About   Help   FAQ
Gene Expression Data
Assay Details
Assay
Reference: J:80502 Reymond A, et al., Human chromosome 21 gene expression atlas in the mouse. Nature. 2002 Dec 5;420(6915):582-6
Assay type: RNA in situ
MGI Accession ID: MGI:2666224
Gene symbol: Sod1
Gene name: superoxide dismutase 1, soluble
Probe: NIA clone H3130B11
Probe preparation: Antisense labelled with digoxigenin RNA
Visualized with: Alkaline phosphatase
Results
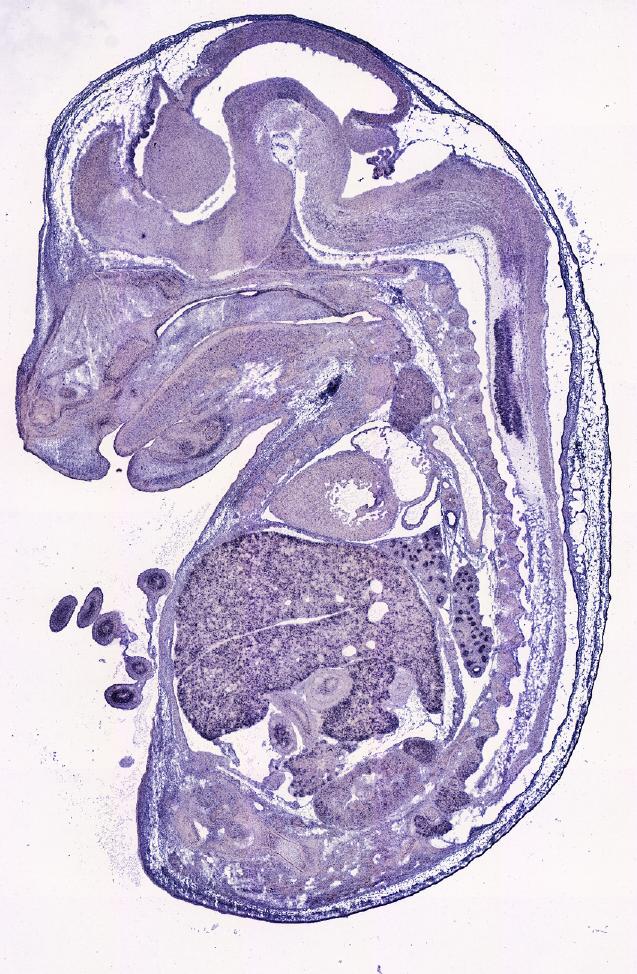
Specimen Sod1 10.5dpc: embryonic day 10.5 (more )
Structure Level Pattern Image Note
TS17: brain Present 31-SOD1e10.5
TS17: future spinal cord Present 31-SOD1e10.5
TS17: eye Present 31-SOD1e10.5
TS17: otocyst Present 31-SOD1e10.5
TS17: dorsal root ganglion Present 31-SOD1e10.5
TS17: branchial arch Present 31-SOD1e10.5
TS17: heart Present 31-SOD1e10.5
TS17: gut Present 31-SOD1e10.5
TS17: mesonephros Present 31-SOD1e10.5
TS17: limb Present 31-SOD1e10.5
TS17: surface ectoderm Present 31-SOD1e10.5

Specimen Sod1 14.5dpc: embryonic day 14.5 (more )
Structure Level Pattern Image Note
TS22: forebrain Absent 1D8_EX53 , 1D8_EX52
TS22: midbrain Absent 1D8_EX53 , 1D8_EX52
TS22: hindbrain Weak Regionally restricted 1D8_EX53 , 1D8_EX52
TS22: cerebellum Absent 1D8_EX52 , 1D8_EX53
TS22: spinal cord Moderate Regionally restricted 1D8_EX52 , 1D8_EX53
TS22: cranial ganglion Moderate Uniform 1D8_EX53 , 1D8_EX52
TS22: dorsal root ganglion Moderate Uniform 1D8_EX53 , 1D8_EX52
TS22: parasympathetic nervous system Absent 1D8_EX52 , 1D8_EX53
TS22: eye Absent 1D8_EX52 , 1D8_EX53
TS22: olfactory epithelium Moderate Uniform 1D8_EX52 , 1D8_EX53
TS22: cochlea Absent 1D8_EX53 , 1D8_EX52
TS22: skeleton Absent 1D8_EX53 , 1D8_EX52
TS22: lung Moderate Regionally restricted 1D8_EX52 , 1D8_EX53
TS22: heart atrium Absent 1D8_EX53 , 1D8_EX52
TS22: heart ventricle Absent 1D8_EX52 , 1D8_EX53
TS22: arterial system Absent 1D8_EX53 , 1D8_EX52
TS22: gut Weak Regionally restricted 1D8_EX52 , 1D8_EX53
TS22: bladder Absent 1D8_EX53 , 1D8_EX52
TS22: metanephros Moderate Regionally restricted 1D8_EX53 , 1D8_EX52
TS22: testis Moderate Regionally restricted 1D8_EX52 , 1D8_EX53
TS22: ovary Absent 1D8_EX53 , 1D8_EX52
TS22: salivary gland Absent 1D8_EX53 , 1D8_EX52
TS22: spleen primordium Absent 1D8_EX52 , 1D8_EX53
TS22: pancreas Moderate Uniform 1D8_EX53 , 1D8_EX52
TS22: adrenal gland Moderate Uniform 1D8_EX53 , 1D8_EX52
TS22: thyroid gland Weak Uniform 1D8_EX52 , 1D8_EX53
TS22: thymus primordium Weak Uniform 1D8_EX52 , 1D8_EX53
TS22: liver Strong Uniform 1D8_EX52 , 1D8_EX53
TS22: skin Absent 1D8_EX52 , 1D8_EX53
TS22: vibrissa epidermal component Absent 1D8_EX53 , 1D8_EX52
TS22: skeletal muscle Strong Uniform 1D8_EX52 , 1D8_EX53
TS22: embryo mesenchyme Absent 1D8_EX52 , 1D8_EX53
TS22: tongue Moderate Uniform 1D8_EX53 , 1D8_EX52
TS22: limb Absent 1D8_EX52 , 1D8_EX53
TS22: tail Absent 1D8_EX52 , 1D8_EX53
TS22: choroid plexus Absent 1D8_EX53 , 1D8_EX52
TS22: midgut Present Regionally restricted 4bb Sod1 Expression is in the midgut endoderm.
TS22: stomach Present Regionally restricted 4bb Sod1 Expression is in the endothelium.


Contributing Projects:
Mouse Genome Database (MGD), Gene Expression Database (GXD), Mouse Models of Human Cancer database (MMHCdb) (formerly Mouse Tumor Biology (MTB)), Gene Ontology (GO)
Citing These Resources
Funding Information
Warranty Disclaimer, Privacy Notice, Licensing, & Copyright
Send questions and comments to User Support.
last database update
12/30/2025
MGI 6.24
The Jackson Laboratory