About   Help   FAQ
Gene Expression Data
Assay Details
Assay
Reference: J:80502 Reymond A, et al., Human chromosome 21 gene expression atlas in the mouse. Nature. 2002 Dec 5;420(6915):582-6
Assay type: RNA in situ
MGI Accession ID: MGI:2666380
Gene symbol: Icosl
Gene name: icos ligand
Probe: NIA clone H3103C07
Probe preparation: Antisense labelled with digoxigenin RNA
Visualized with: Alkaline phosphatase
Results
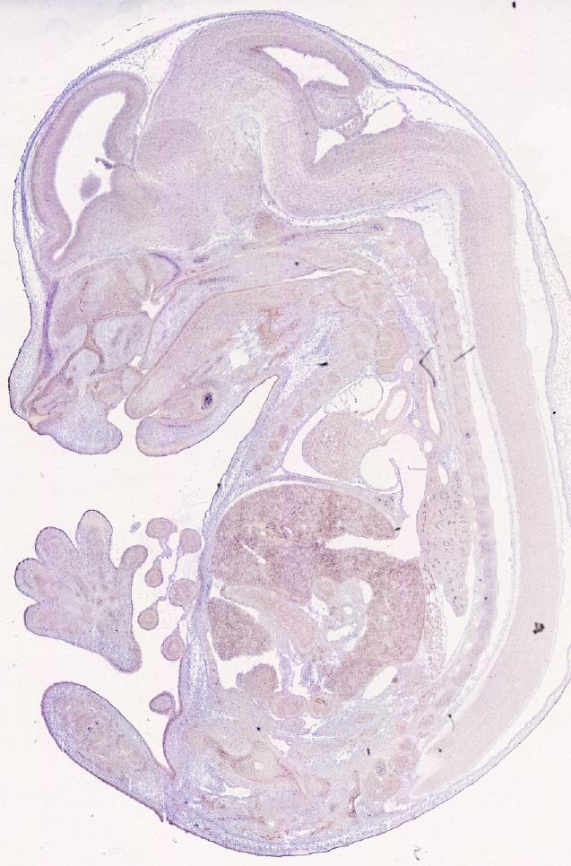
Specimen BG071784 10.5dpc: embryonic day 10.5 (more )
Structure Level Pattern Image Note
TS17: brain Present 22-K0653likee10.5
TS17: future spinal cord Absent 22-K0653likee10.5
TS17: eye Present 22-K0653likee10.5
TS17: otocyst Absent 22-K0653likee10.5
TS17: dorsal root ganglion Absent 22-K0653likee10.5
TS17: branchial arch Absent 22-K0653likee10.5
TS17: heart Absent 22-K0653likee10.5
TS17: gut Absent 22-K0653likee10.5
TS17: mesonephros Absent 22-K0653likee10.5
TS17: limb Absent 22-K0653likee10.5
TS17: surface ectoderm Absent 22-K0653likee10.5

Specimen BG071784 14.5dpc: embryonic day 14.5 (more )
Structure Level Pattern Image Note
TS22: forebrain Absent 1C4_EX61
TS22: midbrain Absent 1C4_EX61
TS22: hindbrain Absent 1C4_EX61
TS22: cerebellum Absent 1C4_EX61
TS22: spinal cord Absent 1C4_EX61
TS22: cranial ganglion Absent 1C4_EX61
TS22: dorsal root ganglion Absent 1C4_EX61
TS22: parasympathetic nervous system Absent 1C4_EX61
TS22: eye Absent 1C4_EX61
TS22: olfactory epithelium Absent 1C4_EX61
TS22: cochlea Absent 1C4_EX61
TS22: skeleton Absent 1C4_EX61
TS22: lung Absent 1C4_EX61
TS22: heart atrium Absent 1C4_EX61
TS22: heart ventricle Absent 1C4_EX61
TS22: arterial system Absent 1C4_EX61
TS22: gut Absent 1C4_EX61
TS22: bladder Absent 1C4_EX61
TS22: metanephros Absent 1C4_EX61
TS22: testis Absent 1C4_EX61
TS22: ovary Absent 1C4_EX61
TS22: salivary gland Absent 1C4_EX61
TS22: spleen primordium Absent 1C4_EX61
TS22: pancreas Absent 1C4_EX61
TS22: adrenal gland Absent 1C4_EX61
TS22: thyroid gland Absent 1C4_EX61
TS22: thymus primordium Absent 1C4_EX61
TS22: liver Absent 1C4_EX61
TS22: skin Absent 1C4_EX61
TS22: vibrissa epidermal component Absent 1C4_EX61
TS22: skeletal muscle Absent 1C4_EX61
TS22: embryo mesenchyme Absent 1C4_EX61
TS22: tongue Absent 1C4_EX61
TS22: limb Absent 1C4_EX61
TS22: tail Absent 1C4_EX61
TS22: choroid plexus Absent 1C4_EX61
TS22: trachea Absent 1C4_EX61


Contributing Projects:
Mouse Genome Database (MGD), Gene Expression Database (GXD), Mouse Models of Human Cancer database (MMHCdb) (formerly Mouse Tumor Biology (MTB)), Gene Ontology (GO)
Citing These Resources
Funding Information
Warranty Disclaimer, Privacy Notice, Licensing, & Copyright
Send questions and comments to User Support.
last database update
03/24/2026
MGI 6.24
The Jackson Laboratory