About   Help   FAQ
Gene Expression Data
Assay Details
Assay
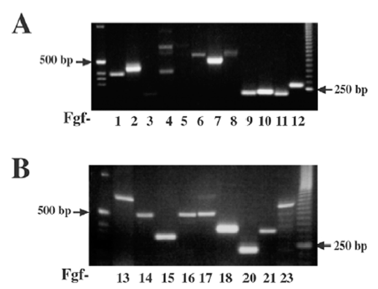
Reference: J:76230 Hajihosseini MK, et al., Expression patterns of fibroblast growth factors-18 and -20 in mouse embryos is suggestive of novel roles in calvarial and limb development. Mech Dev. 2002 Apr;113(1):79-83
Assay type: RT-PCR
MGI Accession ID: MGI:2664791
Gene symbol: Fgf11
Gene name: fibroblast growth factor 11
Probe: Fgf11-pA, Fgf11-pB
Visualized with: Ethidium bromide
Results
Image: 1A Fgf11 ©

 Sample Information Bands Other Sample Information
Lane AgeStructure 219 bp Amount Genetic BackgroundMutant Allele(s)Sex
M Mol. Wt. Marker Lane
Fgf-1 Lane not used in this assay
Fgf-2 Lane not used in this assay
Fgf-3 Lane not used in this assay
Fgf-4 Lane not used in this assay
Fgf-5 Lane not used in this assay
Fgf-6 Lane not used in this assay
Fgf-7 Lane not used in this assay
Fgf-8 Lane not used in this assay
Fgf-9 Lane not used in this assay
Fgf-10 Lane not used in this assay
Fgf-11 E17.5 (a) TS25: coronal suture Moderate Not Specified; total RNA C57BL Not Specified
Fgf-12 Lane not used in this assay
M Mol. Wt. Marker Lane
Notes:
(a) Age of embryo at noon of plug day not specified in reference.

Contributing Projects:
Mouse Genome Database (MGD), Gene Expression Database (GXD), Mouse Models of Human Cancer database (MMHCdb) (formerly Mouse Tumor Biology (MTB)), Gene Ontology (GO)
Citing These Resources
Funding Information
Warranty Disclaimer, Privacy Notice, Licensing, & Copyright
Send questions and comments to User Support.
last database update
12/30/2025
MGI 6.24
The Jackson Laboratory