eng+Not Specified

Contributing Projects:
Mouse Genome Database (MGD), Gene Expression Database (GXD), Mouse Models of Human Cancer database (MMHCdb) (formerly Mouse Tumor Biology (MTB)), Gene Ontology (GO)
Citing These Resources
Funding Information
Warranty Disclaimer, Privacy Notice, Licensing, & Copyright
Send questions and comments to User Support.
last database update
01/20/2026
MGI 6.24
The Jackson Laboratory