About   Help   FAQ
Gene Expression Data
Assay Details
Assay
Reference: J:80502 Reymond A, et al., Human chromosome 21 gene expression atlas in the mouse. Nature. 2002 Dec 5;420(6915):582-6
Assay type: RNA in situ
MGI Accession ID: MGI:2666205
Gene symbol: Gabpa
Gene name: GA repeat binding protein, alpha
Probe: IMAGE clone 1282513
Probe preparation: Antisense labelled with digoxigenin RNA
Visualized with: Alkaline phosphatase
Results
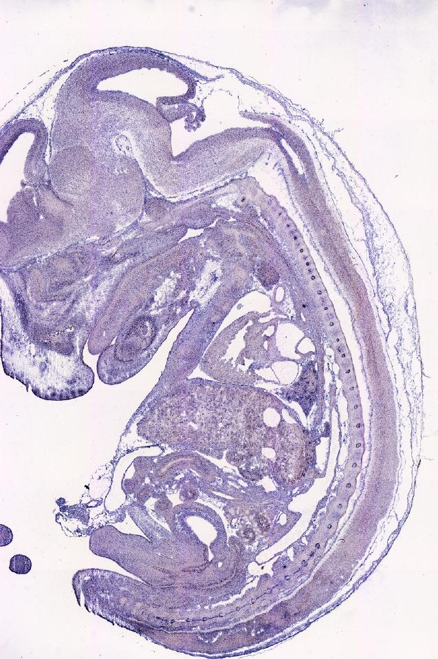
Specimen Gabpa 10.5dpc: embryonic day 10.5 (more )
Structure Level Pattern Image Note
TS17: brain Present 51-GABPAe10.5
TS17: future spinal cord Present 51-GABPAe10.5
TS17: eye Present 51-GABPAe10.5
TS17: otocyst Strong 51-GABPAe10.5
TS17: dorsal root ganglion Present 51-GABPAe10.5
TS17: branchial arch Present 51-GABPAe10.5
TS17: heart Present 51-GABPAe10.5
TS17: gut Present 51-GABPAe10.5
TS17: mesonephros Strong 51-GABPAe10.5
TS17: limb Present 51-GABPAe10.5
TS17: surface ectoderm Present 51-GABPAe10.5

Specimen Gabpa 14.5dpc: embryonic day 14.5 (more )
Structure Level Pattern Image Note
TS22: forebrain Weak Uniform 1G7_EX59
TS22: midbrain Weak Uniform 1G7_EX59
TS22: hindbrain Weak Uniform 1G7_EX59
TS22: cerebellum Weak Uniform 1G7_EX59
TS22: spinal cord Weak Uniform 1G7_EX59
TS22: cranial ganglion Weak Uniform 1G7_EX59
TS22: dorsal root ganglion Weak Uniform 1G7_EX59
TS22: parasympathetic nervous system Weak Uniform 1G7_EX59
TS22: eye Weak Uniform 1G7_EX59
TS22: olfactory epithelium Weak Uniform 1G7_EX59
TS22: cochlea Weak Uniform 1G7_EX59
TS22: skeleton Weak Uniform 1G7_EX59
TS22: lung Weak Uniform 1G7_EX59
TS22: heart atrium Weak Uniform 1G7_EX59
TS22: heart ventricle Weak Uniform 1G7_EX59
TS22: arterial system Weak Uniform 1G7_EX59
TS22: gut Weak Uniform 1G7_EX59
TS22: bladder Weak Uniform 1G7_EX59
TS22: metanephros Weak Uniform 1G7_EX59
TS22: testis Weak Uniform 1G7_EX59
TS22: ovary Weak Uniform 1G7_EX59
TS22: salivary gland Weak Uniform 1G7_EX59
TS22: spleen primordium Weak Uniform 1G7_EX59
TS22: pancreas Weak Uniform 1G7_EX59
TS22: adrenal gland Weak Uniform 1G7_EX59
TS22: thyroid gland Weak Uniform 1G7_EX59
TS22: thymus primordium Weak Uniform 1G7_EX59
TS22: liver Weak Uniform 1G7_EX59
TS22: skin Weak Uniform 1G7_EX59
TS22: vibrissa epidermal component Weak Uniform 1G7_EX59
TS22: skeletal muscle Weak Uniform 1G7_EX59
TS22: embryo mesenchyme Weak Uniform 1G7_EX59
TS22: tongue Weak Uniform 1G7_EX59
TS22: limb Weak Uniform 1G7_EX59
TS22: tail Weak Uniform 1G7_EX59


Contributing Projects:
Mouse Genome Database (MGD), Gene Expression Database (GXD), Mouse Models of Human Cancer database (MMHCdb) (formerly Mouse Tumor Biology (MTB)), Gene Ontology (GO)
Citing These Resources
Funding Information
Warranty Disclaimer, Privacy Notice, Licensing, & Copyright
Send questions and comments to User Support.
last database update
03/31/2026
MGI 6.24
The Jackson Laboratory