About   Help   FAQ
Gene Expression Data
Assay Details
Assay
Reference: J:47884 Janne PA, et al., Functional overlap between murine Inpp5b and Ocrl1 may explain why deficiency of the murine ortholog for OCRL1 does not cause Lowe syndrome in mice. J Clin Invest. 1998 May 15;101(10):2042-53
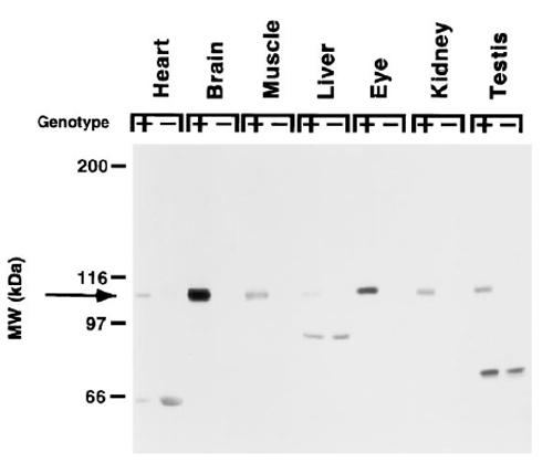
Assay type: Western blot
MGI Accession ID: MGI:2668821
Gene symbol: Ocrl
Gene name: OCRL, inositol polyphosphate-5-phosphatase
Antibody: Anti-OCRL-1
Detection system: Secondary antibody coupled to horseradish peroxidase
Results
Image: 3 ©

 Sample Information Bands Other Sample Information
Lane AgeStructure 105 kDa Genetic BackgroundMutant Allele(s)Sex Note
Heart + P adult TS28: heart Present either: (involves: 129S4/SvJae * C57BL/6) or (involves: 129S4/SvJae * NIH Black Swiss) Not Specified An additional band appears in this lane but is not discussed by the authors.
Heart - P adult TS28: heart Absent either: (involves: 129S4/SvJae * C57BL/6) or (involves: 129S4/SvJae * NIH Black Swiss) Ocrltm2Nbm/Ocrltm2NbmNot Specified A band appears in this lane but is not discussed by the authors.
Brain + P adult TS28: brain Present either: (involves: 129S4/SvJae * C57BL/6) or (involves: 129S4/SvJae * NIH Black Swiss) Not Specified
Brain - P adult TS28: brain Absent either: (involves: 129S4/SvJae * C57BL/6) or (involves: 129S4/SvJae * NIH Black Swiss) Ocrltm2Nbm/Ocrltm2NbmNot Specified
Muscle + P adult TS28: musculature Present either: (involves: 129S4/SvJae * C57BL/6) or (involves: 129S4/SvJae * NIH Black Swiss) Not Specified
Muscle - P adult TS28: musculature Absent either: (involves: 129S4/SvJae * C57BL/6) or (involves: 129S4/SvJae * NIH Black Swiss) Ocrltm2Nbm/Ocrltm2NbmNot Specified
Liver + P adult TS28: liver Present either: (involves: 129S4/SvJae * C57BL/6) or (involves: 129S4/SvJae * NIH Black Swiss) Not Specified An additional band appears in this lane but is not discussed by the authors.
Liver - P adult TS28: liver Absent either: (involves: 129S4/SvJae * C57BL/6) or (involves: 129S4/SvJae * NIH Black Swiss) Ocrltm2Nbm/Ocrltm2NbmNot Specified A band appears in this lane but is not discussed by the authors.
Eye + P adult TS28: eye Present either: (involves: 129S4/SvJae * C57BL/6) or (involves: 129S4/SvJae * NIH Black Swiss) Not Specified
Eye - P adult TS28: eye Absent either: (involves: 129S4/SvJae * C57BL/6) or (involves: 129S4/SvJae * NIH Black Swiss) Ocrltm2Nbm/Ocrltm2NbmNot Specified
Kidney + P adult TS28: metanephros Present either: (involves: 129S4/SvJae * C57BL/6) or (involves: 129S4/SvJae * NIH Black Swiss) Not Specified
Kidney - P adult TS28: metanephros Absent either: (involves: 129S4/SvJae * C57BL/6) or (involves: 129S4/SvJae * NIH Black Swiss) Ocrltm2Nbm/Ocrltm2NbmNot Specified
Testis + P adult TS28: testis Present either: (involves: 129S4/SvJae * C57BL/6) or (involves: 129S4/SvJae * NIH Black Swiss) Male An additional band appears in this lane but is not discussed by the authors.
Testis - P adult TS28: testis Absent either: (involves: 129S4/SvJae * C57BL/6) or (involves: 129S4/SvJae * NIH Black Swiss) Ocrltm2Nbm/YMale A band appears in this lane but is not discussed by the authors.

Contributing Projects:
Mouse Genome Database (MGD), Gene Expression Database (GXD), Mouse Models of Human Cancer database (MMHCdb) (formerly Mouse Tumor Biology (MTB)), Gene Ontology (GO)
Citing These Resources
Funding Information
Warranty Disclaimer, Privacy Notice, Licensing, & Copyright
Send questions and comments to User Support.
last database update
01/28/2026
MGI 6.24
The Jackson Laboratory