About   Help   FAQ
Gene Expression Data
Assay Details
Assay
Reference: J:80502 Reymond A, et al., Human chromosome 21 gene expression atlas in the mouse. Nature. 2002 Dec 5;420(6915):582-6
Assay type: RNA in situ
MGI Accession ID: MGI:2666272
Gene symbol: Atp5po
Gene name: ATP synthase peripheral stalk subunit OSCP
Probe: IMAGE clone 697411
Probe preparation: Antisense labelled with digoxigenin RNA
Visualized with: Alkaline phosphatase
Results
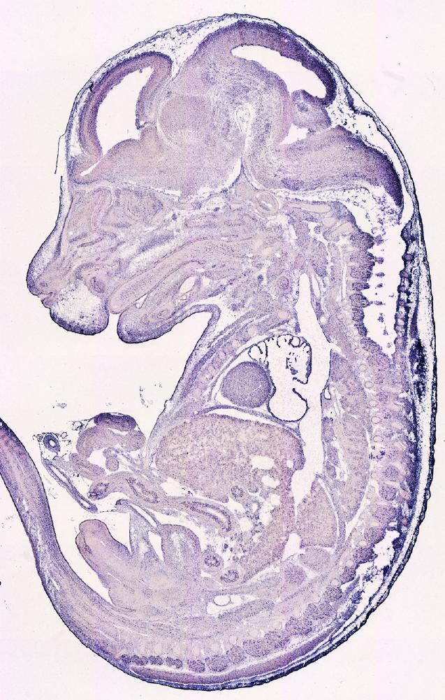
Specimen Atp5o 10.5dpc: embryonic day 10.5 (more )
Structure Level Pattern Image Note
TS17: brain Strong 44-ATP50e10.5
TS17: future spinal cord Present 44-ATP50e10.5
TS17: eye Present 44-ATP50e10.5
TS17: otocyst Present 44-ATP50e10.5
TS17: dorsal root ganglion Present 44-ATP50e10.5
TS17: branchial arch Present 44-ATP50e10.5
TS17: heart Strong 44-ATP50e10.5
TS17: gut Present 44-ATP50e10.5
TS17: mesonephros Present 44-ATP50e10.5
TS17: limb Present 44-ATP50e10.5
TS17: surface ectoderm Present 44-ATP50e10.5

Specimen ATP5o 14.5dpc: embryonic day 14.5 (more )
Structure Level Pattern Image Note
TS22: forebrain Present Regionally restricted 1F12_EX8 , 1F12_EX2
TS22: midbrain Moderate Uniform 1F12_EX2 , 1F12_EX8
TS22: hindbrain Moderate Uniform 1F12_EX2 , 1F12_EX8
TS22: cerebellum Weak Uniform 1F12_EX8 , 1F12_EX2
TS22: spinal cord Moderate Regionally restricted 1F12_EX2 , 1F12_EX8
TS22: cranial ganglion Weak Uniform 1F12_EX8 , 1F12_EX2
TS22: dorsal root ganglion Moderate Uniform 1F12_EX2 , 1F12_EX8
TS22: parasympathetic nervous system Weak Uniform 1F12_EX2 , 1F12_EX8
TS22: eye Moderate Regionally restricted 1F12_EX2 , 1F12_EX8
TS22: olfactory epithelium Weak Uniform 1F12_EX2 , 1F12_EX8
TS22: cochlea Weak Uniform 1F12_EX8 , 1F12_EX2
TS22: skeleton Weak Uniform 1F12_EX8 , 1F12_EX2
TS22: lung Weak Uniform 1F12_EX2 , 1F12_EX8
TS22: heart atrium Moderate Uniform 1F12_EX8 , 1F12_EX2
TS22: heart ventricle Moderate Uniform 1F12_EX2 , 1F12_EX8
TS22: arterial system Weak Uniform 1F12_EX8 , 1F12_EX2
TS22: gut Moderate Regionally restricted 1F12_EX8 , 1F12_EX2
TS22: bladder Weak Uniform 1F12_EX2 , 1F12_EX8
TS22: metanephros Weak Uniform 1F12_EX8 , 1F12_EX2
TS22: testis Weak Uniform 1F12_EX8 , 1F12_EX2
TS22: ovary Weak Uniform 1F12_EX2 , 1F12_EX8
TS22: salivary gland Weak Uniform 1F12_EX8 , 1F12_EX2
TS22: spleen primordium Weak Uniform 1F12_EX8 , 1F12_EX2
TS22: pancreas Moderate Regionally restricted 1F12_EX8 , 1F12_EX2
TS22: adrenal gland Weak Uniform 1F12_EX8 , 1F12_EX2
TS22: thyroid gland Weak Uniform 1F12_EX8 , 1F12_EX2
TS22: thymus primordium Weak Uniform 1F12_EX8 , 1F12_EX2
TS22: liver Weak Uniform 1F12_EX8 , 1F12_EX2
TS22: skin Weak Uniform 1F12_EX8 , 1F12_EX2
TS22: vibrissa epidermal component Weak Uniform 1F12_EX2 , 1F12_EX8
TS22: skeletal muscle Weak Uniform 1F12_EX8 , 1F12_EX2
TS22: embryo mesenchyme Weak Uniform 1F12_EX8 , 1F12_EX2
TS22: tongue Weak Uniform 1F12_EX2 , 1F12_EX8
TS22: limb Weak Uniform 1F12_EX2 , 1F12_EX8
TS22: tail Weak Uniform 1F12_EX2 , 1F12_EX8
TS22: choroid plexus Weak Uniform 1F12_EX2 , 1F12_EX8


Contributing Projects:
Mouse Genome Database (MGD), Gene Expression Database (GXD), Mouse Models of Human Cancer database (MMHCdb) (formerly Mouse Tumor Biology (MTB)), Gene Ontology (GO)
Citing These Resources
Funding Information
Warranty Disclaimer, Privacy Notice, Licensing, & Copyright
Send questions and comments to User Support.
last database update
01/28/2026
MGI 6.24
The Jackson Laboratory